product summary
Loading...
company name :
HUABIO
product type :
antibody
product name :
Muscarinic Acetylcholine Receptor 2
catalog :
HA721490
quantity :
100μl
price :
385.00 USD
clonality :
monoclonal
host :
domestic rabbit
conjugate :
nonconjugated
clone name :
JE38-35
reactivity :
human, mouse, rat
application :
western blot, flow cytometry, immunohistochemistry - paraffin section
more info or order :
image
image 1 :

Western blot analysis of Muscarinic Acetylcholine Receptor 2 on different lysates with Rabbit anti-Muscarinic Acetylcholine Receptor 2 antibody (HA721490) at 1/1,000 dilution.
Lane 1: HepG2 cell lysate
Lane 2: SH-SY5Y cell lysate
Lane 3: U-87 MG cell lysate
Lane 4: Neuro-2a cell lysate
Lane 5: PC-12 cell lysate
Lysates/proteins at 20 µg/Lane.
Predicted band size: 52 kDa
Observed band size: 52 kDa
Exposure time: 1 minute 17 seconds;
4-20% SDS-PAGE gel.
Proteins were transferred to a PVDF membrane and blocked with 5% NFDM/TBST for 1 hour at room temperature. The primary antibody (HA721490) at 1/1,000 dilution was used in 5% NFDM/TBST at 4℃ overnight. Goat Anti-Rabbit IgG - HRP Secondary Antibody (HA1001) at 1:100,000 dilution was used for 1 hour at room temperature.
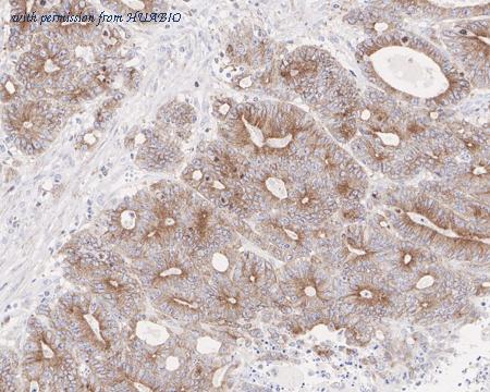
image 2 :

Immunohistochemical analysis of paraffin-embedded human colon carcinoma tissue with Rabbit anti-Muscarinic Acetylcholine Receptor 2 antibody (HA721490) at 1/1,000 dilution.
The section was pre-treated using heat mediated antigen retrieval with Tris-EDTA buffer (pH 9.0) for 20 minutes. The tissues were blocked in 1% BSA for 20 minutes at room temperature, washed with ddH2O and PBS, and then probed with the primary antibody (HA721490) at 1/1,000 dilution for 1 hour at room temperature. The detection was performed using an HRP conjugated compact polymer system. DAB was used as the chromogen. Tissues were counterstained with hematoxylin and mounted with DPX.
image 3 :

Immunohistochemical analysis of paraffin-embedded mouse kidney tissue with Rabbit anti-Muscarinic Acetylcholine Receptor 2 antibody (HA721490) at 1/200 dilution.
The section was pre-treated using heat mediated antigen retrieval with Tris-EDTA buffer (pH 9.0) for 20 minutes. The tissues were blocked in 1% BSA for 20 minutes at room temperature, washed with ddH2O and PBS, and then probed with the primary antibody (HA721490) at 1/200 dilution for 1 hour at room temperature. The detection was performed using an HRP conjugated compact polymer system. DAB was used as the chromogen. Tissues were counterstained with hematoxylin and mounted with DPX.
product information
SKU :
HA721490
Target name :
Muscarinic Acetylcholine Receptor 2
Species reactivity :
Human,Mouse,Rat
Applications :
WB,IHC-P,IF-Cell,FC
Conjugate :
Non-conjugated
Immunogen :
Synthetic peptide within Human Muscarinic Acetylcholine Receptor 2 aa 140-184 / 466.
Uniprot id :
P08172>SwissProt: P08172 Human;SwissProt: Q9ERZ4 Mouse;SwissProt: P10980 Rat
Host :
Rabbit
Clone number :
JE38-35
Isotype :
IgG
Size :
100μl
List Price :
385.00 USD
Storage Buffer :
1*TBS (pH7.4), 0.05% BSA, 40% Glycerol. Preservative: 0.05% Sodium Azide.
Form :
Liquid
Storage Instruction :
Shipped at 4℃. Store at +4℃ short term (1-2 weeks). It is recommended to aliquot into single-use upon delivery. Store at -20℃ long term.
Purity :
Protein A affinity purified.
Product type :
Recombinant Rabbit monoclonal Antibody
Positive control :
HepG2 cell lysate, SH-SY5Y cell lysate, U-87 MG cell lysate, Neuro-2a cell lysate, PC-12 cell lysate, human colon carcinoma tissue, mouse kidney tissue, SH-SY5Y.
Molecular wt :
Predicted band size: 52 kDa
Subcellular location :
Cell membrane, Postsynaptic cell membrane.
Concentration :
1 mg/mL.
Recommended dilutions :
WB: 1:1,000
;IHC-P: 1:1,000
;IF-Cell: 1:100
;FC: 1:500-1:1,000
Pic img4 :
https://storage.huabio.cn/huabio/productImg/HA721490_4.jpg
Pic legend4 :
Immunocytochemistry analysis of SH-SY5Y cells labeling Muscarinic Acetylcholine Receptor 2 with Rabbit anti-Muscarinic Acetylcholine Receptor 2 antibody (HA721490) at 1/100 dilution.
Cells were fixed in 4% paraformaldehyde for 20 minutes at room temperature, permeabilized with 0.1% Triton X-100 in PBS for 5 minutes at room temperature, then blocked with 1% BSA in 10% negative goat serum for 1 hour at room temperature. Cells were then incubated with Rabbit anti-Muscarinic Acetylcholine Receptor 2 antibody (HA721490) at 1/100 dilution in 1% BSA in PBST overnight at 4 ℃.Goat Anti-Rabbit IgG H&L (iFluor™ 488, HA1121) was used as the secondary antibody at 1/1,000 dilution. PBS instead of the primary antibody was used as the secondary antibody only control. Nuclear DNA was labelled in blue with DAPI.
Beta tubulin (M1305-2, red) was stained at 1/100 dilution overnight at +4℃. Goat Anti-Mouse IgG H&L (iFluor™ 594, HA1126) was used as the secondary antibody at 1/1,000 dilution.
Pic img5 :
https://storage.huabio.cn/huabio/productImg/HA721490_5.jpg
Pic legend5 :
Flow cytometric analysis of SH-SY5Y cells labeling Muscarinic Acetylcholine Receptor 2.
Cells were fixed and permeabilized. Then stained with the primary antibody (HA721490, 1ug/ml) (red) compared with Rabbit IgG Isotype Control (green). After incubation of the primary antibody at +4℃ for an hour, the cells were stained with a iFluor™ 488 conjugate-Goat anti-Rabbit IgG Secondary antibody (HA1121) at 1/1,000 dilution for 30 minutes at +4℃. Unlabelled sample was used as a control (cells without incubation with primary antibody; black).
more info or order :
company information

HUABIO
Founded in 2007, HUABIO is dedicated to developing high-quality antibodies that advance innovation. We are passionate about the accuracy, efficiency, and consistency of our products. That is why we have invested in new production platforms, like recombinant rabbit monoclonals, alpaca nanobodies, and adopted aggressive QA standards to deliver cutting-edge antibodies with uncompromised quality.
We hope to see you at your next discovery!
We hope to see you at your next discovery!
browse more products
questions and comments
