product summary
Loading...
company name :
HUABIO
product type :
antibody
product name :
DDR2
catalog :
HA721479
quantity :
100μl
price :
385.00 USD
clonality :
monoclonal
host :
domestic rabbit
conjugate :
nonconjugated
clone name :
JE31-45
reactivity :
human, mouse, rat
application :
western blot, immunohistochemistry - paraffin section
more info or order :
image
image 1 :

Western blot analysis of DDR2 on different lysates with Rabbit anti-DDR2 antibody (HA721479) at 1/1,000 dilution.
Lane 1: HeLa cell lysate (40 µg/Lane)
Lane 2: SH-SY5Y cell lysate (40 µg/Lane)
Lane 3: L929 cell lysate (40 µg/Lane)
Lane 4: NIH/3T3 cell lysate (40 µg/Lane)
Lane 5: U-2 OS cell lysate (15 µg/Lane)
Lane 6: A375 cell lysate (15 µg/Lane)
Lane 7: PC-12 cell lysate (10 µg/Lane)
Predicted band size: 97 kDa
Observed band size: 97 kDa
Exposure time: 2 minutes;
4-20% SDS-PAGE gel.
Proteins were transferred to a PVDF membrane and blocked with 5% NFDM/TBST for 1 hour at room temperature. The primary antibody (HA721479) at 1/1,000 dilution was used in 5% NFDM/TBST at room temperature for 2 hours. Goat Anti-Rabbit IgG - HRP Secondary Antibody (HA1001) at 1:100,000 dilution was used for 1 hour at room temperature.
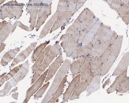
image 2 :

Immunohistochemical analysis of paraffin-embedded rat skeletal muscle tissue with Rabbit anti-DDR2 antibody (HA721479) at 1/200 dilution.
The section was pre-treated using heat mediated antigen retrieval with Tris-EDTA buffer (pH 9.0) for 20 minutes. The tissues were blocked in 1% BSA for 20 minutes at room temperature, washed with ddH2O and PBS, and then probed with the primary antibody (HA721479) at 1/200 dilution for 1 hour at room temperature. The detection was performed using an HRP conjugated compact polymer system. DAB was used as the chromogen. Tissues were counterstained with hematoxylin and mounted with DPX.
product information
SKU :
HA721479
Target name :
DDR2
Species reactivity :
Human,Mouse,Rat
Applications :
WB,IHC-P
Conjugate :
Non-conjugated
Immunogen :
Synthetic peptide within Human DDR2 aa 806-855 / 855.
Uniprot id :
Q16832>SwissProt: Q16832 Human;SwissProt: Q62371 Mouse;Entrez Gene: 685781 Rat
Host :
Rabbit
Clone number :
JE31-45
Isotype :
IgG
Size :
100μl
List Price :
385.00 USD
Storage Buffer :
1*TBS (pH7.4), 0.05% BSA, 40% Glycerol. Preservative: 0.05% Sodium Azide.
Form :
Liquid
Storage Instruction :
Shipped at 4℃. Store at +4℃ short term (1-2 weeks). It is recommended to aliquot into single-use upon delivery. Store at -20℃ long term.
Purity :
Protein A affinity purified.
Product type :
Recombinant Rabbit monoclonal Antibody
Positive control :
HeLa cell lysate, SH-SY5Y cell lysate, L929 cell lysate, NIH/3T3 cell lysate, U-2 OS cell lysate, A375 cell lysate, PC-12 cell lysate, rat skeletal muscle tissue.
Molecular wt :
Predicted band size: 97 kDa
Subcellular location :
Cell membrane
Concentration :
1 mg/mL.
Recommended dilutions :
WB: 1:1,000
;IHC-P: 1:200
more info or order :
company information

HUABIO
Founded in 2007, HUABIO is dedicated to developing high-quality antibodies that advance innovation. We are passionate about the accuracy, efficiency, and consistency of our products. That is why we have invested in new production platforms, like recombinant rabbit monoclonals, alpaca nanobodies, and adopted aggressive QA standards to deliver cutting-edge antibodies with uncompromised quality.
We hope to see you at your next discovery!
We hope to see you at your next discovery!
related products
browse more products
questions and comments
