product summary
Loading...
company name :
HUABIO
product type :
antibody
product name :
GTPase HRAS
catalog :
HA721355
quantity :
100μl
price :
385.00 USD
clonality :
monoclonal
host :
domestic rabbit
conjugate :
nonconjugated
clone name :
JE42-15
reactivity :
human, mouse, rat
application :
western blot, immunohistochemistry - paraffin section
more info or order :
image
image 1 :

Western blot analysis of GTPase HRAS on different lysates with Rabbit anti-GTPase HRAS antibody (HA721355) at 1/1,000 dilution.
Lane 1: HeLa cell lysate (40 µg/Lane)
Lane 2: Jurkat cell lysate (40 µg/Lane)
Lane 3: NIH/3T3 cell lysate (40 µg/Lane)
Lane 4: PC-12 cell lysate (40 µg/Lane)
Lane 5: Rat brain tissue lysate (10 µg/Lane)
Lane 6: Mouse kidney tissue lysate (20 µg/Lane)
Predicted band size: 21 kDa
Observed band size: 21 kDa
Exposure time: 2 minutes;
4-20% SDS-PAGE gel.
Proteins were transferred to a PVDF membrane and blocked with 5% NFDM/TBST for 1 hour at room temperature. The primary antibody (HA721355) at 1/1,000 dilution was used in 5% NFDM/TBST at room temperature for 2 hours. Goat Anti-Rabbit IgG - HRP Secondary Antibody (HA1001) at 1:100,000 dilution was used for 1 hour at room temperature.
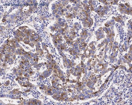
image 2 :

Immunohistochemical analysis of paraffin-embedded human stomach carcinoma tissue with Rabbit anti-GTPase HRAS antibody (HA721355) at 1/1,000 dilution.
The section was pre-treated using heat mediated antigen retrieval with Tris-EDTA buffer (pH 9.0) for 20 minutes. The tissues were blocked in 1% BSA for 20 minutes at room temperature, washed with ddH2O and PBS, and then probed with the primary antibody (HA721355) at 1/1,000 dilution for 1 hour at room temperature. The detection was performed using an HRP conjugated compact polymer system. DAB was used as the chromogen. Tissues were counterstained with hematoxylin and mounted with DPX.
product information
SKU :
HA721355
Target name :
GTPase HRAS
Species reactivity :
Human,Mouse,Rat
Applications :
WB,IHC-P
Conjugate :
Non-conjugated
Immunogen :
Synthetic peptide within Human GTPase HRAS aa 1-50.
Uniprot id :
P01112>SwissProt: P01112 Human;SwissProt: Q61411 Mouse;SwissProt: P20171 Rat
Host :
Rabbit
Clone number :
JE42-15
Isotype :
IgG
Size :
100μl
List Price :
385.00 USD
Storage Buffer :
1*TBS (pH7.4), 0.05% BSA, 40% Glycerol. Preservative: 0.05% Sodium Azide.
Form :
Liquid
Storage Instruction :
Shipped at 4℃. Store at +4℃ short term (1-2 weeks). It is recommended to aliquot into single-use upon delivery. Store at -20℃ long term.
Purity :
Protein A affinity purified.
Product type :
Recombinant Rabbit monoclonal Antibody
Positive control :
HeLa cell lysate, Jurkat cell lysate, NIH/3T3 cell lysate, PC-12 cell lysate, rat brain tissue lysate, mouse kidney tissue lysate, human stomach carcinoma tissue.
Molecular wt :
Predicted band size: 21 kDa
Subcellular location :
Cell membrane, Golgi apparatus, Golgi apparatus membrane; Nucleus, Cytoplasm, perinuclear region.
Concentration :
1 mg/mL.
Recommended dilutions :
WB: 1:1,000
;IHC-P: 1:1,000
more info or order :
company information

HUABIO
Founded in 2007, HUABIO is dedicated to developing high-quality antibodies that advance innovation. We are passionate about the accuracy, efficiency, and consistency of our products. That is why we have invested in new production platforms, like recombinant rabbit monoclonals, alpaca nanobodies, and adopted aggressive QA standards to deliver cutting-edge antibodies with uncompromised quality.
We hope to see you at your next discovery!
We hope to see you at your next discovery!
related products
browse more products
questions and comments
