product summary
Loading...
company name :
HUABIO
product type :
antibody
product name :
Arp2
catalog :
HA721348
quantity :
100μl
price :
385.00 USD
clonality :
monoclonal
host :
domestic rabbit
conjugate :
nonconjugated
clone name :
JE40-62
reactivity :
human, mouse, rat
application :
western blot, immunohistochemistry - paraffin section
more info or order :
image
image 1 :

Western blot analysis of Arp2 on different lysates with Rabbit anti-Arp2 antibody (HA721348) at 1/1,000 dilution.
Lane 1: Jurkat cell lysate
Lane 2: MCF7 cell lysate
Lane 3: SH-SY5Y cell lysate
Lane 4: HeLa cell lysate
Lysates/proteins at 10 µg/Lane.
Predicted band size: 45 kDa
Observed band size: 40 kDa
Exposure time: 1 minute;
4-20% SDS-PAGE gel.
Proteins were transferred to a PVDF membrane and blocked with 5% NFDM/TBST for 1 hour at room temperature. The primary antibody (HA721348) at 1/1,000 dilution was used in 5% NFDM/TBST at room temperature for 2 hours. Goat Anti-Rabbit IgG - HRP Secondary Antibody (HA1001) at 1:200,000 dilution was used for 1 hour at room temperature.
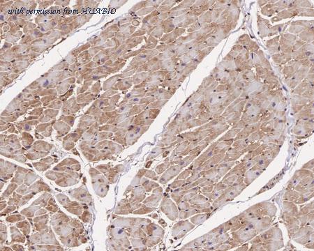
image 2 :

Immunohistochemical analysis of paraffin-embedded human heart tissue with Rabbit anti-Arp2 antibody (HA721348) at 1/1,000 dilution.
The section was pre-treated using heat mediated antigen retrieval with Tris-EDTA buffer (pH 9.0) for 20 minutes. The tissues were blocked in 1% BSA for 20 minutes at room temperature, washed with ddH2O and PBS, and then probed with the primary antibody (HA721348) at 1/1,000 dilution for 1 hour at room temperature. The detection was performed using an HRP conjugated compact polymer system. DAB was used as the chromogen. Tissues were counterstained with hematoxylin and mounted with DPX.
image 3 :

Immunocytochemistry analysis of SH-SY5Y cells labeling Arp2 with Rabbit anti-Arp2 antibody (HA721348) at 1/250 dilution.
Cells were fixed in 4% paraformaldehyde for 10 minutes at 37 ℃, permeabilized with 0.05% Triton X-100 in PBS for 20 minutes, and then blocked with 2% negative goat serum for 30 minutes at room temperature. Cells were then incubated with Rabbit anti-Arp2 antibody (HA721348) at 1/250 dilution in 2% negative goat serum overnight at 4 ℃. Goat Anti-Rabbit IgG H&L (iFluor™ 488, HA1121) was used as the secondary antibody at 1/1,000 dilution. Nuclear DNA was labelled in blue with DAPI.
Beta tubulin (M1305-2, red) was stained at 1/100 dilution overnight at +4℃. Goat Anti-Mouse IgG H&L (iFluor™ 594, HA1126) was used as the secondary antibody at 1/1,000 dilution.
product information
SKU :
HA721348
Target name :
Arp2
Species reactivity :
Human,Rat,Mouse
Applications :
WB,IHC-P,IF-Cell
Conjugate :
Non-conjugated
Immunogen :
Synthetic peptide within Human Arp2 aa 345-394 / 394.
Uniprot id :
P61160>SwissProt: P61160 Human;SwissProt: P61161 Mouse;SwissProt: Q5M7U6 Rat
Host :
Rabbit
Clone number :
JE40-62
Isotype :
IgG
Size :
100μl
List Price :
385.00 USD
Storage Buffer :
1*TBS (pH7.4), 0.05% BSA, 40% Glycerol. Preservative: 0.05% Sodium Azide.
Form :
Liquid
Storage Instruction :
Shipped at 4℃. Store at +4℃ short term (1-2 weeks). It is recommended to aliquot into single-use upon delivery. Store at -20℃ long term.
Purity :
Protein A affinity purified.
Product type :
Recombinant Rabbit monoclonal Antibody
Positive control :
Jurkat cell lysate, MCF7 cell lysate, SH-SY5Y cell lysate, HeLa cell lysate, human heart tissue, SH-SY5Y, rat spleen tissue lysate, rat liver tissue lysate, rat kidney tissue lysate, RAW264.7 cell lysate, NIH/3T3 cell lysate, C2C12 cell lysate.
Molecular wt :
Predicted band size: 45 kDa
Subcellular location :
Cytoplasm, cytoskeleton, Cell projection, Nucleus.
Concentration :
1 mg/mL.
Recommended dilutions :
WB: 1:1,000
;IHC-P: 1:1,000
;IF-Cell: 1:250
Pic img4 :
https://storage.huabio.cn/huabio/productImg/HA721348_4.jpg
Pic legend4 :
Western blot analysis of Arp2 on different lysates with Rabbit anti-Arp2 antibody (HA721348) at 1/1,000 dilution.
Lane 1: Rat spleen tissue lysate
Lane 2: Rat liver tissue lysate
Lane 3: Rat kidney tissue lysate
Lysates/proteins at 20 µg/Lane.
Predicted band size: 45 kDa
Observed band size: 40 kDa
Exposure time: 2 minute;
12% SDS-PAGE gel.
Proteins were transferred to a PVDF membrane and blocked with 5% NFDM/TBST for 1 hour at room temperature. The primary antibody (HA721348) at 1/1,000 dilution was used in 5% NFDM/TBST at room temperature for 2 hours. Goat Anti-Rabbit IgG - HRP Secondary Antibody (HA1001) at 1:100,000 dilution was used for 1 hour at room temperature.
Pic img5 :
https://storage.huabio.cn/huabio/productImg/HA721348_5.jpg
Pic legend5 :
Western blot analysis of Arp2 on different lysates with Rabbit anti-Arp2 antibody (HA721348) at 1/1,000 dilution.
Lane 1: RAW264.7 cell lysate
Lane 2: NIH/3T3 cell lysate
Lane 3: C2C12 cell lysate
Lysates/proteins at 10 µg/Lane.
Predicted band size: 45 kDa
Observed band size: 40 kDa
Exposure time: 30 seconds;
12% SDS-PAGE gel.
Proteins were transferred to a PVDF membrane and blocked with 5% NFDM/TBST for 1 hour at room temperature. The primary antibody (HA721348) at 1/1,000 dilution was used in 5% NFDM/TBST at room temperature for 2 hours. Goat Anti-Rabbit IgG - HRP Secondary Antibody (HA1001) at 1:200,000 dilution was used for 1 hour at room temperature.
more info or order :
company information

HUABIO
Founded in 2007, HUABIO is dedicated to developing high-quality antibodies that advance innovation. We are passionate about the accuracy, efficiency, and consistency of our products. That is why we have invested in new production platforms, like recombinant rabbit monoclonals, alpaca nanobodies, and adopted aggressive QA standards to deliver cutting-edge antibodies with uncompromised quality.
We hope to see you at your next discovery!
We hope to see you at your next discovery!
browse more products
questions and comments
