product summary
Loading...
company name :
HUABIO
product type :
antibody
product name :
GNAQ
catalog :
HA721328
quantity :
100μl
price :
385.00 USD
clonality :
monoclonal
host :
domestic rabbit
conjugate :
nonconjugated
clone name :
JE65-59
reactivity :
human, mouse, rat
application :
western blot, immunohistochemistry - paraffin section
more info or order :
image
image 1 :

Western blot analysis of GNAQ on different lysates with Rabbit anti-GNAQ antibody (HA721328) at 1/1,000 dilution.
Lane 1: SH-SY5Y cell lysate
Lane 2: A431 cell lysate
Lane 3: NIH/3T3 cell lysate
Lane 4: PC-12 cell lysate
Lysates/proteins at 20 µg/Lane.
Predicted band size: 42 kDa
Observed band size: 42 kDa
Exposure time: 1 minute 30 seconds;
4-20% SDS-PAGE gel.
Proteins were transferred to a PVDF membrane and blocked with 5% NFDM/TBST for 1 hour at room temperature. The primary antibody (HA721328) at 1/1,000 dilution was used in 5% NFDM/TBST at room temperature for 2 hours. Goat Anti-Rabbit IgG - HRP Secondary Antibody (HA1001) at 1:50,000 dilution was used for 1 hour at room temperature.
image 2 :

Western blot analysis of GNAQ on different lysates with Rabbit anti-GNAQ antibody (HA721328) at 1/1,000 dilution.
Lane 1: HAP1-parental cell lysate
Lane 2: HAP1-GNAQ KD cell lysate
Lysates/proteins at 10 µg/Lane.
Predicted band size: 42 kDa
Observed band size: 42 kDa
Exposure time: 120 seconds; ECL: K1801;
4-20% SDS-PAGE gel.
Proteins were transferred to a PVDF membrane and blocked with 5% NFDM/TBST for 1 hour at room temperature. The primary antibody (HA721328) at 1/1,000 dilution was used in K1803 at 4℃ overnight. Goat Anti-Rabbit IgG - HRP Secondary Antibody (HA1001) at 1/50,000 dilution was used for 1 hour at room temperature.
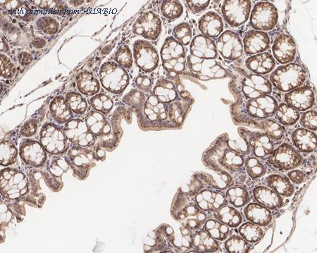
image 3 :

Immunohistochemical analysis of paraffin-embedded mouse colon tissue with Rabbit anti-GNAQ antibody (HA721328) at 1/1,000 dilution.
The section was pre-treated using heat mediated antigen retrieval with Tris-EDTA buffer (pH 9.0) for 20 minutes. The tissues were blocked in 1% BSA for 20 minutes at room temperature, washed with ddH2O and PBS, and then probed with the primary antibody (HA721328) at 1/1,000 dilution for 1 hour at room temperature. The detection was performed using an HRP conjugated compact polymer system. DAB was used as the chromogen. Tissues were counterstained with hematoxylin and mounted with DPX.
product information
SKU :
HA721328
Target name :
GNAQ
Species reactivity :
Human,Mouse,Rat
Applications :
WB,IHC-P
Conjugate :
Non-conjugated
Immunogen :
Recombinant protein within Human GNAQ aa 51-150 / 359.
Uniprot id :
P50148>SwissProt: P50148 Human;SwissProt: P21279 Mouse;SwissProt: P82471 Rat
Host :
Rabbit
Clone number :
JE65-59
Isotype :
IgG
Size :
100μl
List Price :
385.00 USD
Storage Buffer :
1*TBS (pH7.4), 0.05% BSA, 40% Glycerol. Preservative: 0.05% Sodium Azide.
Form :
Liquid
Storage Instruction :
Shipped at 4℃. Store at +4℃ short term (1-2 weeks). It is recommended to aliquot into single-use upon delivery. Store at -20℃ long term.
Purity :
Protein A affinity purified.
Product type :
Recombinant Rabbit monoclonal Antibody
Positive control :
Mouse colon tissue, human breast tissue, human thyroid cancer tissue, SH-SY5Y cell lysate, A431 cell lysate, NIH/3T3 cell lysate, PC-12 cell lysate.
Molecular wt :
Predicted band size: 42 kDa
Subcellular location :
Cell membrane, Golgi apparatus, Nucleus, Nucleus membrane.
Concentration :
1 mg/mL.
Recommended dilutions :
WB: 1:1,000
;IHC-P: 1:1,000
Advanced Validation :
Knockdown (KD)
Pic img4 :
https://storage.huabio.cn/huabio/productImg/HA721328_4.jpg
Pic legend4 :
Immunohistochemical analysis of paraffin-embedded human breast tissue with Rabbit anti-GNAQ antibody (HA721328) at 1/1,000 dilution.
The section was pre-treated using heat mediated antigen retrieval with Tris-EDTA buffer (pH 9.0) for 20 minutes. The tissues were blocked in 1% BSA for 20 minutes at room temperature, washed with ddH2O and PBS, and then probed with the primary antibody (HA721328) at 1/1,000 dilution for 1 hour at room temperature. The detection was performed using an HRP conjugated compact polymer system. DAB was used as the chromogen. Tissues were counterstained with hematoxylin and mounted with DPX.
Pic img5 :
https://storage.huabio.cn/huabio/productImg/HA721328_5.jpg
Pic legend5 :
Immunohistochemical analysis of paraffin-embedded human thyroid cancer tissue with Rabbit anti-GNAQ antibody (HA721328) at 1/1,000 dilution.
The section was pre-treated using heat mediated antigen retrieval with Tris-EDTA buffer (pH 9.0) for 20 minutes. The tissues were blocked in 1% BSA for 20 minutes at room temperature, washed with ddH2O and PBS, and then probed with the primary antibody (HA721328) at 1/1,000 dilution for 1 hour at room temperature. The detection was performed using an HRP conjugated compact polymer system. DAB was used as the chromogen. Tissues were counterstained with hematoxylin and mounted with DPX.
more info or order :
company information

HUABIO
Founded in 2007, HUABIO is dedicated to developing high-quality antibodies that advance innovation. We are passionate about the accuracy, efficiency, and consistency of our products. That is why we have invested in new production platforms, like recombinant rabbit monoclonals, alpaca nanobodies, and adopted aggressive QA standards to deliver cutting-edge antibodies with uncompromised quality.
We hope to see you at your next discovery!
We hope to see you at your next discovery!
browse more products
questions and comments
