product summary
Loading...
company name :
HUABIO
product type :
antibody
product name :
YTHDF1
catalog :
HA721302
quantity :
100μl
price :
385.00 USD
clonality :
monoclonal
host :
domestic rabbit
conjugate :
nonconjugated
clone name :
PSH0-23
reactivity :
human, mouse, rat
application :
western blot, flow cytometry, immunohistochemistry - paraffin section
more info or order :
image
image 1 :

Western blot analysis of YTHDF1 on different lysates with Rabbit anti-YTHDF1 antibody (HA721302) at 1/1,000 dilution.
Lane 1: HepG2 cell lysate (10 µg/Lane)
Lane 2: Hela cell lysate (10 µg/Lane)
Lane 3: 293T cell lysate (10 µg/Lane)
Lane 4: MCF-7 cell lysate (10 µg/Lane)
Lane 5: NIH/3T3 cell lysate (10 µg/Lane)
Lane 6: PC-12 cell lysate (10 µg/Lane)
Lane 7: HCT116 cell lysate (10 µg/Lane)
Lane 8: Mouse testis liver tissue lysate (20 µg/Lane)
Lane 9: Rat testis tissue lysate (20 µg/Lane)
Lane 10: Mouse brain tissue lysate (20 µg/Lane)
Lane 11: Rat brain tissue lysate (20 µg/Lane)
Predicted band size: 61 kDa
Observed band size: 69 kDa
Exposure time: 5 minutes;
10% SDS-PAGE gel.
Proteins were transferred to a PVDF membrane and blocked with 5% NFDM/TBST for 1 hour at room temperature. The primary antibody (HA721302) at 1/1,000 dilution was used in 5% NFDM/TBST at room temperature for 2 hours. Goat Anti-Rabbit IgG - HRP Secondary Antibody (HA1001) at 1:300,000 dilution was used for 1 hour at room temperature.
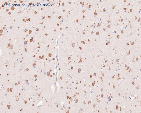
image 2 :

Immunohistochemical analysis of paraffin-embedded human brain tissue with Rabbit anti-YTHDF1 antibody (HA721302) at 1/1,000 dilution.
The section was pre-treated using heat mediated antigen retrieval with Tris-EDTA buffer (pH 9.0) for 20 minutes. The tissues were blocked in 1% BSA for 20 minutes at room temperature, washed with ddH2O and PBS, and then probed with the primary antibody (HA721302) at 1/1,000 dilution for 1 hour at room temperature. The detection was performed using an HRP conjugated compact polymer system. DAB was used as the chromogen. Tissues were counterstained with hematoxylin and mounted with DPX.
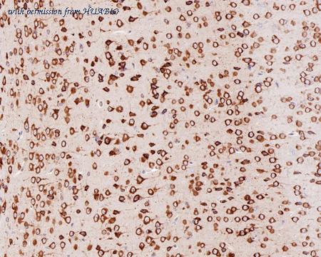
image 3 :

Immunohistochemical analysis of paraffin-embedded mouse brain tissue with Rabbit anti-YTHDF1 antibody (HA721302) at 1/1,000 dilution.
The section was pre-treated using heat mediated antigen retrieval with Tris-EDTA buffer (pH 9.0) for 20 minutes. The tissues were blocked in 1% BSA for 20 minutes at room temperature, washed with ddH2O and PBS, and then probed with the primary antibody (HA721302) at 1/1,000 dilution for 1 hour at room temperature. The detection was performed using an HRP conjugated compact polymer system. DAB was used as the chromogen. Tissues were counterstained with hematoxylin and mounted with DPX.
product information
SKU :
HA721302
Target name :
YTHDF1
Species reactivity :
Human,Mouse,Rat
Applications :
WB,IHC-P,FC
Conjugate :
Non-conjugated
Immunogen :
Recombinant protein within human YTHDF1 aa 300-559.
Uniprot id :
Q9BYJ9>SwissProt: Q9BYJ9 Human;SwissProt: P59326 Mouse;Entrez Gene: 296467 Rat
Host :
Rabbit
Clone number :
PSH0-23
Isotype :
IgG
Size :
100μl
List Price :
385.00 USD
Storage Buffer :
PBS (pH7.4), 0.1% BSA, 40% Glycerol. Preservative: 0.05% Sodium Azide.
Form :
Liquid
Storage Instruction :
Shipped at 4℃. Store at +4℃ short term (1-2 weeks). It is recommended to aliquot into single-use upon delivery. Store at -20℃ long term.
Purity :
Protein A affinity purified.
Product type :
Recombinant Rabbit monoclonal Antibody
Positive control :
HepG2 cell lysate, Hela cell lysate, 293T cell lysate, MCF-7 cell lysate, NIH/3T3 cell lysate, PC-12 cell lysate, HCT116 cell lysate, mouse testis liver tissue lysate, rat testis tissue lysate, mouse brain tissue lysate, rat brain tissue lysate, human brain tissue, mouse brain tissue, mouse hippocampus tissue, rat brain tissue, 293, PC-12.
Molecular wt :
Predicted band size: 61 kDa
Subcellular location :
Cytoplasm, P-body.
Concentration :
1 mg/mL.
Recommended dilutions :
WB: 1:1,000;IHC-P: 1:1,000;FC: 1ug/mL
Pic img4 :
https://storage.huabio.cn/huabio/productImg/HA721302_4.jpg
Pic legend4 :
Immunohistochemical analysis of paraffin-embedded mouse hippocampus tissue with Rabbit anti-YTHDF1 antibody (HA721302) at 1/1,000 dilution.
The section was pre-treated using heat mediated antigen retrieval with Tris-EDTA buffer (pH 9.0) for 20 minutes. The tissues were blocked in 1% BSA for 20 minutes at room temperature, washed with ddH2O and PBS, and then probed with the primary antibody (HA721302) at 1/1,000 dilution for 1 hour at room temperature. The detection was performed using an HRP conjugated compact polymer system. DAB was used as the chromogen. Tissues were counterstained with hematoxylin and mounted with DPX.
Pic img5 :
https://storage.huabio.cn/huabio/productImg/HA721302_5.jpg
Pic legend5 :
Immunohistochemical analysis of paraffin-embedded rat brain tissue with Rabbit anti-YTHDF1 antibody (HA721302) at 1/1,000 dilution.
The section was pre-treated using heat mediated antigen retrieval with Tris-EDTA buffer (pH 9.0) for 20 minutes. The tissues were blocked in 1% BSA for 20 minutes at room temperature, washed with ddH2O and PBS, and then probed with the primary antibody (HA721302) at 1/1,000 dilution for 1 hour at room temperature. The detection was performed using an HRP conjugated compact polymer system. DAB was used as the chromogen. Tissues were counterstained with hematoxylin and mounted with DPX.
Pic img6 :
https://storage.huabio.cn/huabio/productImg/HA721302_6.jpg
Pic legend6 :
Flow cytometric analysis of 293 cells labeling YTHDF1.
Cells were fixed and permeabilized. Then stained with the primary antibody (HA721302, 1ug/ml) (red) compared with Rabbit IgG Isotype Control (green). After incubation of the primary antibody at +4℃ for an hour, the cells were stained with a iFluor™ 488 conjugate-Goat anti-Rabbit IgG Secondary antibody (HA1121) at 1/1,000 dilution for 30 minutes at +4℃. Unlabelled sample was used as a control (cells without incubation with primary antibody; black).
Pic img7 :
https://storage.huabio.cn/huabio/productImg/HA721302_7.jpg
Pic legend7 :
Flow cytometric analysis of PC-12 cells labeling YTHDF1.
Cells were fixed and permeabilized. Then stained with the primary antibody (HA721302, 1ug/ml) (red) compared with Rabbit IgG Isotype Control (green). After incubation of the primary antibody at +4℃ for an hour, the cells were stained with a iFluor™ 488 conjugate-Goat anti-Rabbit IgG Secondary antibody (HA1121) at 1/1,000 dilution for 30 minutes at +4℃. Unlabelled sample was used as a control (cells without incubation with primary antibody; black).
more info or order :
company information

HUABIO
Founded in 2007, HUABIO is dedicated to developing high-quality antibodies that advance innovation. We are passionate about the accuracy, efficiency, and consistency of our products. That is why we have invested in new production platforms, like recombinant rabbit monoclonals, alpaca nanobodies, and adopted aggressive QA standards to deliver cutting-edge antibodies with uncompromised quality.
We hope to see you at your next discovery!
We hope to see you at your next discovery!
browse more products
questions and comments
