product summary
Loading...
company name :
HUABIO
product type :
antibody
product name :
MAGEA1
catalog :
HA721197
quantity :
100μl
price :
385.00 USD
clonality :
monoclonal
host :
domestic rabbit
conjugate :
nonconjugated
clone name :
PD00-50
reactivity :
human
application :
western blot, immunoprecipitation, immunohistochemistry - paraffin section
more info or order :
image
image 1 :

Western blot analysis of MAGEA1 on A431 cell lysates with Rabbit anti-MAGEA1 antibody (HA721197) at 1/1,000 dilution.
Lysates/proteins at 20 µg/Lane.
Predicted band size: 34 kDa
Observed band size: 45 kDa
Exposure time: 25 seconds; ECL: K1801;
4-20% SDS-PAGE gel.
Proteins were transferred to a PVDF membrane and blocked with 5% NFDM/TBST for 1 hour at room temperature. The primary antibody (HA721197) at 1/1,000 dilution was used in 5% NFDM/TBST at 4℃ overnight. Goat Anti-Rabbit IgG - HRP Secondary Antibody (HA1001) at 1/50,000 dilution was used for 1 hour at room temperature.
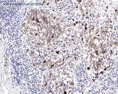
image 2 :

Immunohistochemical analysis of paraffin-embedded human malignant melanoma tissue with Rabbit anti-MAGEA1 antibody (HA721197) at 1/1,500 dilution.
The section was pre-treated using heat mediated antigen retrieval with sodium citrate buffer (pH 6.0) (high pressure) for 2 minutes. The tissues were blocked in 1% BSA for 20 minutes at room temperature, washed with ddH2O and PBS, and then probed with the primary antibody (HA721197) at 1/1,500 dilution for 1 hour at room temperature. The detection was performed using an HRP conjugated compact polymer system. DAB was used as the chromogen. Tissues were counterstained with hematoxylin and mounted with DPX.
image 3 :

Immunohistochemical analysis of paraffin-embedded human testis tissue with Rabbit anti-MAGEA1 antibody (HA721197) at 1/1,500 dilution.
The section was pre-treated using heat mediated antigen retrieval with sodium citrate buffer (pH 6.0) (high pressure) for 2 minutes. The tissues were blocked in 1% BSA for 20 minutes at room temperature, washed with ddH2O and PBS, and then probed with the primary antibody (HA721197) at 1/1,500 dilution for 1 hour at room temperature. The detection was performed using an HRP conjugated compact polymer system. DAB was used as the chromogen. Tissues were counterstained with hematoxylin and mounted with DPX.
product information
SKU :
HA721197
Target name :
MAGEA1
Species reactivity :
Human
Applications :
WB,IHC-P,IP,IF-Tissue
Conjugate :
Non-conjugated
Immunogen :
Synthetic peptide
Uniprot id :
P43355>SwissProt: P43355 Human
Host :
Rabbit
Clone number :
PD00-50
Isotype :
IgG
Size :
100μl
List Price :
385.00 USD
Storage Buffer :
PBS (pH7.4), 0.1% BSA, 40% Glycerol. Preservative: 0.05% Sodium Azide.
Form :
Liquid
Storage Instruction :
Shipped at 4℃. Store at +4℃ short term (1-2 weeks). It is recommended to aliquot into single-use upon delivery. Store at -20℃ long term.
Purity :
Protein A affinity purified.
Product type :
Recombinant Rabbit monoclonal Antibody
Positive control :
A431 cell lysates, human malignant melanoma tissue, human testis tissue.
Molecular wt :
Predicted band size: 34 kDa
Subcellular location :
Cytoplasm, Nucleus.
Concentration :
1 mg/mL.
Recommended dilutions :
WB: 1:1,000
;IHC-P: 1:1,500
;IP: 1-2μg/sample
;IF-Tissue: 1:200
Pic img4 :
https://storage.huabio.cn/huabio/productImg/HA721197_4.jpg
Pic legend4 :
MAGEA1 was immunoprecipitated from 0.2 mg A431 cell lysate with HA721197 at 2 µg/10 µl beads. Western blot was performed from the immunoprecipitate using HA721197 at 1/2,000 dilution. HRP Conjugated Anti-Rabbit IgG for IP Nano-secondary antibody at 1/5,000 dilution was used for 1 hour at room temperature.
Lane 1: A431 cell lysate (input)
Lane 2: HA721197 IP in A431 cell lysate
Lane 3: Rabbit IgG instead of HA721197 in A431 cell lysate
Blocking/Dilution buffer: 5% NFDM/TBST
Exposure time: 3 seconds; ECL: K1801
Pic img5 :
https://storage.huabio.cn/huabio/productImg/HA721197_5.jpg
Pic legend5 :
Application: IF-Tissue
Species: Human
Site: testis
Sample: Paraffin-embedded section
Antibody concentration: 1/500
more info or order :
company information

HUABIO
Founded in 2007, HUABIO is dedicated to developing high-quality antibodies that advance innovation. We are passionate about the accuracy, efficiency, and consistency of our products. That is why we have invested in new production platforms, like recombinant rabbit monoclonals, alpaca nanobodies, and adopted aggressive QA standards to deliver cutting-edge antibodies with uncompromised quality.
We hope to see you at your next discovery!
We hope to see you at your next discovery!
browse more products
questions and comments
