product summary
Loading...
company name :
HUABIO
product type :
antibody
product name :
Androgen receptor
catalog :
HA721156-50UL
quantity :
50μl
price :
205.00 USD
clonality :
monoclonal
host :
domestic rabbit
conjugate :
nonconjugated
clone name :
PO00-29
reactivity :
human, mouse, rat
application :
western blot, immunoprecipitation, immunohistochemistry - paraffin section
more info or order :
image
image 1 :

Western blot analysis of Androgen receptor on different lysates with Rabbit anti-Androgen receptor antibody (HA721156) at 1/1,000 dilution.
Lane 1: A549 cell lysate
Lane 2: K-562 cell lysate
Lane 3: 22RV1 cell lysate
Lysates/proteins at 10 µg/Lane.
Predicted band size: 99 kDa
Observed band size: 99/75 kDa
Exposure time: 10 seconds; ECL: K1802;
4-20% SDS-PAGE gel.
Proteins were transferred to a PVDF membrane and blocked with 5% NFDM/TBST for 1 hour at room temperature. The primary antibody (HA721156) at 1/1,000 dilution was used in 5% NFDM/TBST at 4℃ overnight. Goat Anti-Rabbit IgG - HRP Secondary Antibody (HA1001) at 1/50,000 dilution was used for 1 hour at room temperature.
image 2 :

Western blot analysis of Androgen receptor on rat testis tissue lysates with Rabbit anti-Androgen receptor antibody (HA721156) at 1/1,000 dilution.
Lysates/proteins at 20 µg/Lane.
Predicted band size: 99 kDa
Observed band size: 110 kDa
Exposure time: 3 minutes;
8% SDS-PAGE gel.
Proteins were transferred to a PVDF membrane and blocked with 5% NFDM/TBST for 1 hour at room temperature. The primary antibody (HA721156) at 1/1,000 dilution was used in 5% NFDM/TBST at room temperature for 2 hours. Goat Anti-Rabbit IgG - HRP Secondary Antibody (HA1001) at 1:100,000 dilution was used for 1 hour at room temperature.
image 3 :

Immunocytochemistry analysis of 22RV1 cells labeling Androgen receptor with Rabbit anti-Androgen receptor antibody (HA721156) at 1/100 dilution.
Cells were fixed in 4% paraformaldehyde for 20 minutes at room temperature, permeabilized with 0.1% Triton X-100 in PBS for 5 minutes at room temperature, then blocked with 1% BSA in 10% negative goat serum for 1 hour at room temperature. Cells were then incubated with Rabbit anti-Androgen receptor antibody (HA721156) at 1/100 dilution in 1% BSA in PBST overnight at 4 ℃. Goat Anti-Rabbit IgG H&L (iFluor™ 488, HA1121) was used as the secondary antibody at 1/1,000 dilution. PBS instead of the primary antibody was used as the secondary antibody only control. Nuclear DNA was labelled in blue with DAPI.
Beta tubulin (M1305-2, red) was stained at 1/100 dilution overnight at +4℃. Goat Anti-Mouse IgG H&L (iFluor™ 594, HA1126) was used as the secondary antibody at 1/1,000 dilution.
product information
SKU :
HA721156-50UL
Target name :
Androgen receptor
Species reactivity :
Human,Mouse,Rat
Applications :
WB,IHC-P,IF-Tissue,IF-Cell,IP
Conjugate :
Non-conjugated
Immunogen :
Synthetic peptide within Human Androgen Receptor aa 300-400 (N terminal).
Uniprot id :
P10275>SwissProt: P10275 Human;SwissProt: P19091 Mouse;SwissProt: P15207 Rat
Host :
Rabbit
Clone number :
PO00-29
Isotype :
IgG
Size :
50μl
List Price :
205.00 USD
Storage Buffer :
PBS (pH7.4), 0.1% BSA, 40% Glycerol. Preservative: 0.05% Sodium Azide.
Form :
Liquid
Storage Instruction :
Shipped at 4℃. Store at +4℃ short term (1-2 weeks). It is recommended to aliquot into single-use upon delivery. Store at -20℃ long term.
Purity :
Protein A affinity purified.
Product type :
Recombinant Rabbit monoclonal Antibody
Positive control :
A549 cell lysate, K-562 cell lysate, 22RV1 cell lysate, rat testis tissue lysates, 22RV1, human prostate carcinoma tissue, human fallopian tube tissue, mouse testis tissue, mouse epididymis tissue, rat epididymis tissue.
Molecular wt :
Predicted band size: 99 kDa
Subcellular location :
Cytoplasm, Nucleus.
Concentration :
1 mg/mL.
Recommended dilutions :
WB: 1:1,000
;IHC-P: 1:200-1:1,000
;IF-Tissue: 1:50-1:200
;IF-Cell: 1:100
;IP: 1-2μg/sample
Pic img4 :
https://storage.huabio.cn/huabio/productImg/HA721156_4.jpg
Pic legend4 :
Immunohistochemical analysis of paraffin-embedded human prostate carcinoma tissue with Rabbit anti-Androgen receptor antibody (HA721156) at 1/1,000 dilution.
The section was pre-treated using heat mediated antigen retrieval with sodium citrate buffer (pH 6.0) (high pressure) for 2 minutes. The tissues were blocked in 1% BSA for 20 minutes at room temperature, washed with ddH2O and PBS, and then probed with the primary antibody (HA721156) at 1/1,000 dilution for 1 hour at room temperature. The detection was performed using an HRP conjugated compact polymer system. DAB was used as the chromogen. Tissues were counterstained with hematoxylin and mounted with DPX.
Pic img5 :
https://storage.huabio.cn/huabio/productImg/HA721156_5.jpg
Pic legend5 :
Immunohistochemical analysis of paraffin-embedded human fallopian tube tissue with Rabbit anti-Androgen receptor antibody (HA721156) at 1/200 dilution.
The section was pre-treated using heat mediated antigen retrieval with sodium citrate buffer (pH 6.0) (high pressure) for 2 minutes. The tissues were blocked in 1% BSA for 20 minutes at room temperature, washed with ddH2O and PBS, and then probed with the primary antibody (HA721156) at 1/200 dilution for 1 hour at room temperature. The detection was performed using an HRP conjugated compact polymer system. DAB was used as the chromogen. Tissues were counterstained with hematoxylin and mounted with DPX.
Pic img6 :
https://storage.huabio.cn/huabio/productImg/HA721156_6.jpg
Pic legend6 :
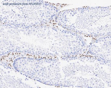
Immunohistochemical analysis of paraffin-embedded mouse testis tissue with Rabbit anti-Androgen receptor antibody (HA721156) at 1/1,000 dilution.
The section was pre-treated using heat mediated antigen retrieval with sodium citrate buffer (pH 6.0) (high pressure) for 2 minutes. The tissues were blocked in 1% BSA for 20 minutes at room temperature, washed with ddH2O and PBS, and then probed with the primary antibody (HA721156) at 1/1,000 dilution for 1 hour at room temperature. The detection was performed using an HRP conjugated compact polymer system. DAB was used as the chromogen. Tissues were counterstained with hematoxylin and mounted with DPX.
Pic img7 :
https://storage.huabio.cn/huabio/productImg/HA721156_7.jpg
Pic legend7 :
Immunohistochemical analysis of paraffin-embedded mouse epididymis tissue with Rabbit anti-Androgen receptor antibody (HA721156) at 1/1,000 dilution.
The section was pre-treated using heat mediated antigen retrieval with sodium citrate buffer (pH 6.0) (high pressure) for 2 minutes. The tissues were blocked in 1% BSA for 20 minutes at room temperature, washed with ddH2O and PBS, and then probed with the primary antibody (HA721156) at 1/1,000 dilution for 1 hour at room temperature. The detection was performed using an HRP conjugated compact polymer system. DAB was used as the chromogen. Tissues were counterstained with hematoxylin and mounted with DPX.
Pic img8 :
https://storage.huabio.cn/huabio/productImg/HA721156_8.jpg
Pic legend8 :
Immunohistochemical analysis of paraffin-embedded rat epididymis tissue with Rabbit anti-Androgen receptor antibody (HA721156) at 1/1,000 dilution.
The section was pre-treated using heat mediated antigen retrieval with sodium citrate buffer (pH 6.0) (high pressure) for 2 minutes. The tissues were blocked in 1% BSA for 20 minutes at room temperature, washed with ddH2O and PBS, and then probed with the primary antibody (HA721156) at 1/1,000 dilution for 1 hour at room temperature. The detection was performed using an HRP conjugated compact polymer system. DAB was used as the chromogen. Tissues were counterstained with hematoxylin and mounted with DPX.
Pic img9 :
https://storage.huabio.cn/huabio/productImg/HA721156_9.jpg
Pic legend9 :
Immunofluorescence analysis of paraffin-embedded rat epididymis tissue labeling Androgen receptor with Rabbit anti-Androgen receptor antibody (HA721156) at 1/50 dilution.
The section was pre-treated using heat mediated antigen retrieval with sodium citrate buffer (pH 6.0) (high pressure) for 2 minutes. The tissues were blocked in 10% negative goat serum for 1 hour at room temperature, washed with PBS, and then probed with the primary antibody (HA721156, green) at 1/50 dilution overnight at 4 ℃, washed with PBS. Goat Anti-Rabbit IgG H&L (iFluor™ 488, HA1121) was used as the secondary antibody at 1/1,000 dilution. Nuclei were counterstained with DAPI (blue).
Pic img10 :
https://storage.huabio.cn/huabio/productImg/HA721156_10.jpg
Pic legend10 :
Androgen receptor was immunoprecipitated from 0.2 mg 22RV1 cell lysate with HA721156 at 2 µg/10 µl beads. Western blot was performed from the immunoprecipitate using HA721156 at 1/2,000 dilution. HRP Conjugated Anti-Rabbit IgG for IP Nano-secondary antibody at 1/5,000 dilution was used for 1 hour at room temperature.
Lane 1: 22RV1 cell lysate (input)
Lane 2: HA721156 IP in 22RV1 cell lysate
Lane 3: Rabbit IgG instead of HA721156 in 22RV1 cell lysate
Blocking/Dilution buffer: 5% NFDM/TBST
Exposure time: 25 seconds; ECL: K1801
Pic img11 :
https://storage.huabio.cn/huabio/productImg/HA721156_11.jpg
Pic legend11 :
Immunohistochemical analysis of paraffin embedded human prostate cancer tissue using anti-Androgen receptor antibody (1/200) performed on the Leica® BOND™ RX.
more info or order :
company information

HUABIO
Founded in 2007, HUABIO is dedicated to developing high-quality antibodies that advance innovation. We are passionate about the accuracy, efficiency, and consistency of our products. That is why we have invested in new production platforms, like recombinant rabbit monoclonals, alpaca nanobodies, and adopted aggressive QA standards to deliver cutting-edge antibodies with uncompromised quality.
We hope to see you at your next discovery!
We hope to see you at your next discovery!
related products
browse more products
questions and comments
