product summary
Loading...
company name :
HUABIO
product type :
antibody
product name :
NDUFC2
catalog :
HA721123
quantity :
100μl
price :
385.00 USD
clonality :
monoclonal
host :
domestic rabbit
conjugate :
nonconjugated
clone name :
JE65-31
reactivity :
human
application :
western blot, immunohistochemistry - paraffin section
more info or order :
image
image 1 :

Western blot analysis of NDUFC2 on different lysates with Rabbit anti-NDUFC2 antibody (HA721123) at 1/5,000 dilution.
Lane 1: HeLa cell lysate
Lane 2: HepG2 cell lysate
Lane 3: A549 cell lysate
Lysates/proteins at 20 µg/Lane.
Predicted band size: 14 kDa
Observed band size: 14 kDa
Exposure time: 10 seconds; ECL: K1801;
4-20% SDS-PAGE gel.
Proteins were transferred to a PVDF membrane and blocked with 5% NFDM/TBST for 1 hour at room temperature. The primary antibody (HA721123) at 1/5,000 dilution was used in primary antibody dilution (K1803) at 4℃ overnight. Goat Anti-Rabbit IgG - HRP Secondary Antibody (HA1001) at 1/50,000 dilution was used for 1 hour at room temperature.
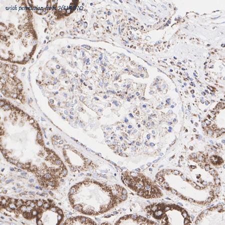
image 2 :

Immunohistochemical analysis of paraffin-embedded human kidney tissue with Rabbit anti-NDUFC2 antibody (HA721123) at 1/200 dilution.
The section was pre-treated using heat mediated antigen retrieval with Tris-EDTA buffer (pH 9.0) for 20 minutes. The tissues were blocked in 1% BSA for 20 minutes at room temperature, washed with ddH2O and PBS, and then probed with the primary antibody (HA721123) at 1/200 dilution for 1 hour at room temperature. The detection was performed using an HRP conjugated compact polymer system. DAB was used as the chromogen. Tissues were counterstained with hematoxylin and mounted with DPX.
image 3 :

Immunohistochemical analysis of paraffin-embedded human liver tissue with Rabbit anti-NDUFC2 antibody (HA721123) at 1/1,000 dilution.
The section was pre-treated using heat mediated antigen retrieval with Tris-EDTA buffer (pH 9.0) for 20 minutes. The tissues were blocked in 1% BSA for 20 minutes at room temperature, washed with ddH2O and PBS, and then probed with the primary antibody (HA721123) at 1/1,000 dilution for 1 hour at room temperature. The detection was performed using an HRP conjugated compact polymer system. DAB was used as the chromogen. Tissues were counterstained with hematoxylin and mounted with DPX.
product information
SKU :
HA721123
Target name :
NDUFC2
Species reactivity :
Human
Applications :
WB,IHC-P
Conjugate :
Non-conjugated
Immunogen :
Recombinant protein within human NDUFC2 aa 1-119.
Uniprot id :
O95298>SwissProt: O95298 Human
Host :
Rabbit
Clone number :
JE65-31
Isotype :
IgG
Size :
100μl
List Price :
385.00 USD
Storage Buffer :
1*TBS (pH7.4), 0.05% BSA, 40% Glycerol. Preservative: 0.05% Sodium Azide.
Form :
Liquid
Storage Instruction :
Shipped at 4℃. Store at +4℃ short term (1-2 weeks). It is recommended to aliquot into single-use upon delivery. Store at -20℃ long term.
Purity :
Protein A affinity purified.
Product type :
Recombinant Rabbit monoclonal Antibody
Positive control :
HeLa cell lysate, HepG2 cell lysate, A549 cell lysate, human kidney tissue, human liver tissue.
Molecular wt :
Predicted band size: 14 kDa
Subcellular location :
Mitochondrion inner membrane.
Concentration :
1 mg/mL.
Recommended dilutions :
WB: 1:5,000
;IHC-P: 1:200-1:1,000
more info or order :
company information

HUABIO
Founded in 2007, HUABIO is dedicated to developing high-quality antibodies that advance innovation. We are passionate about the accuracy, efficiency, and consistency of our products. That is why we have invested in new production platforms, like recombinant rabbit monoclonals, alpaca nanobodies, and adopted aggressive QA standards to deliver cutting-edge antibodies with uncompromised quality.
We hope to see you at your next discovery!
We hope to see you at your next discovery!
browse more products
questions and comments
