product summary
Loading...
company name :
HUABIO
product type :
antibody
product name :
WDR1
catalog :
HA721053
quantity :
100μl
price :
385.00 USD
clonality :
monoclonal
host :
domestic rabbit
conjugate :
nonconjugated
clone name :
JE64-32
reactivity :
human, mouse, rat
application :
western blot, immunohistochemistry - paraffin section
more info or order :
image
image 1 :

Western blot analysis of WDR1 on different lysates with Rabbit anti-WDR1 antibody (HA721053) at 1/2,000 dilution.
Lane 1: HeLa cell lysate
Lane 2: Raji cell lysate
Lane 3: NIH/3T3 cell lysate
Lane 4: C6 cell lysate
Lane 5: Rat skeletal muscle tissue lysate
Lysates/proteins at 20 µg/Lane.
Predicted band size: 66 kDa
Observed band size: 75 kDa
Exposure time: Lane 1-4: 23 seconds; Lane 5: 1 minute 7 seconds; ECL: K1801;
4-20% SDS-PAGE gel.
Proteins were transferred to a PVDF membrane and blocked with 5% NFDM/TBST for 1 hour at room temperature. The primary antibody (HA721053) at 1/2,000 dilution was used in 5% NFDM/TBST at 4℃ overnight. Goat Anti-Rabbit IgG - HRP Secondary Antibody (HA1001) at 1/50,000 dilution was used for 1 hour at room temperature.
image 2 :

Immunohistochemical analysis of paraffin-embedded human gastric tissue with Rabbit anti-WDR1 antibody at 1/400 dilution.
The section was pre-treated using heat mediated antigen retrieval with Tris-EDTA buffer (pH 9.0) for 20 minutes. The tissues were blocked in 1% BSA for 20 minutes at room temperature, washed with ddH2O and PBS, and then probed with the primary antibody WDR1 at 1/400 dilution for 1 hour at room temperature. The detection was performed using an HRP conjugated compact polymer system. DAB was used as the chromogen. Tissues were counterstained with hematoxylin and mounted with DPX.
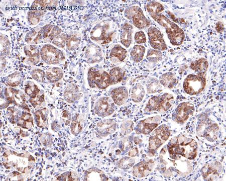
image 3 :

Immunohistochemical analysis of paraffin-embedded human endometrial tissue with Rabbit anti-WDR1 antibody at 1/100 dilution.
The section was pre-treated using heat mediated antigen retrieval with Tris-EDTA buffer (pH 9.0) for 20 minutes. The tissues were blocked in 1% BSA for 20 minutes at room temperature, washed with ddH2O and PBS, and then probed with the primary antibody WDR1 at 1/100 dilution for 1 hour at room temperature. The detection was performed using an HRP conjugated compact polymer system. DAB was used as the chromogen. Tissues were counterstained with hematoxylin and mounted with DPX.
product information
SKU :
HA721053
Target name :
WDR1
Species reactivity :
Human,Mouse,Rat
Applications :
WB,IHC-P
Conjugate :
Non-conjugated
Immunogen :
Synthetic peptide within human WDR1 aa 301-350/606.
Uniprot id :
O75083>SwissProt: O75083 Human;SwissProt: O88342 Mouse;SwissProt: Q5RKI0 Rat
Host :
Rabbit
Clone number :
JE64-32
Isotype :
IgG
Size :
100μl
List Price :
385.00 USD
Storage Buffer :
1*TBS (pH7.4), 0.05% BSA, 40% Glycerol. Preservative: 0.05% Sodium Azide.
Form :
Liquid
Storage Instruction :
Shipped at 4℃. Store at +4℃ short term (1-2 weeks). It is recommended to aliquot into single-use upon delivery. Store at -20℃ long term.
Purity :
Protein A affinity purified.
Product type :
Recombinant Rabbit monoclonal Antibody
Positive control :
HeLa cell lysate, Raji cell lysate, NIH/3T3 cell lysate, C6 cell lysate, Rat skeletal muscle tissue lysate, human gastric tissue, human endometrial tissue.
Molecular wt :
Predicted band size: 66 kDa
Subcellular location :
Cytoskeleton, Cytoplasm, podosome, Cell junction.
Concentration :
1 mg/mL.
Recommended dilutions :
WB: 1:2,000
;IHC-P: 1:100-1:400
more info or order :
company information

HUABIO
Founded in 2007, HUABIO is dedicated to developing high-quality antibodies that advance innovation. We are passionate about the accuracy, efficiency, and consistency of our products. That is why we have invested in new production platforms, like recombinant rabbit monoclonals, alpaca nanobodies, and adopted aggressive QA standards to deliver cutting-edge antibodies with uncompromised quality.
We hope to see you at your next discovery!
We hope to see you at your next discovery!
browse more products
questions and comments
