product summary
Loading...
company name :
HUABIO
product type :
antibody
product name :
CLIP170
catalog :
HA721004
quantity :
100μl
price :
385.00 USD
clonality :
monoclonal
host :
domestic rabbit
conjugate :
nonconjugated
clone name :
JE63-82
reactivity :
human
application :
western blot, immunohistochemistry - paraffin section
more info or order :
image
image 1 :

Western blot analysis of CLIP170 on different lysates with Rabbit anti-CLIP170 antibody (HA721004) at 1/500 dilution.
Lane 1: Hela cell lysate
Lane 2: HepG2 cell lysate
Lane 3: MCF-7 cell lysate
Lysates/proteins at 10 µg/Lane.
Predicted band size: 162 kDa
Observed band size: 162 kDa
Exposure time: 1 minute;
6% SDS-PAGE gel.
Proteins were transferred to a PVDF membrane and blocked with 5% NFDM/TBST for 1 hour at room temperature. The primary antibody (HA721004) at 1/500 dilution was used in 5% NFDM/TBST at room temperature for 2 hours. Goat Anti-Rabbit IgG - HRP Secondary Antibody (HA1001) at 1:200,000 dilution was used for 1 hour at room temperature.
image 2 :

Western blot analysis of CLIP170 on different lysates with Rabbit anti-CLIP170 antibody (HA721004) at 1/500 dilution.
Lane 1: HUVEC cell lysate
Lane 2: JAR cell lysate
Lysates/proteins at 10 µg/Lane.
Predicted band size: 162 kDa
Observed band size: 162 kDa
Exposure time: 1 minute;
8% SDS-PAGE gel.
Proteins were transferred to a PVDF membrane and blocked with 5% NFDM/TBST for 1 hour at room temperature. The primary antibody (HA721004) at 1/500 dilution was used in 5% NFDM/TBST at room temperature for 2 hours. Goat Anti-Rabbit IgG - HRP Secondary Antibody (HA1001) at 1:200,000 dilution was used for 1 hour at room temperature.
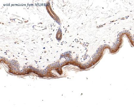
image 3 :

Immunohistochemical analysis of paraffin-embedded human skin tissue with Rabbit anti-CLIP170 antibody (HA721004) at 1/100 dilution.
The section was pre-treated using heat mediated antigen retrieval with Tris-EDTA buffer (pH 9.0) for 20 minutes. The tissues were blocked in 1% BSA for 20 minutes at room temperature, washed with ddH2O and PBS, and then probed with the primary antibody (HA721004) at 1/100 dilution for 1 hour at room temperature. The detection was performed using an HRP conjugated compact polymer system. DAB was used as the chromogen. Tissues were counterstained with hematoxylin and mounted with DPX.
product information
SKU :
HA721004
Target name :
CLIP170
Species reactivity :
Human
Applications :
WB,IF-Cell,IHC-P
Conjugate :
Non-conjugated
Immunogen :
Synthetic peptide within human CLIP170 aa 1,389-1,438/1,438.
Uniprot id :
P30622>SwissProt: P30622 Human
Host :
Rabbit
Clone number :
JE63-82
Isotype :
IgG
Size :
100μl
List Price :
385.00 USD
Storage Buffer :
1*TBS (pH7.4), 0.05% BSA, 40% Glycerol. Preservative: 0.05% Sodium Azide.
Form :
Liquid
Storage Instruction :
Shipped at 4℃. Store at +4℃ short term (1-2 weeks). It is recommended to aliquot into single-use upon delivery. Store at -20℃ long term.
Purity :
Protein A affinity purified.
Product type :
Recombinant Rabbit monoclonal Antibody
Positive control :
Hela cell lysate, HepG2 cell lysate, MCF-7 cell lysate, HUVEC cell lysate, JAR cell lysate, human skin tissue, Hela.
Molecular wt :
Predicted band size: 162 kDa
Subcellular location :
Cytoskeleton, cytoplasm, cytoplasmic vesicle membrane, ruffle.
Concentration :
1 mg/mL.
Recommended dilutions :
WB: 1:500;IF-Cell: 1:50;IHC-P: 1:100
Pic img4 :
https://storage.huabio.cn/huabio/productImg/HA721004_4.jpg
Pic legend4 :
Immunocytochemistry analysis of Hela cells labeling CLIP170 with Rabbit anti-CLIP170 antibody (HA721004) at 1/50 dilution.
Cells were fixed in 4% paraformaldehyde for 10 minutes at 37 ℃, permeabilized with 0.05% Triton X-100 in PBS for 20 minutes, and then blocked with 2% negative goat serum for 30 minutes at room temperature. Cells were then incubated with Rabbit anti-CLIP170 antibody (HA721004) at 1/50 dilution in 2% negative goat serum overnight at 4 ℃. Goat Anti-Rabbit IgG H&L (Alexa Fluor® 488) was used as the secondary antibody at 1/1,000 dilution. Nuclear DNA was labelled in blue with DAPI.
Beta tubulin (M1305-2, red) was stained at 1/200 dilution overnight at +4℃. Goat Anti-Mouse IgG H&L (Alexa Fluor® 647) were used as the secondary antibody at 1/1,000 dilution.
more info or order :
company information

HUABIO
Founded in 2007, HUABIO is dedicated to developing high-quality antibodies that advance innovation. We are passionate about the accuracy, efficiency, and consistency of our products. That is why we have invested in new production platforms, like recombinant rabbit monoclonals, alpaca nanobodies, and adopted aggressive QA standards to deliver cutting-edge antibodies with uncompromised quality.
We hope to see you at your next discovery!
We hope to see you at your next discovery!
browse more products
questions and comments
