product summary
Loading...
company name :
HUABIO
product type :
antibody
product name :
IRAK-1
catalog :
HA720079
quantity :
100μl
price :
385.00 USD
clonality :
monoclonal
host :
domestic rabbit
conjugate :
nonconjugated
clone name :
JE60-03
reactivity :
human, mouse
application :
western blot, immunoprecipitation, immunohistochemistry - paraffin section
more info or order :
image
image 1 :

Western blot analysis of IRAK-1 on different lysates with Rabbit anti-IRAK-1 antibody (HA720079) at 1/2,000 dilution.
Lane 1: A549-si NT cell lysate
Lane 2: A549-si IRAK-1 cell lysate
Lysates/proteins at 10 µg/Lane.
Predicted band size: 77 kDa
Observed band size: 75/77 kDa
Exposure time: 3 minutes; ECL: K1801;
4-20% SDS-PAGE gel.
Proteins were transferred to a PVDF membrane and blocked with 5% NFDM/TBST for 1 hour at room temperature. The primary antibody (HA720079) at 1/2,000 dilution was used in 5% NFDM/TBST at 4℃ overnight. Goat Anti-Rabbit IgG - HRP Secondary Antibody (HA1001) at 1/50,000 dilution was used for 1 hour at room temperature.
image 2 :

Western blot analysis of IRAK-1 on different lysates with Rabbit anti-IRAK-1 antibody (HA720079) at 1/2,000 dilution.
Lane 1: A549 cell lysate
Lane 2: HeLa cell lysate
Lysates/proteins at 10 µg/Lane.
Predicted band size: 77 kDa
Observed band size: 75 kDa
Exposure time: 30 seconds; ECL: K1802;
4-20% SDS-PAGE gel.
Proteins were transferred to a PVDF membrane and blocked with 5% NFDM/TBST for 1 hour at room temperature. The primary antibody (HA720079) at 1/2,000 dilution was used in 5% NFDM/TBST at 4℃ overnight. Goat Anti-Rabbit IgG - HRP Secondary Antibody (HA1001) at 1/50,000 dilution was used for 1 hour at room temperature.
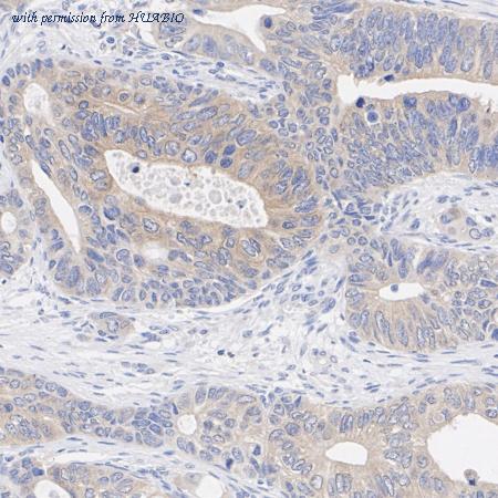
image 3 :

Immunohistochemical analysis of paraffin-embedded human colon cancer tissue with Rabbit anti-IRAK-1 antibody (HA720079) at 1/200 dilution.
The section was pre-treated using heat mediated antigen retrieval with Tris-EDTA buffer (pH 9.0) for 20 minutes. The tissues were blocked in 1% BSA for 20 minutes at room temperature, washed with ddH2O and PBS, and then probed with the primary antibody (HA720079) at 1/200 dilution for 1 hour at room temperature. The detection was performed using an HRP conjugated compact polymer system. DAB was used as the chromogen. Tissues were counterstained with hematoxylin and mounted with DPX.
product information
SKU :
HA720079
Target name :
IRAK-1
Species reactivity :
Human,Mouse
Applications :
WB,IHC-P,IP
Conjugate :
Non-conjugated
Immunogen :
Recombinant protein within human IRAK-1 aa 201-500/712.
Uniprot id :
P51617>SwissProt: P51617 Human;SwissProt: Q62406 Mouse
Host :
Rabbit
Clone number :
JE60-03
Isotype :
IgG
Size :
100μl
List Price :
385.00 USD
Storage Buffer :
1*TBS (pH7.4), 0.05% BSA, 40% Glycerol. Preservative: 0.05% Sodium Azide.
Form :
Liquid
Storage Instruction :
Shipped at 4℃. Store at +4℃ short term (1-2 weeks). It is recommended to aliquot into single-use upon delivery. Store at -20℃ long term.
Purity :
Protein A affinity purified.
Product type :
Recombinant Rabbit monoclonal Antibody
Positive control :
A549 cell lysate, HeLa cell lysate, human colon cancer tissue.
Molecular wt :
Predicted band size: 77 kDa
Subcellular location :
Cytoplasm, Lipid droplet, Nucleus.
Concentration :
1 mg/mL.
Recommended dilutions :
WB: 1:2,000
;IHC-P: 1:100-1:200
;IP: 1-2μg/sample
Advanced Validation :
Knockdown (KD)
Pic img4 :
https://storage.huabio.cn/huabio/productImg/HA720079_4.jpg
Pic legend4 :
IRAK-1 was immunoprecipitated from 0.2 mg HeLa cell lysate with HA720079 at 2 µg/10 µl beads. Western blot was performed from the immunoprecipitate using HA720079 at 1/2,000 dilution. Anti-Rabbit IgG for IP Nano-secondary antibody (NBI01H) at 1/5,000 dilution was used for 1 hour at room temperature.
Lane 1: HeLa cell lysate (input)
Lane 2: HA720079 IP in HeLa cell lysate
Lane 3: Rabbit IgG instead of HA720079 in HeLa cell lysate
Blocking/Dilution buffer: 5% NFDM/TBST
Exposure time: 1 minute; ECL: K1802
more info or order :
company information

HUABIO
Founded in 2007, HUABIO is dedicated to developing high-quality antibodies that advance innovation. We are passionate about the accuracy, efficiency, and consistency of our products. That is why we have invested in new production platforms, like recombinant rabbit monoclonals, alpaca nanobodies, and adopted aggressive QA standards to deliver cutting-edge antibodies with uncompromised quality.
We hope to see you at your next discovery!
We hope to see you at your next discovery!
related products
browse more products
questions and comments
