product summary
Loading...
company name :
HUABIO
product type :
antibody
product name :
CHM
catalog :
HA720064
quantity :
100μl
price :
385.00 USD
clonality :
monoclonal
host :
domestic rabbit
conjugate :
nonconjugated
clone name :
JE61-83
reactivity :
human, mouse, rat
application :
western blot, flow cytometry, immunohistochemistry - paraffin section
more info or order :
image
image 1 :

Western blot analysis of CHM on different lysates with Rabbit anti-CHM antibody (HA720064) at 1/5,000 dilution.
Lane 1: A431 cell lysate (20 µg/Lane)
Lane 2: SiHa cell lysate (20 µg/Lane)
Lane 3: C2C12 cell lysate (20 µg/Lane)
Lane 4: C6 cell lysate (20 µg/Lane)
Lane 5: Mouse colon tissue lysate (40 µg/Lane)
Lane 6: Rat colon tissue lysate (40 µg/Lane)
Predicted band size: 73 kDa
Observed band size: 100 kDa
Exposure time: 59 seconds; ECL: K1801;
4-20% SDS-PAGE gel.
Proteins were transferred to a PVDF membrane and blocked with 5% NFDM/TBST for 1 hour at room temperature. The primary antibody (HA720064) at 1/5,000 dilution was used in primary antibody dilution (K1803) at 4℃ overnight. Goat Anti-Rabbit IgG - HRP Secondary Antibody (HA1001) at 1/50,000 dilution was used for 1 hour at room temperature.
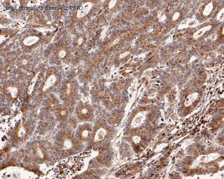
image 2 :

Immunohistochemical analysis of paraffin-embedded human colon carcinoma tissue using anti-CHM antibody. The section was pre-treated using heat mediated antigen retrieval with Tris-EDTA buffer (pH 9.0) for 20 minutes.The tissues were blocked in 5% BSA for 30 minutes at room temperature, washed with ddH2O and PBS, and then probed with the primary antibody (HA720064, 1/200) for 30 minutes at room temperature. The detection was performed using an HRP conjugated compact polymer system. DAB was used as the chromogen. Tissues were counterstained with hematoxylin and mounted with DPX.
image 3 :

Immunohistochemical analysis of paraffin-embedded human endometrium tissue using anti-CHM antibody. The section was pre-treated using heat mediated antigen retrieval with Tris-EDTA buffer (pH 9.0) for 20 minutes.The tissues were blocked in 5% BSA for 30 minutes at room temperature, washed with ddH2O and PBS, and then probed with the primary antibody (HA720064, 1/200) for 30 minutes at room temperature. The detection was performed using an HRP conjugated compact polymer system. DAB was used as the chromogen. Tissues were counterstained with hematoxylin and mounted with DPX.
product information
SKU :
HA720064
Target name :
CHM
Species reactivity :
Human,Mouse,Rat
Applications :
WB,IF-Cell,IHC-P,FC
Conjugate :
Non-conjugated
Immunogen :
Synthetic peptide within human CHM aa 36-85/653.
Uniprot id :
P24386>SwissProt: P24386 Human;SwissProt: Q9QXG2 Mouse;SwissProt: P37727 Rat
Host :
Rabbit
Clone number :
JE61-83
Isotype :
IgG
Size :
100μl
List Price :
385.00 USD
Storage Buffer :
1*TBS (pH7.4), 0.05% BSA, 40% Glycerol. Preservative: 0.05% Sodium Azide.
Form :
Liquid
Storage Instruction :
Shipped at 4℃. Store at +4℃ short term (1-2 weeks). It is recommended to aliquot into single-use upon delivery. Store at -20℃ long term.
Purity :
Protein A affinity purified.
Product type :
Recombinant Rabbit monoclonal Antibody
Positive control :
A431 cell lysate, SiHa cell lysate, C2C12 cell lysate, C6 cell lysate, mouse colon tissue lysate, rat colon tissue lysate, human colon carcinoma tissue, human endometrium tissue, mouse brain tissue, mouse colon tissue, rat rectum tissue, SiHa, HeLa.
Molecular wt :
Predicted band size: 73 kDa
Subcellular location :
Cytoplasm, cytosol.
Concentration :
1 mg/mL.
Recommended dilutions :
WB: 1:5,000
;IF-Cell: 1:50
;IHC-P: 1:200-1:1,000
;FC: 1:500-1:1,000
Pic img4 :
https://storage.huabio.cn/huabio/productImg/HA720064_4.jpg
Pic legend4 :
Immunohistochemical analysis of paraffin-embedded mouse brain tissue with Rabbit anti-CHM antibody (HA720064) at 1/1,000 dilution.
The section was pre-treated using heat mediated antigen retrieval with Tris-EDTA buffer (pH 9.0) for 20 minutes. The tissues were blocked in 1% BSA for 20 minutes at room temperature, washed with ddH2O and PBS, and then probed with the primary antibody (HA720064) at 1/1,000 dilution for 1 hour at room temperature. The detection was performed using an HRP conjugated compact polymer system. DAB was used as the chromogen. Tissues were counterstained with hematoxylin and mounted with DPX.
Pic img5 :
https://storage.huabio.cn/huabio/productImg/HA720064_5.jpg
Pic legend5 :
Immunohistochemical analysis of paraffin-embedded mouse colon tissue with Rabbit anti-CHM antibody (HA720064) at 1/1,000 dilution.
The section was pre-treated using heat mediated antigen retrieval with Tris-EDTA buffer (pH 9.0) for 20 minutes. The tissues were blocked in 1% BSA for 20 minutes at room temperature, washed with ddH2O and PBS, and then probed with the primary antibody (HA720064) at 1/1,000 dilution for 1 hour at room temperature. The detection was performed using an HRP conjugated compact polymer system. DAB was used as the chromogen. Tissues were counterstained with hematoxylin and mounted with DPX.
Pic img6 :
https://storage.huabio.cn/huabio/productImg/HA720064_6.jpg
Pic legend6 :
Immunohistochemical analysis of paraffin-embedded rat rectum tissue using anti-CHM antibody. The section was pre-treated using heat mediated antigen retrieval with Tris-EDTA buffer (pH 9.0) for 20 minutes.The tissues were blocked in 5% BSA for 30 minutes at room temperature, washed with ddH2O and PBS, and then probed with the primary antibody (HA720064, 1/200) for 30 minutes at room temperature. The detection was performed using an HRP conjugated compact polymer system. DAB was used as the chromogen. Tissues were counterstained with hematoxylin and mounted with DPX.
Pic img7 :
https://storage.huabio.cn/huabio/productImg/HA720064_7.jpg
Pic legend7 :
Flow cytometric analysis of CHM was done on SiHa cells. The cells were fixed, permeabilized and stained with the primary antibody (HA720064, 1ug/ml) (red) compared with Rabbit IgG, monoclonal - Isotype Control (green). After incubation of the primary antibody at +4℃ for 1 hour, the cells were stained with a Alexa Fluor®488 conjugate-Goat anti-Rabbit IgG Secondary antibody at 1/1,000 dilution for 30 minutes at +4℃ (dark incubation).Unlabelled sample was used as a control (cells without incubation with primary antibody; black).
Pic img8 :
https://storage.huabio.cn/huabio/productImg/HA720064_8.jpg
Pic legend8 :
Immunocytochemistry analysis of HeLa cells labeling CHM with Rabbit anti-CHM antibody (HA720064) at 1/50 dilution.
Cells were fixed in 4% paraformaldehyde for 10 minutes at 37 ℃, permeabilized with 0.05% Triton X-100 in PBS for 20 minutes, and then blocked with 2% negative goat serum for 30 minutes at room temperature. Cells were then incubated with Rabbit anti-CHM antibody (HA720064) at 1/50 dilution in 2% negative goat serum overnight at 4 ℃. Goat Anti-Rabbit IgG H&L (Alexa Fluor® 488) was used as the secondary antibody at 1/1,000 dilution. Nuclear DNA was labelled in blue with DAPI.
Beta tubulin (M1305-2, red) was stained at 1/200 dilution overnight at +4℃. Goat Anti-Mouse IgG H&L (Alexa Fluor® 647) were used as the secondary antibody at 1/1,000 dilution.
more info or order :
company information

HUABIO
Founded in 2007, HUABIO is dedicated to developing high-quality antibodies that advance innovation. We are passionate about the accuracy, efficiency, and consistency of our products. That is why we have invested in new production platforms, like recombinant rabbit monoclonals, alpaca nanobodies, and adopted aggressive QA standards to deliver cutting-edge antibodies with uncompromised quality.
We hope to see you at your next discovery!
We hope to see you at your next discovery!
browse more products
questions and comments
