product summary
Loading...
company name :
HUABIO
product type :
antibody
product name :
p40-phox
catalog :
HA720040
quantity :
100μl
price :
385.00 USD
clonality :
monoclonal
host :
domestic rabbit
conjugate :
nonconjugated
clone name :
JE58-57
reactivity :
human, mouse, rat
application :
western blot, immunohistochemistry - paraffin section
more info or order :
image
image 1 :

Western blot analysis of p40-phox on different lysates with Rabbit anti-p40-phox antibody (HA720040) at 1/5,000 dilution.
Lane 1: RAW264.7 cell lysate (20 µg/Lane)
Lane 2: Mouse spleen tissue lysate (40 µg/Lane)
Lane 3: Rat spleen tissue lysate (40 µg/Lane)
Lane 4: Rat lung tissue lysate (40 µg/Lane)
Predicted band size: 39 kDa
Observed band size: 39 kDa
Exposure time: 59 seconds; ECL: K1801;
4-20% SDS-PAGE gel.
Proteins were transferred to a PVDF membrane and blocked with 5% NFDM/TBST for 1 hour at room temperature. The primary antibody (HA720040) at 1/5,000 dilution was used in primary antibody dilution (K1803) at 4℃ overnight. Goat Anti-Rabbit IgG - HRP Secondary Antibody (HA1001) at 1/50,000 dilution was used for 1 hour at room temperature.
image 2 :

Western blot analysis of p40-phox on different lysates. Proteins were transferred to a PVDF membrane and blocked with 5% BSA in PBS for 1 hour at room temperature. The primary antibody (HA720040, 1/500) was used in 5% BSA at room temperature for 2 hours. Goat Anti-Rabbit IgG - HRP Secondary Antibody (HA1001) at 1:200,000 dilution was used for 1 hour at room temperature.
Positive control:
Lane 1: Daudi cell lysate
Lane 2: THP-1 cell lysate
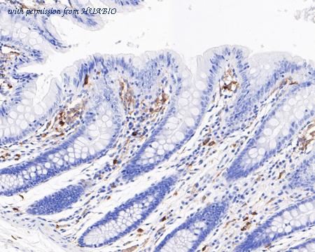
image 3 :

Immunohistochemical analysis of paraffin-embedded human colon tissue using anti-p40-phox antibody. The section was pre-treated using heat mediated antigen retrieval with Tris-EDTA buffer (pH 8.0-8.4) for 20 minutes.The tissues were blocked in 5% BSA for 30 minutes at room temperature, washed with ddH2O and PBS, and then probed with the primary antibody (HA720040, 1/200) for 30 minutes at room temperature. The detection was performed using an HRP conjugated compact polymer system. DAB was used as the chromogen. Tissues were counterstained with hematoxylin and mounted with DPX.
product information
SKU :
HA720040
Target name :
p40-phox
Species reactivity :
Human,Mouse,Rat
Applications :
WB,IHC-P
Conjugate :
Non-conjugated
Immunogen :
Synthetic peptide within human p40-phox aa 290-339/339.
Uniprot id :
Q15080>SwissProt: Q15080 Human;SwissProt: P97369 Mouse;Entrez Gene: 500904 Rat
Host :
Rabbit
Clone number :
JE58-57
Isotype :
IgG
Size :
100μl
List Price :
385.00 USD
Storage Buffer :
1*TBS (pH7.4), 0.05% BSA, 40% Glycerol. Preservative: 0.05% Sodium Azide.
Form :
Liquid
Storage Instruction :
Shipped at 4℃. Store at +4℃ short term (1-2 weeks). It is recommended to aliquot into single-use upon delivery. Store at -20℃ long term.
Purity :
Protein A affinity purified.
Product type :
Recombinant Rabbit monoclonal Antibody
Positive control :
RAW264.7 cell lysate, mouse spleen tissue lysate, rat spleen tissue lysate, rat lung tissue lysate, Daudi cell lysate, THP-1 cell lysate, human colon tissue, human spleen tissue, human lung tissue.
Molecular wt :
Predicted band size: 39 kDa
Subcellular location :
Cytoplasm, cytosol, Endosome membrane, Membrane.
Concentration :
1 mg/mL.
Recommended dilutions :
WB: 1:500-1:5,000
;IHC-P: 1:1,000
Pic img4 :
https://storage.huabio.cn/huabio/productImg/HA720040_4.jpg
Pic legend4 :
Immunohistochemical analysis of paraffin-embedded human spleen tissue using anti-p40-phox antibody. The section was pre-treated using heat mediated antigen retrieval with Tris-EDTA buffer (pH 8.0-8.4) for 20 minutes.The tissues were blocked in 5% BSA for 30 minutes at room temperature, washed with ddH2O and PBS, and then probed with the primary antibody (HA720040, 1/200) for 30 minutes at room temperature. The detection was performed using an HRP conjugated compact polymer system. DAB was used as the chromogen. Tissues were counterstained with hematoxylin and mounted with DPX.
Pic img5 :
https://storage.huabio.cn/huabio/productImg/HA720040_5.jpg
Pic legend5 :
Immunohistochemical analysis of paraffin-embedded human lung tissue with Rabbit anti-p40-phox antibody (HA720040) at 1/1,000 dilution.
The section was pre-treated using heat mediated antigen retrieval with Tris-EDTA buffer (pH 9.0) for 20 minutes. The tissues were blocked in 1% BSA for 20 minutes at room temperature, washed with ddH2O and PBS, and then probed with the primary antibody (HA720040) at 1/1,000 dilution for 1 hour at room temperature. The detection was performed using an HRP conjugated compact polymer system. DAB was used as the chromogen. Tissues were counterstained with hematoxylin and mounted with DPX.
more info or order :
company information

HUABIO
Founded in 2007, HUABIO is dedicated to developing high-quality antibodies that advance innovation. We are passionate about the accuracy, efficiency, and consistency of our products. That is why we have invested in new production platforms, like recombinant rabbit monoclonals, alpaca nanobodies, and adopted aggressive QA standards to deliver cutting-edge antibodies with uncompromised quality.
We hope to see you at your next discovery!
We hope to see you at your next discovery!
browse more products
questions and comments
