product summary
Loading...
company name :
HUABIO
product type :
antibody
product name :
Human Kappa light chain
catalog :
HA720014
quantity :
100μl
price :
385.00 USD
clonality :
monoclonal
host :
domestic rabbit
conjugate :
nonconjugated
clone name :
JE56-54
application :
western blot, immunohistochemistry - paraffin section
more info or order :
image
image 1 :

Western blot analysis of Human Kappa light chain on human plasma lysates with Rabbit anti-Human Kappa light chain antibody (HA720014) at 1/1,000 dilution.
Lysates/proteins at 30 µg/Lane.
Predicted band size: 12/13 kDa
Observed band size: 25 kDa
Exposure time: 5 seconds;
4-20% SDS-PAGE gel.
Proteins were transferred to a PVDF membrane and blocked with 5% NFDM/TBST for 1 hour at room temperature. The primary antibody (HA720014) at 1/1,000 dilution was used in 5% NFDM/TBST at 4℃ overnight. Goat Anti-Rabbit IgG - HRP Secondary Antibody (HA1001) at 1/50,000 dilution was used for 1 hour at room temperature.
image 2 :

Western blot analysis of Human Kappa light chain on different lysates. Proteins were transferred to a PVDF membrane and blocked with 5% BSA in PBS for 1 hour at room temperature. The primary antibody (HA720014, 1/500) was used in 5% BSA at room temperature for 2 hours. Goat Anti-Rabbit IgG - HRP Secondary Antibody (HA1001) at 1:5,000 dilution was used for 1 hour at room temperature.
Positive control:
Lane 1: Human spleen tissue lysate
Lane 2: Human thymus tissue lysate
Lane 3: Human plasma tissue lysate
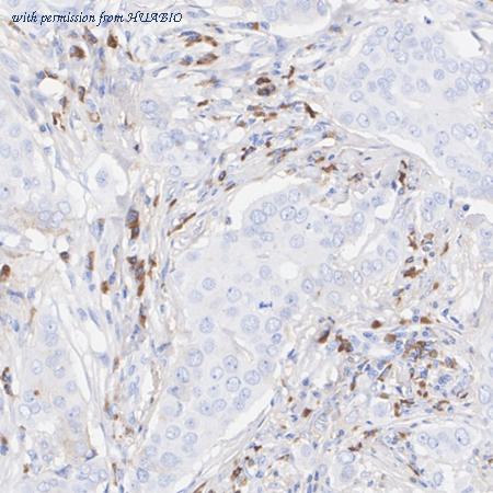
image 3 :

Immunohistochemical analysis of paraffin-embedded human breast carcinoma tissue with Rabbit anti-Human Kappa light chain antibody (HA720014) at 1/500 dilution.
The section was pre-treated using heat mediated antigen retrieval with Tris-EDTA buffer (pH 9.0) for 20 minutes. The tissues were blocked in 1% BSA for 20 minutes at room temperature, washed with ddH2O and PBS, and then probed with the primary antibody (HA720014) at 1/500 dilution for 1 hour at room temperature. The detection was performed using an HRP conjugated compact polymer system. DAB was used as the chromogen. Tissues were counterstained with hematoxylin and mounted with DPX.
product information
SKU :
HA720014
Target name :
Human Kappa light chain
Species reactivity :
Human
Applications :
WB,IHC-P
Conjugate :
Non-conjugated
Immunogen :
Full length native human IgG.
Uniprot id :
P01601>SwissProt: P01601 Human;SwissProt: P01834 Human
Host :
Rabbit
Clone number :
JE56-54
Isotype :
IgG
Size :
100μl
List Price :
385.00 USD
Storage Buffer :
1*TBS (pH7.4), 0.05% BSA, 40% Glycerol. Preservative: 0.05% Sodium Azide.
Form :
Liquid
Storage Instruction :
Shipped at 4℃. Store at +4℃ short term (1-2 weeks). It is recommended to aliquot into single-use upon delivery. Store at -20℃ long term.
Purity :
Protein A affinity purified.
Product type :
Recombinant Rabbit monoclonal Antibody
Positive control :
Human plasma lysates, human spleen tissue lysate, human thymus tissue lysate, human plasma tissue lysate, human tonsil tissue, human breast carcinoma tissue.
Molecular wt :
Predicted band size: 12/13 kDa
Subcellular location :
Cell membrane, Secreted.
Concentration :
1 mg/mL.
Recommended dilutions :
WB: 1:500-1:2,000
;IHC-P: 1:50-1:200
Pic img4 :
https://storage.huabio.cn/huabio/productImg/HA720014_4.jpg
Pic legend4 :
Immunohistochemical analysis of paraffin-embedded human tonsil tissue with Rabbit anti-Human Kappa light chain antibody (HA720014) at 1/500 dilution.
The section was pre-treated using heat mediated antigen retrieval with Tris-EDTA buffer (pH 9.0) for 20 minutes. The tissues were blocked in 1% BSA for 20 minutes at room temperature, washed with ddH2O and PBS, and then probed with the primary antibody (HA720014) at 1/500 dilution for 1 hour at room temperature. The detection was performed using an HRP conjugated compact polymer system. DAB was used as the chromogen. Tissues were counterstained with hematoxylin and mounted with DPX.
more info or order :
company information

HUABIO
Founded in 2007, HUABIO is dedicated to developing high-quality antibodies that advance innovation. We are passionate about the accuracy, efficiency, and consistency of our products. That is why we have invested in new production platforms, like recombinant rabbit monoclonals, alpaca nanobodies, and adopted aggressive QA standards to deliver cutting-edge antibodies with uncompromised quality.
We hope to see you at your next discovery!
We hope to see you at your next discovery!
browse more products
questions and comments
