product summary
Loading...
company name :
HUABIO
product type :
antibody
product name :
Erlin-2
catalog :
HA720009
quantity :
100μl
price :
385.00 USD
clonality :
monoclonal
host :
domestic rabbit
conjugate :
nonconjugated
clone name :
JE57-03
reactivity :
human, mouse
application :
western blot, immunohistochemistry - paraffin section
more info or order :
image
image 1 :

Western blot analysis of Erlin-2 on different lysates with Rabbit anti-Erlin-2 antibody (HA720009) at 1/1,000 dilution.
Lane 1: HepG2 cell lysate (20 µg/Lane)
Lane 2: C2C12 cell lysate (20 µg/Lane)
Lane 3: Mouse kidney tissue lysate (40 µg/Lane)
Predicted band size: 38 kDa
Observed band size: 45 kDa
Exposure time: 3 minutes; ECL: K1801;
4-20% SDS-PAGE gel.
Proteins were transferred to a PVDF membrane and blocked with 5% NFDM/TBST for 1 hour at room temperature. The primary antibody (HA720009) at 1/1,000 dilution was used in 5% NFDM/TBST at 4℃ overnight. Goat Anti-Rabbit IgG - HRP Secondary Antibody (HA1001) at 1/50,000 dilution was used for 1 hour at room temperature.
image 2 :

Western blot analysis of Erlin-2 on different lysates with Rabbit anti-Erlin-2 antibody (HA720009) at 1/1,000 dilution.
Lane 1: A549-WT cell lysate
Lane 2: A549-KD Erlin-2 cell lysate
Lysates/proteins at 10 µg/Lane.
Predicted band size: 38 kDa
Observed band size: 40 kDa
Exposure time: 3 minutes; ECL: K1801;
4-20% SDS-PAGE gel.
Proteins were transferred to a PVDF membrane and blocked with 5% NFDM/TBST for 1 hour at room temperature. The primary antibody (HA720009) at 1/1,000 dilution was used in 2% NFDM/TBST at 4℃ overnight. Goat Anti-Rabbit IgG - HRP Secondary Antibody (HA1001) at 1/50,000 dilution was used for 1 hour at room temperature.
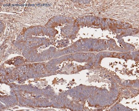
image 3 :

Immunohistochemical analysis of paraffin-embedded human colon carcinoma tissue using anti-Erlin-2 antibody. The section was pre-treated using heat mediated antigen retrieval with Tris-EDTA buffer (pH 8.0-8.4) for 20 minutes.The tissues were blocked in 5% BSA for 30 minutes at room temperature, washed with ddH2O and PBS, and then probed with the primary antibody (HA720009, 1/50) for 30 minutes at room temperature. The detection was performed using an HRP conjugated compact polymer system. DAB was used as the chromogen. Tissues were counterstained with hematoxylin and mounted with DPX.
product information
SKU :
HA720009
Target name :
Erlin-2
Species reactivity :
Human,Mouse
Applications :
WB,IHC-P
Conjugate :
Non-conjugated
Immunogen :
Recombinant protein within human Erlin-2 aa 50-200 (Lumenal).
Uniprot id :
O94905>SwissProt: O94905 Human;SwissProt: Q8BFZ9 Mouse
Host :
Rabbit
Clone number :
JE57-03
Isotype :
IgG
Size :
100μl
List Price :
385.00 USD
Storage Buffer :
1*TBS (pH7.4), 0.05% BSA, 40% Glycerol. Preservative: 0.05% Sodium Azide.
Form :
Liquid
Storage Instruction :
Shipped at 4℃. Store at +4℃ short term (1-2 weeks). It is recommended to aliquot into single-use upon delivery. Store at -20℃ long term.
Purity :
Protein A affinity purified.
Product type :
Recombinant Rabbit monoclonal Antibody
Positive control :
HepG2 cell lysate, C2C12 cell lysate, mouse kidney tissue lysate, A549 cell lysate, human colon carcinoma tissue, human placenta tissue, mouse brain tissue, mouse kidney tissue.
Molecular wt :
Predicted band size: 38 kDa
Subcellular location :
Endoplasmic reticulum membrane.
Concentration :
1 mg/mL.
Recommended dilutions :
WB: 1:500-1:1,000
;IHC-P: 1:50-1:200
Advanced Validation :
Knockdown (KD)
Pic img4 :
https://storage.huabio.cn/huabio/productImg/HA720009_4.jpg
Pic legend4 :
Immunohistochemical analysis of paraffin-embedded human placenta tissue using anti-Erlin-2 antibody. The section was pre-treated using heat mediated antigen retrieval with Tris-EDTA buffer (pH 8.0-8.4) for 20 minutes.The tissues were blocked in 5% BSA for 30 minutes at room temperature, washed with ddH2O and PBS, and then probed with the primary antibody (HA720009, 1/200) for 30 minutes at room temperature. The detection was performed using an HRP conjugated compact polymer system. DAB was used as the chromogen. Tissues were counterstained with hematoxylin and mounted with DPX.
Pic img5 :
https://storage.huabio.cn/huabio/productImg/HA720009_5.jpg
Pic legend5 :
Immunohistochemical analysis of paraffin-embedded mouse brain tissue using anti-Erlin-2 antibody. The section was pre-treated using heat mediated antigen retrieval with Tris-EDTA buffer (pH 8.0-8.4) for 20 minutes.The tissues were blocked in 5% BSA for 30 minutes at room temperature, washed with ddH2O and PBS, and then probed with the primary antibody (HA720009, 1/50) for 30 minutes at room temperature. The detection was performed using an HRP conjugated compact polymer system. DAB was used as the chromogen. Tissues were counterstained with hematoxylin and mounted with DPX.
Pic img6 :
https://storage.huabio.cn/huabio/productImg/HA720009_6.jpg
Pic legend6 :
Immunohistochemical analysis of paraffin-embedded mouse kidney tissue using anti-Erlin-2 antibody. The section was pre-treated using heat mediated antigen retrieval with Tris-EDTA buffer (pH 8.0-8.4) for 20 minutes.The tissues were blocked in 5% BSA for 30 minutes at room temperature, washed with ddH2O and PBS, and then probed with the primary antibody (HA720009, 1/50) for 30 minutes at room temperature. The detection was performed using an HRP conjugated compact polymer system. DAB was used as the chromogen. Tissues were counterstained with hematoxylin and mounted with DPX.
more info or order :
company information

HUABIO
Founded in 2007, HUABIO is dedicated to developing high-quality antibodies that advance innovation. We are passionate about the accuracy, efficiency, and consistency of our products. That is why we have invested in new production platforms, like recombinant rabbit monoclonals, alpaca nanobodies, and adopted aggressive QA standards to deliver cutting-edge antibodies with uncompromised quality.
We hope to see you at your next discovery!
We hope to see you at your next discovery!
browse more products
questions and comments
