product summary
Loading...
company name :
HUABIO
product type :
antibody
product name :
alpha smooth muscle Actin
catalog :
HA610362
quantity :
100μl
price :
385.00 USD
clonality :
polyclonal
host :
domestic rabbit
conjugate :
nonconjugated
clone name :
SY02-64
reactivity :
human, mouse, rat
application :
western blot, flow cytometry, immunohistochemistry - paraffin section
more info or order :
image
image 1 :

Western blot analysis of alpha smooth muscle Actin on different lysates with Mouse anti-alpha smooth muscle Actin antibody (HA610362) at 1/5,000 dilution.
Lane 1: Saos-2 cell lysate
Lane 2: A431 cell lysate
Lane 3: NIH/3T3 cell lysate
Lane 4: C2C12 cell lysate
Lane 5: PC-12 cell lysate
Lane 6: Mouse skin tissue lysate
Lane 7: Rat skin tissue lysate
Lysates/proteins at 20 µg/Lane.
Predicted band size: 42 kDa
Observed band size: 42 kDa
Exposure time: 9 seconds; ECL: K1801;
4-20% SDS-PAGE gel.
Proteins were transferred to a PVDF membrane and blocked with 5% NFDM/TBST for 1 hour at room temperature. The primary antibody (HA610362) at 1/5,000 dilution was used in primary antibody dilution (K1803) at 4℃ overnight. Goat Anti-Mouse IgG - HRP Secondary Antibody (HA1006) at 1/50,000 dilution was used for 1 hour at room temperature.
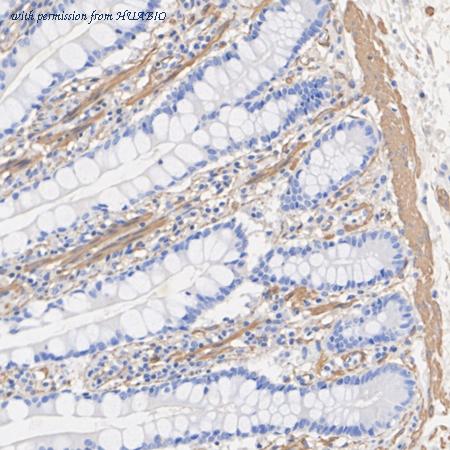
image 2 :

Immunohistochemical analysis of paraffin-embedded human small intestine tissue with Mouse anti-alpha smooth muscle Actin antibody (HA610362) at 1/80,000 dilution.
The section was pre-treated using heat mediated antigen retrieval with Tris-EDTA buffer (pH 9.0) for 20 minutes. The tissues were blocked in 1% BSA for 20 minutes at room temperature, washed with ddH2O and PBS, and then probed with the primary antibody (HA610362) at 1/80,000 dilution for 1 hour at room temperature. The detection was performed using an HRP conjugated compact polymer system. DAB was used as the chromogen. Tissues were counterstained with hematoxylin and mounted with DPX.
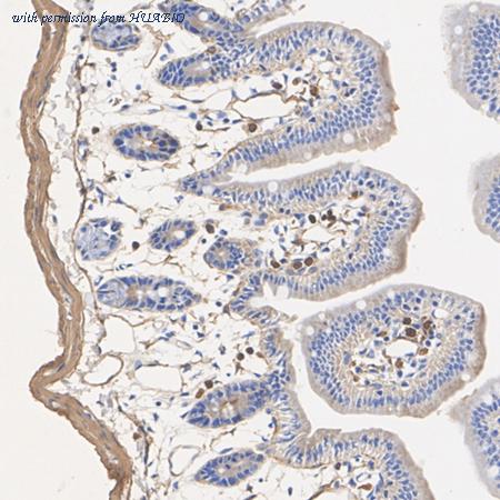
image 3 :

Immunohistochemical analysis of paraffin-embedded mouse small intestine tissue with Mouse anti-alpha smooth muscle Actin antibody (HA610362) at 1/80,000 dilution.
The section was pre-treated using heat mediated antigen retrieval with Tris-EDTA buffer (pH 9.0) for 20 minutes. The tissues were blocked in 1% BSA for 20 minutes at room temperature, washed with ddH2O and PBS, and then probed with the primary antibody (HA610362) at 1/80,000 dilution for 1 hour at room temperature. The detection was performed using an HRP conjugated compact polymer system. DAB was used as the chromogen. Tissues were counterstained with hematoxylin and mounted with DPX.
product information
SKU :
HA610362
Target name :
alpha smooth muscle Actin
Species reactivity :
Human,Mouse,Rat
Applications :
WB,IHC-P,IF-Cell,FC
Conjugate :
Non-conjugated
Immunogen :
Synthetic peptide within N-terminal human alpha smooth muscle Actin.
Uniprot id :
P62736>SwissProt: P62736 Human;SwissProt: P62737 Mouse;SwissProt: P62738 Rat
Host :
rabbit
Clone number :
SY02-64
Size :
100μl
List Price :
385.00 USD
Storage Buffer :
PBS (pH7.4).
Form :
Liquid
Storage Instruction :
Store at +4℃ after thawing. Aliquot store at -20℃. Avoid repeated freeze / thaw cycles.
Purity :
Protein A affinity purified.
Product type :
Recombinant Chimeric Antibody Antibody
Positive control :
Saos-2 cell lysate, A431 cell lysate, NIH/3T3 cell lysate, C2C12 cell lysate, PC-12 cell lysate, Mouse skin tissue lysate, Rat skin tissue lysate, human small intestine tissue, mouse small intestine tissue, rat small intestine tissue, NIH/3T3, Saos-2.
Molecular wt :
Predicted band size: 42 kDa
Subcellular location :
Cytoplasm
Concentration :
1 mg/mL.
Recommended dilutions :
WB: 1:5,000
;IHC-P: 1:80,000
;IF-Cell: 1:2,000
;FC: 1:1,000
Pic img4 :
https://storage.huabio.cn/huabio/productImg/HA610362_4.jpg
Pic legend4 :
Immunohistochemical analysis of paraffin-embedded rat small intestine tissue with Mouse anti-alpha smooth muscle Actin antibody (HA610362) at 1/80,000 dilution.
The section was pre-treated using heat mediated antigen retrieval with Tris-EDTA buffer (pH 9.0) for 20 minutes. The tissues were blocked in 1% BSA for 20 minutes at room temperature, washed with ddH2O and PBS, and then probed with the primary antibody (HA610362) at 1/80,000 dilution for 1 hour at room temperature. The detection was performed using an HRP conjugated compact polymer system. DAB was used as the chromogen. Tissues were counterstained with hematoxylin and mounted with DPX.
Pic img5 :
https://storage.huabio.cn/huabio/productImg/HA610362_5.jpg
Pic legend5 :
Immunocytochemistry analysis of NIH/3T3 cells labeling alpha smooth muscle Actin with Mouse anti-alpha smooth muscle Actin antibody (HA610362) at 1/2,000 dilution.
Cells were fixed in 4% paraformaldehyde for 15 minutes at room temperature, permeabilized with 0.1% Triton X-100 in PBS for 15 minutes at room temperature, then blocked with 1% BSA in 10% negative goat serum for 1 hour at room temperature. Cells were then incubated with Mouse anti-alpha smooth muscle Actin antibody (HA610362) at 1/2,000 dilution in 1% BSA in PBST overnight at 4 ℃. Goat Anti-Mouse IgG H&L (iFluor™ 488, HA1125) was used as the secondary antibody at 1/1,000 dilution. PBS instead of the primary antibody was used as the secondary antibody only control. Nuclear DNA was labelled in blue with DAPI.
beta Tubulin (ET1602-4, red) was stained at 1/100 dilution overnight at +4℃. Goat Anti-Rabbit IgG H&L (iFluor™ 594, HA1122) were used as the secondary antibody at 1/1,000 dilution.
Pic img6 :
https://storage.huabio.cn/huabio/productImg/HA610362_6.jpg
Pic legend6 :
Flow cytometric analysis of Saos-2 cells labeling alpha smooth muscle Actin.
Cells were fixed and permeabilized. Then stained with the primary antibody (HA610362, 1/1,000) (red) compared with Mouse IgG Isotype Control (green). After incubation of the primary antibody at +4℃ for an hour, the cells were stained with a iFluor™ 488 conjugate-Goat anti-Mouse IgG Secondary antibody (HA1125) at 1/1,000 dilution for 30 minutes at +4℃. Unlabelled sample was used as a control (cells without incubation with primary antibody; black).
Pic img7 :
https://storage.huabio.cn/huabio/productImg/HA610362_7.jpg
Pic legend7 :
Flow cytometric analysis of NIH/3T3 cells labeling alpha smooth muscle Actin.
Cells were fixed and permeabilized. Then stained with the primary antibody (HA610362, 1/1,000) (red) compared with Mouse IgG Isotype Control (green). After incubation of the primary antibody at +4℃ for an hour, the cells were stained with a iFluor™ 488 conjugate-Goat anti-Mouse IgG Secondary antibody (HA1125) at 1/1,000 dilution for 30 minutes at +4℃. Unlabelled sample was used as a control (cells without incubation with primary antibody; black).
more info or order :
company information

HUABIO
Founded in 2007, HUABIO is dedicated to developing high-quality antibodies that advance innovation. We are passionate about the accuracy, efficiency, and consistency of our products. That is why we have invested in new production platforms, like recombinant rabbit monoclonals, alpaca nanobodies, and adopted aggressive QA standards to deliver cutting-edge antibodies with uncompromised quality.
We hope to see you at your next discovery!
We hope to see you at your next discovery!
browse more products
questions and comments
