product summary
Loading...
company name :
HUABIO
product type :
antibody
product name :
SIRT2
catalog :
HA610335
quantity :
100μl
price :
385.00 USD
clonality :
polyclonal
host :
domestic rabbit
conjugate :
nonconjugated
clone name :
SN70-04
reactivity :
mouse, rat
application :
western blot, immunohistochemistry - paraffin section, immunohistochemistry - frozen section
more info or order :
image
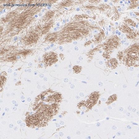
image 1 :

Application: IHC-Fr
Species: Mouse
Site: brain (striatum)
Sample: Frozen section
Antibody concentration: 1/500
Antigen retrieval: Not required
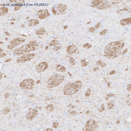
image 2 :

Immunohistochemical analysis of paraffin-embedded mouse brain (striatum) tissue with Mouse anti-SIRT2 antibody (HA610335) at 1/4,000 dilution.
The section was pre-treated using heat mediated antigen retrieval with Tris-EDTA buffer (pH 9.0) for 20 minutes. The tissues were blocked in 1% BSA for 20 minutes at room temperature, washed with ddH2O and PBS, and then probed with the primary antibody (HA610335) at 1/4,000 dilution for 1 hour at room temperature. The detection was performed using an HRP conjugated compact polymer system. DAB was used as the chromogen. Tissues were counterstained with hematoxylin and mounted with DPX.
image 3 :

Immunohistochemical analysis of paraffin-embedded rat brain (striatum) tissue with Mouse anti-SIRT2 antibody (HA610335) at 1/4,000 dilution.
The section was pre-treated using heat mediated antigen retrieval with Tris-EDTA buffer (pH 9.0) for 20 minutes. The tissues were blocked in 1% BSA for 20 minutes at room temperature, washed with ddH2O and PBS, and then probed with the primary antibody (HA610335) at 1/4,000 dilution for 1 hour at room temperature. The detection was performed using an HRP conjugated compact polymer system. DAB was used as the chromogen. Tissues were counterstained with hematoxylin and mounted with DPX.
product information
SKU :
HA610335
Target name :
SIRT2
Species reactivity :
Mouse,Rat
Applications :
IHC-Fr,IHC-P,WB
Conjugate :
Non-conjugated
Immunogen :
Synthetic peptide within Human SIRT2 aa 335-389 / 389.
Uniprot id :
Q8VDQ8>SwissProt: Q8VDQ8 Mouse;SwissProt: Q5RJQ4 Rat
Host :
rabbit
Clone number :
SN70-04
Size :
100μl
List Price :
385.00 USD
Storage Buffer :
PBS (pH7.4).
Form :
Liquid
Storage Instruction :
Store at +4℃ after thawing. Aliquot store at -20℃. Avoid repeated freeze / thaw cycles.
Purity :
Protein A affinity purified.
Product type :
Recombinant Chimeric Antibody Antibody
Positive control :
Mouse brain (striatum) tissue, rat brain (striatum) tissue.
Molecular wt :
Predicted band size: 43 kDa
Subcellular location :
Nucleus, Cytoplasm, Midbody, Chromosome, Cell projection, Myelin membrane.
Concentration :
1 mg/mL.
Recommended dilutions :
IHC-Fr: 1:500
;IHC-P: 1:4,000
;WB: 1:10,000
more info or order :
company information

HUABIO
Founded in 2007, HUABIO is dedicated to developing high-quality antibodies that advance innovation. We are passionate about the accuracy, efficiency, and consistency of our products. That is why we have invested in new production platforms, like recombinant rabbit monoclonals, alpaca nanobodies, and adopted aggressive QA standards to deliver cutting-edge antibodies with uncompromised quality.
We hope to see you at your next discovery!
We hope to see you at your next discovery!
related products
browse more products
questions and comments
