product summary
Loading...
company name :
HUABIO
product type :
antibody
product name :
VAChT / SLC18A3
catalog :
HA610311
quantity :
100μg
price :
649.00 USD
clonality :
polyclonal
host :
domestic rabbit
conjugate :
nonconjugated
clone name :
PSH10-50
reactivity :
mouse, rat
application :
immunohistochemistry - paraffin section, immunohistochemistry - frozen section
more info or order :
image
image 1 :

Application: IHC-Fr
Species: Mouse
Site: brain (striatum)
Sample: Frozen section
Antibody concentration: 1/200
Antigen retrieval: Not required
image 2 :

Immunohistochemical analysis of paraffin-embedded mouse brain (striatum) tissue with Mouse anti-VAChT / SLC18A3 antibody (HA610311) at 1/500 dilution.
The section was pre-treated using heat mediated antigen retrieval with Tris-EDTA buffer (pH 9.0) for 20 minutes. The tissues were blocked in 1% BSA for 20 minutes at room temperature, washed with ddH2O and PBS, and then probed with the primary antibody (HA610311) at 1/500 dilution for 1 hour at room temperature. The detection was performed using an HRP conjugated compact polymer system. DAB was used as the chromogen. Tissues were counterstained with hematoxylin and mounted with DPX.
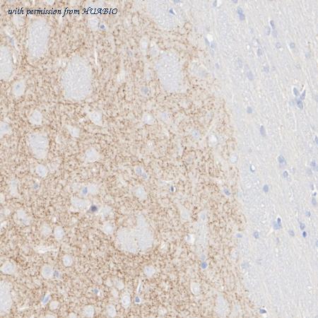
image 3 :

Immunohistochemical analysis of paraffin-embedded rat brain (striatum) tissue with Mouse anti-VAChT / SLC18A3 antibody (HA610311) at 1/500 dilution.
The section was pre-treated using heat mediated antigen retrieval with Tris-EDTA buffer (pH 9.0) for 20 minutes. The tissues were blocked in 1% BSA for 20 minutes at room temperature, washed with ddH2O and PBS, and then probed with the primary antibody (HA610311) at 1/500 dilution for 1 hour at room temperature. The detection was performed using an HRP conjugated compact polymer system. DAB was used as the chromogen. Tissues were counterstained with hematoxylin and mounted with DPX.
product information
SKU :
HA610311
Target name :
VAChT / SLC18A3
Species reactivity :
Mouse,Rat
Applications :
IHC-Fr,IHC-P
Conjugate :
Non-conjugated
Uniprot id :
O35304>SwissProt: O35304 Mouse;SwissProt: Q62666 Rat
Host :
rabbit
Clone number :
PSH10-50
Size :
100μg
List Price :
649.00 USD
Storage Buffer :
PBS (pH7.4).
Form :
Liquid
Storage Instruction :
Store at +4℃ after thawing. Aliquot store at -20℃. Avoid repeated freeze / thaw cycles.
Purity :
Protein A affinity purified.
Product type :
Recombinant Chimeric Antibody Antibody
Positive control :
Mouse brain (striatum) tissue, rat brain (striatum) tissue.
Molecular wt :
Predicted band size: 57 kDa
Subcellular location :
Cytoplasmic vesicle, secretory vesicle, synaptic vesicle membrane.
Concentration :
1 mg/mL.
Recommended dilutions :
IHC-Fr: 1:200
;IHC-P: 1:500
more info or order :
company information

HUABIO
Founded in 2007, HUABIO is dedicated to developing high-quality antibodies that advance innovation. We are passionate about the accuracy, efficiency, and consistency of our products. That is why we have invested in new production platforms, like recombinant rabbit monoclonals, alpaca nanobodies, and adopted aggressive QA standards to deliver cutting-edge antibodies with uncompromised quality.
We hope to see you at your next discovery!
We hope to see you at your next discovery!
related products
browse more products
questions and comments
