product summary
Loading...
company name :
HUABIO
product type :
antibody
product name :
5-methylcytosine (5-mC)
catalog :
HA610208
quantity :
100μg
price :
649.00 USD
clonality :
monoclonal
host :
mouse
conjugate :
nonconjugated
clone name :
PSH06-07
application :
western blot, ELISA, immunohistochemistry - paraffin section
more info or order :
image
image 1 :

Western blot analysis of 5-methylcytosine (5-mC) on different conjugations with Mouse anti-5-methylcytosine (5-mC) antibody (HA610208) at 1/1,000 dilution.
Lane 1: Uridine-BSA (negative)
Lane 2: Cytidine-BSA (negative)
Lane 3: 5-Methylcytosine-BSA (positive)
Lane 4: 3-Methylcytosine-BSA (negative)
Lane 5: 5-Hydroxymethylcytidine-BSA (negative)
Lysates/proteins at 2 μg/Lane.
Predicted band size: 66 kDa
Observed band size: 66 kDa
Exposure time: 14 seconds; ECL: K1801;
4-20% SDS-PAGE gel.
Proteins were transferred to a PVDF membrane and blocked with 5% NFDM/TBST for 1 hour at room temperature. The primary antibody (HA610208) at 1/1,000 dilution was used in 5% NFDM/TBST at room temperature for 2 hours. Goat Anti-Mouse IgG - HRP Secondary Antibody (HA1006) at 1/50,000 dilution was used for 1 hour at room temperature.
image 2 :

Competitive ELISA analysis of 5-mc was performed by coating wells of a 96-well plate with 50 µl per well of 5-mc-BSA diluted in carbonate/bicarbonate buffer, at a concentration of 1 µg/mL overnight at 4℃. Wells of the plate were washed, blocked with 1%BSA blocking buffer, and incubated with 100 µl per well of 5-mc monoclonal antibody at concentration of 1 µg/mL with serial diluted 5-mc and its analogs starting from a concentration of 10,000ng/mL to 0.61ng/mL for 1 hours at room temperature. The plate was washed and incubated with 50 µl per well of an HRP-conjugated goat anti-mouse IgG secondary antibody at a dilution of 1/35,000 for one hour at room temperature. Detection was performed using an Ultra TMB Substrate for 10 minutes at room temperature in the dark. The reaction was stopped with sulfuric acid and absorbances were read on a spectrophotometer at 450 nm.
This antibody demonstrates high specificity for 5-mc and little or no crossreactivity to it analogs.
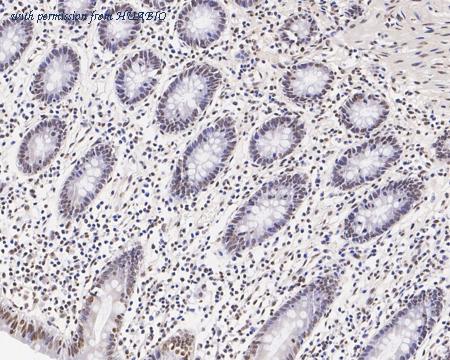
image 3 :

Immunohistochemical analysis of paraffin-embedded human colon tissue with Mouse anti-5-methylcytosine (5-mC) antibody (HA610208) at 1/200 dilution.
The section was denatured in 2M HCl for 15 minutes at room temperature, then neutralized in 0.1M Tris-HCl (pH 8.3) for 10 minutes. The tissues were blocked in 1% BSA for 20 minutes at room temperature, washed with ddH2O and PBS, and then probed with the primary antibody (HA610208) at 1/200 dilution for 1 hour at room temperature. The detection was performed using an HRP conjugated compact polymer system. DAB was used as the chromogen. Tissues were counterstained with hematoxylin and mounted with DPX.
product information
SKU :
HA610208
Target name :
5-methylcytosine (5-mC)
Species reactivity :
Species independent
Applications :
WB,IHC-P,ELISA,MeDIP
Conjugate :
Non-conjugated
Immunogen :
Recombinant protein fused with 5-methylcytosine.
Uniprot id :
>
Host :
Mouse
Clone number :
PSH06-07
Isotype :
IgG1
Size :
100μg
List Price :
649.00 USD
Storage Buffer :
PBS (pH7.4).
Form :
Liquid
Storage Instruction :
Store at +4℃ after thawing. Aliquot store at -20℃. Avoid repeated freeze / thaw cycles.
Purity :
Protein A affinity purified.
Product type :
Recombinant Mouse monoclonal Antibody
Positive control :
Human colon tissue, human colon cancer tissue.
Concentration :
1 mg/mL.
Recommended dilutions :
WB: 1:1,000
;IHC-P: 1:200
;MeDIP: Use 5 μg for 3 μg of chromatin.
Advanced Validation :
Relative expression (RE)
Pic img4 :
https://storage.huabio.cn/huabio/productImg/HA610208_4.jpg
Pic legend4 :
Immunohistochemical analysis of paraffin-embedded human colon cancer tissue with Mouse anti-5-methylcytosine (5-mC) antibody (HA610208) at 1/200 dilution.
The section was denatured in 2M HCl for 15 minutes at room temperature, then neutralized in 0.1M Tris-HCl (pH 8.3) for 10 minutes. The tissues were blocked in 1% BSA for 20 minutes at room temperature, washed with ddH2O and PBS, and then probed with the primary antibody (HA610208) at 1/200 dilution for 1 hour at room temperature. The detection was performed using an HRP conjugated compact polymer system. DAB was used as the chromogen. Tissues were counterstained with hematoxylin and mounted with DPX.
Pic img5 :
https://storage.huabio.cn/huabio/productImg/HA610208_5.jpg
Pic legend5 :
MeDIP was performed using anti-5-mC antibody (HA610208) or Normal Mouse IgG. The same amount of unmethylated, 5-Methylcytosine (5-mC) or 5-Hydroxymethylcytosine (5-hmC) DNA standard was spiked in 1ug of genomic DNA isolated from HeLa cells as the control. Realtime PCR was then performed to determine the capture of DNA standard as in % of recovery, which is equivalent to one.
more info or order :
company information

HUABIO
Founded in 2007, HUABIO is dedicated to developing high-quality antibodies that advance innovation. We are passionate about the accuracy, efficiency, and consistency of our products. That is why we have invested in new production platforms, like recombinant rabbit monoclonals, alpaca nanobodies, and adopted aggressive QA standards to deliver cutting-edge antibodies with uncompromised quality.
We hope to see you at your next discovery!
We hope to see you at your next discovery!
browse more products
questions and comments
