product summary
Loading...
company name :
HUABIO
product type :
antibody
product name :
Claudin 7
catalog :
HA610206
quantity :
100μg
price :
649.00 USD
clonality :
monoclonal
host :
mouse
conjugate :
nonconjugated
clone name :
6-G3-R
reactivity :
human, mouse, rat
application :
western blot, immunoprecipitation, immunohistochemistry - paraffin section
more info or order :
image
image 1 :

Western blot analysis of Claudin 7 on different lysates with Mouse anti-Claudin 7 antibody (HA610206) at 1/1,000 dilution.
Lane 1: SW480 cell lysate (20 µg/Lane)
Lane 2: MCF7 cell lysate (20 µg/Lane)
Lane 3: LNCaP cell lysate (20 µg/Lane)
Lane 4: Caco-2 cell lysate (20 µg/Lane)
Lane 5: A431 cell lysate (20 µg/Lane)
Lane 6: Mouse colon tissue lysate (40 µg/Lane)
Lane 7: Rat colon tissue lysate (40 µg/Lane)
Predicted band size: 22 kDa
Observed band size: 20 kDa
Exposure time: 1 minute; ECL: K1801;
4-20% SDS-PAGE gel.
Proteins were transferred to a PVDF membrane and blocked with 5% NFDM/TBST for 1 hour at room temperature. The primary antibody (HA610206) at 1/1,000 dilution was used in 5% NFDM/TBST at 4℃ overnight. Goat Anti-Mouse IgG - HRP Secondary Antibody (HA1006) at 1/50,000 dilution was used for 1 hour at room temperature.
image 2 :

Immunocytochemistry analysis of PC-12 cells labeling Claudin 7 with Mouse anti-Claudin 7 antibody (HA610206) at 1/100 dilution.
Cells were fixed in 4% paraformaldehyde for 20 minutes at room temperature, permeabilized with 0.1% Triton X-100 in PBS for 5 minutes at room temperature, then blocked with 1% BSA in 10% negative goat serum for 1 hour at room temperature. Cells were then incubated with Mouse anti-Claudin 7 antibody (HA610206) at 1/100 dilution in 1% BSA in PBST overnight at 4 ℃. Goat Anti-Mouse IgG H&L (iFluor™ 488, HA1125) was used as the secondary antibody at 1/1,000 dilution. PBS instead of the primary antibody was used as the secondary antibody only control. Nuclear DNA was labelled in blue with DAPI.
beta Tubulin (ET1602-4, red) was stained at 1/100 dilution overnight at +4℃. Goat Anti-Rabbit IgG H&L (iFluor™ 594, HA1122) were used as the secondary antibody at 1/1,000 dilution.
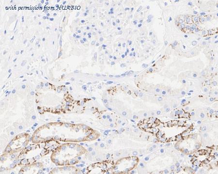
image 3 :

Immunohistochemical analysis of paraffin-embedded human kidney tissue with Mouse anti-Claudin 7 antibody (HA610206) at 1/5,000 dilution.
The section was pre-treated using heat mediated antigen retrieval with Tris-EDTA buffer (pH 9.0) for 20 minutes. The tissues were blocked in 1% BSA for 20 minutes at room temperature, washed with ddH2O and PBS, and then probed with the primary antibody (HA610206) at 1/5,000 dilution for 1 hour at room temperature. The detection was performed using an HRP conjugated compact polymer system. DAB was used as the chromogen. Tissues were counterstained with hematoxylin and mounted with DPX.
product information
SKU :
HA610206
Target name :
Claudin 7
Species reactivity :
Human,Mouse,Rat
Applications :
WB,IF-Cell,IHC-P,IF-Tissue,IP
Conjugate :
Non-conjugated
Immunogen :
Synthetic peptide within Human Claudin 7 aa 162-211 / 211.
Uniprot id :
O95471>SwissProt: O95471 Human;SwissProt: Q9Z261 Mouse;SwissProt: Q9Z1L1 Rat
Host :
Mouse
Clone number :
6-G3-R
Isotype :
IgG1
Size :
100μg
List Price :
649.00 USD
Storage Buffer :
PBS (pH7.4).
Form :
Liquid
Storage Instruction :
Store at +4℃ after thawing. Aliquot store at -20℃. Avoid repeated freeze / thaw cycles.
Purity :
Protein A affinity purified.
Product type :
Recombinant Mouse monoclonal Antibody
Positive control :
SW480 cell lysate, MCF7 cell lysate, LNCaP cell lysate, Caco-2 cell lysate, A431 cell lysate, mouse colon tissue lysate, rat colon tissue lysate, PC-12, human kidney tissue, human colon tissue, mouse colon tissue, rat colon tissue.
Molecular wt :
Predicted band size: 22 kDa
Subcellular location :
Cell membrane, Basolateral cell membrane, Cell junction, tight junction.
Concentration :
1 mg/mL.
Recommended dilutions :
WB: 1:1,000
;IF-Cell: 1:100
;IHC-P: 1:5,000
;IF-Tissue: 1:200-1:1,000
;IP: 1-2μg/sample
Pic img4 :
https://storage.huabio.cn/huabio/productImg/HA610206_4.jpg
Pic legend4 :
Immunohistochemical analysis of paraffin-embedded human colon tissue with Mouse anti-Claudin 7 antibody (HA610206) at 1/5,000 dilution.
The section was pre-treated using heat mediated antigen retrieval with Tris-EDTA buffer (pH 9.0) for 20 minutes. The tissues were blocked in 1% BSA for 20 minutes at room temperature, washed with ddH2O and PBS, and then probed with the primary antibody (HA610206) at 1/5,000 dilution for 1 hour at room temperature. The detection was performed using an HRP conjugated compact polymer system. DAB was used as the chromogen. Tissues were counterstained with hematoxylin and mounted with DPX.
Pic img5 :
https://storage.huabio.cn/huabio/productImg/HA610206_5.jpg
Pic legend5 :
Immunohistochemical analysis of paraffin-embedded mouse colon tissue with Mouse anti-Claudin 7 antibody (HA610206) at 1/5,000 dilution.
The section was pre-treated using heat mediated antigen retrieval with Tris-EDTA buffer (pH 9.0) for 20 minutes. The tissues were blocked in 1% BSA for 20 minutes at room temperature, washed with ddH2O and PBS, and then probed with the primary antibody (HA610206) at 1/5,000 dilution for 1 hour at room temperature. The detection was performed using an HRP conjugated compact polymer system. DAB was used as the chromogen. Tissues were counterstained with hematoxylin and mounted with DPX.
Pic img6 :
https://storage.huabio.cn/huabio/productImg/HA610206_6.jpg
Pic legend6 :
Immunohistochemical analysis of paraffin-embedded rat colon tissue with Mouse anti-Claudin 7 antibody (HA610206) at 1/5,000 dilution.
The section was pre-treated using heat mediated antigen retrieval with Tris-EDTA buffer (pH 9.0) for 20 minutes. The tissues were blocked in 1% BSA for 20 minutes at room temperature, washed with ddH2O and PBS, and then probed with the primary antibody (HA610206) at 1/5,000 dilution for 1 hour at room temperature. The detection was performed using an HRP conjugated compact polymer system. DAB was used as the chromogen. Tissues were counterstained with hematoxylin and mounted with DPX.
Pic img7 :
https://storage.huabio.cn/huabio/productImg/HA610206_7.jpg
Pic legend7 :
Claudin 7 was immunoprecipitated from 0.2 mg A431 cell lysate with HA610206 at 2 µg/10 µl beads. Western blot was performed from the immunoprecipitate using HA610206 at 1/2,000 dilution. Anti-Mouse IgG for IP Nano-secondary antibody (NBI02H) at 1/5,000 dilution was used for 1 hour at room temperature.
Lane 1: A431 cell lysate (input)
Lane 2: HA610206 IP in A431 cell lysate
Lane 3: Mouse IgG instead of HA610206 in A431 cell lysate
Blocking/Dilution buffer: 5% NFDM/TBST
Exposure time: 2 minutes; ECL: K1801
more info or order :
company information

HUABIO
Founded in 2007, HUABIO is dedicated to developing high-quality antibodies that advance innovation. We are passionate about the accuracy, efficiency, and consistency of our products. That is why we have invested in new production platforms, like recombinant rabbit monoclonals, alpaca nanobodies, and adopted aggressive QA standards to deliver cutting-edge antibodies with uncompromised quality.
We hope to see you at your next discovery!
We hope to see you at your next discovery!
browse more products
questions and comments
