product summary
Loading...
company name :
HUABIO
product type :
antibody
product name :
EIF3H
catalog :
HA610200
quantity :
100μg
price :
649.00 USD
clonality :
monoclonal
host :
mouse
conjugate :
nonconjugated
clone name :
PSH04-49
reactivity :
human, mouse, rat
application :
western blot, immunohistochemistry - paraffin section
more info or order :
image
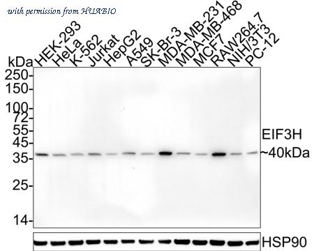
image 1 :

Western blot analysis of EIF3H on different lysates with Mouse anti-EIF3H antibody (HA610200) at 1/2,000 dilution.
Lane 1: HEK-293 cell lysate
Lane 2: HeLa cell lysate
Lane 3: K-562 cell lysate
Lane 4: Jurkat cell lysate
Lane 5: HepG2 cell lysate
Lane 6: A549 cell lysate
Lane 7: SK-Br-3 cell lysate
Lane 8: MDA-MB-231 cell lysate
Lane 9: MDA-MB-468 cell lysate
Lane 10: MCF7 cell lysate
Lane 11: RAW264.7 cell lysate
Lane 12: NIH/3T3 cell lysate
Lane 13: PC-12 cell lysate
Lysates/proteins at 20 µg/Lane.
Predicted band size: 40 kDa
Observed band size: 40 kDa
Exposure time: 3 minutes; ECL: K1801;
4-20% SDS-PAGE gel.
Proteins were transferred to a PVDF membrane and blocked with 5% NFDM/TBST for 1 hour at room temperature. The primary antibody (HA610200) at 1/2,000 dilution was used in 5% NFDM/TBST at 4℃ overnight. Goat Anti-Mouse IgG - HRP Secondary Antibody (HA1006) at 1/50,000 dilution was used for 1 hour at room temperature.
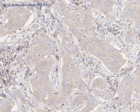
image 2 :

Immunohistochemical analysis of paraffin-embedded human breast cancer tissue with Mouse anti-EIF3H antibody (HA610200) at 1/200 dilution.
The section was pre-treated using heat mediated antigen retrieval with Tris-EDTA buffer (pH 9.0) for 20 minutes. The tissues were blocked in 1% BSA for 20 minutes at room temperature, washed with ddH2O and PBS, and then probed with the primary antibody (HA610200) at 1/200 dilution for 1 hour at room temperature. The detection was performed using an HRP conjugated compact polymer system. DAB was used as the chromogen. Tissues were counterstained with hematoxylin and mounted with DPX.
image 3 :

Immunohistochemical analysis of paraffin-embedded human colon cancer tissue with Mouse anti-EIF3H antibody (HA610200) at 1/200 dilution.
The section was pre-treated using heat mediated antigen retrieval with Tris-EDTA buffer (pH 9.0) for 20 minutes. The tissues were blocked in 1% BSA for 20 minutes at room temperature, washed with ddH2O and PBS, and then probed with the primary antibody (HA610200) at 1/200 dilution for 1 hour at room temperature. The detection was performed using an HRP conjugated compact polymer system. DAB was used as the chromogen. Tissues were counterstained with hematoxylin and mounted with DPX.
product information
SKU :
HA610200
Target name :
EIF3H
Species reactivity :
Human,Mouse,Rat
Applications :
WB,IHC-P
Conjugate :
Non-conjugated
Immunogen :
Recombinant protein within human EIF3H aa 1-352 / 352.
Uniprot id :
O15372>SwissProt: O15372 Human;SwissProt: Q91WK2 Mouse;SwissProt: Q6P9U8 Rat
Host :
Mouse
Clone number :
PSH04-49
Isotype :
IgG1
Size :
100μg
List Price :
649.00 USD
Storage Buffer :
PBS (pH7.4).
Form :
Liquid
Storage Instruction :
Store at +4℃ after thawing. Aliquot store at -20℃. Avoid repeated freeze / thaw cycles.
Purity :
Protein A affinity purified.
Product type :
Recombinant Mouse monoclonal Antibody
Positive control :
HEK-293 cell lysate, HeLa cell lysate, K-562 cell lysate, Jurkat cell lysate, HepG2 cell lysate, A549 cell lysate, SK-Br-3 cell lysate, MDA-MB-231 cell lysate, MDA-MB-468 cell lysate, MCF7 cell lysate, RAW264.7 cell lysate, NIH/3T3 cell lysate, PC-12 cell lysate, human breast cancer tissue, human colon cancer tissue.
Molecular wt :
Predicted band size: 40 kDa
Subcellular location :
Cytoplasm
Concentration :
1 mg/mL.
Recommended dilutions :
WB: 1:1,000-1:2,000
;IHC-P: 1:200
more info or order :
company information

HUABIO
Founded in 2007, HUABIO is dedicated to developing high-quality antibodies that advance innovation. We are passionate about the accuracy, efficiency, and consistency of our products. That is why we have invested in new production platforms, like recombinant rabbit monoclonals, alpaca nanobodies, and adopted aggressive QA standards to deliver cutting-edge antibodies with uncompromised quality.
We hope to see you at your next discovery!
We hope to see you at your next discovery!
related products
browse more products
questions and comments
