product summary
Loading...
company name :
HUABIO
product type :
antibody
product name :
STAT1
catalog :
HA610181
quantity :
100μg
price :
649.00 USD
clonality :
monoclonal
host :
mouse
conjugate :
nonconjugated
clone name :
G3-B11-R
reactivity :
human
application :
western blot, immunohistochemistry - paraffin section
more info or order :
image
image 1 :

Western blot analysis of STAT1 on different lysates with Mouse anti-STAT1 antibody (HA610181) at 1/1,000 dilution.
Lane 1: Jurkat cell lysate
Lane 2: A431 cell lysate
Lane 3: HeLa cell lysate
Lane 4: A549 cell lysate
Lane 5: SK-Br-3 cell lysate
Lane 6: SK-MEL-28 cell lysate
Lane 7: MCF7 cell lysate
Lane 8: HT-29 cell lysate
Lysates/proteins at 15 µg/Lane.
Predicted band size: 87/83 kDa
Observed band size: 87/83 kDa
Exposure time: 30 seconds; ECL: K1802;
4-20% SDS-PAGE gel.
Proteins were transferred to a PVDF membrane and blocked with 5% NFDM/TBST for 1 hour at room temperature. The primary antibody (HA610181) at 1/1,000 dilution was used in 5% NFDM/TBST at 4℃ overnight. Goat Anti-Mouse IgG - HRP Secondary Antibody (HA1006) at 1/50,000 dilution was used for 1 hour at room temperature.
image 2 :

Western blot analysis of STAT1 on different lysates with Mouse anti-APE1 antibody (HA610181) at 1/1,000 dilution.
Lane 1: PATU8988-parental cell lysate
Lane 2: PATU8988-STAT1 KD cell lysate
Lysates/proteins at 10 µg/Lane.
Predicted band size: 87/83 kDa
Observed band size: 83 kDa
Exposure time: 15 seconds; ECL: K1801;
4-20% SDS-PAGE gel.
Proteins were transferred to a PVDF membrane and blocked with 5% NFDM/TBST for 1 hour at room temperature. The primary antibody (HA610181)) at 1/1,000 dilution was used in primary antibody dilution (K1803) at 4℃ overnight. Goat Anti-Rabbit IgG - HRP Secondary Antibody (HA1001) at 1/50,000 dilution was used for 1 hour at room temperature.
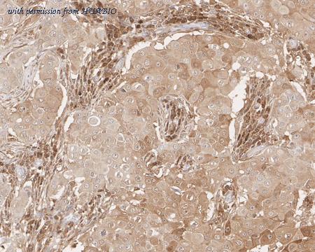
image 3 :

Immunohistochemical analysis of paraffin-embedded human breast cancer tissue with Mouse anti-STAT1 antibody (HA610181) at 1/1,000 dilution.
The section was pre-treated using heat mediated antigen retrieval with sodium citrate buffer (pH 6.0) (high pressure) for 2 minutes. The tissues were blocked in 1% BSA for 20 minutes at room temperature, washed with ddH2O and PBS, and then probed with the primary antibody (HA610181) at 1/1,000 dilution for 1 hour at room temperature. The detection was performed using an HRP conjugated compact polymer system. DAB was used as the chromogen. Tissues were counterstained with hematoxylin and mounted with DPX.
product information
SKU :
HA610181
Target name :
STAT1
Species reactivity :
Human
Applications :
WB,IHC-P
Conjugate :
Non-conjugated
Immunogen :
Recombinant protein within Human STAT1 aa 71-270 / 750.
Uniprot id :
P42224>SwissProt: P42224 Human
Host :
Mouse
Clone number :
G3-B11-R
Isotype :
IgG1
Size :
100μg
List Price :
649.00 USD
Storage Buffer :
PBS (pH7.4).
Form :
Liquid
Storage Instruction :
Store at +4℃ after thawing. Aliquot store at -20℃. Avoid repeated freeze / thaw cycles.
Purity :
Protein A affinity purified.
Product type :
Recombinant Mouse monoclonal Antibody
Positive control :
Jurkat cell lysate, A431 cell lysate, HeLa cell lysate, A549 cell lysate, SK-Br-3 cell lysate, SK-MEL-28 cell lysate, MCF7 cell lysate, HT-29 cell lysate, human breast cancer tissue, human spleen tissue.
Molecular wt :
Predicted band size: 87/83 kDa
Subcellular location :
Cytoplasm, nucleus
Concentration :
1 mg/mL.
Recommended dilutions :
WB: 1:1,000
;IHC-P: 1:1,000
Pic img4 :
https://storage.huabio.cn/huabio/productImg/HA610181_4.jpg
Pic legend4 :
Immunohistochemical analysis of paraffin-embedded human spleen tissue with Mouse anti-STAT1 antibody (HA610181) at 1/1,000 dilution.
The section was pre-treated using heat mediated antigen retrieval with sodium citrate buffer (pH 6.0) (high pressure) for 2 minutes. The tissues were blocked in 1% BSA for 20 minutes at room temperature, washed with ddH2O and PBS, and then probed with the primary antibody (HA610181) at 1/1,000 dilution for 1 hour at room temperature. The detection was performed using an HRP conjugated compact polymer system. DAB was used as the chromogen. Tissues were counterstained with hematoxylin and mounted with DPX.
more info or order :
company information

HUABIO
Founded in 2007, HUABIO is dedicated to developing high-quality antibodies that advance innovation. We are passionate about the accuracy, efficiency, and consistency of our products. That is why we have invested in new production platforms, like recombinant rabbit monoclonals, alpaca nanobodies, and adopted aggressive QA standards to deliver cutting-edge antibodies with uncompromised quality.
We hope to see you at your next discovery!
We hope to see you at your next discovery!
related products
browse more products
questions and comments
