product summary
Loading...
company name :
HUABIO
product type :
antibody
product name :
NAPSIN A
catalog :
HA610175
quantity :
100μg
price :
649.00 USD
clonality :
monoclonal
host :
mouse
conjugate :
nonconjugated
clone name :
A9C1-R
reactivity :
human
application :
immunohistochemistry - paraffin section
more info or order :
image
image 1 :

Immunohistochemical analysis of paraffin-embedded human kidney tissue with Mouse anti-NAPSIN A antibody (HA610175) at 1/2,000 dilution.
The section was pre-treated using heat mediated antigen retrieval with Tris-EDTA buffer (pH 9.0) for 20 minutes. The tissues were blocked in 1% BSA for 20 minutes at room temperature, washed with ddH2O and PBS, and then probed with the primary antibody (HA610175) at 1/2,000 dilution for 1 hour at room temperature. The detection was performed using an HRP conjugated compact polymer system. DAB was used as the chromogen. Tissues were counterstained with hematoxylin and mounted with DPX.
image 2 :

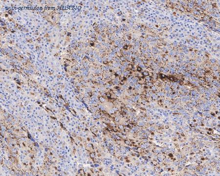
Immunohistochemical analysis of paraffin-embedded human lung cancer tissue with Mouse anti-NAPSIN A antibody (HA610175) at 1/2,000 dilution.
The section was pre-treated using heat mediated antigen retrieval with Tris-EDTA buffer (pH 9.0) for 20 minutes. The tissues were blocked in 1% BSA for 20 minutes at room temperature, washed with ddH2O and PBS, and then probed with the primary antibody (HA610175) at 1/2,000 dilution for 1 hour at room temperature. The detection was performed using an HRP conjugated compact polymer system. DAB was used as the chromogen. Tissues were counterstained with hematoxylin and mounted with DPX.
image 3 :

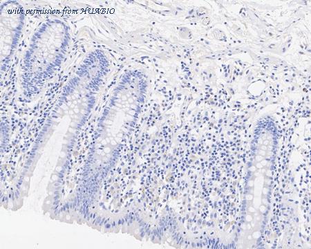
Immunohistochemical analysis of paraffin-embedded human colon tissue (negative) with Mouse anti-NAPSIN A antibody (HA610175) at 1/2,000 dilution.
The section was pre-treated using heat mediated antigen retrieval with Tris-EDTA buffer (pH 9.0) for 20 minutes. The tissues were blocked in 1% BSA for 20 minutes at room temperature, washed with ddH2O and PBS, and then probed with the primary antibody (HA610175) at 1/2,000 dilution for 1 hour at room temperature. The detection was performed using an HRP conjugated compact polymer system. DAB was used as the chromogen. Tissues were counterstained with hematoxylin and mounted with DPX.
product information
SKU :
HA610175
Target name :
NAPSIN A
Species reactivity :
Human
Applications :
IHC-P
Conjugate :
Non-conjugated
Immunogen :
Recombinant protein within human NAPSIN A aa 51-200 / 420.
Uniprot id :
O96009>SwissProt: O96009 Human
Host :
Mouse
Clone number :
A9C1-R
Isotype :
IgG1
Size :
100μg
List Price :
649.00 USD
Storage Buffer :
PBS (pH7.4).
Form :
Liquid
Storage Instruction :
Store at +4℃ after thawing. Aliquot store at -20℃. Avoid repeated freeze / thaw cycles.
Purity :
Protein A affinity purified.
Product type :
Recombinant Mouse monoclonal Antibody
Positive control :
Human kidney tissue, human lung cancer tissue.
Molecular wt :
Predicted band size: 45 kDa
Subcellular location :
Secreted.
Concentration :
1 mg/mL.
Recommended dilutions :
IHC-P: 1:2,000
Advanced Validation :
Relative expression (RE)
more info or order :
company information

HUABIO
Founded in 2007, HUABIO is dedicated to developing high-quality antibodies that advance innovation. We are passionate about the accuracy, efficiency, and consistency of our products. That is why we have invested in new production platforms, like recombinant rabbit monoclonals, alpaca nanobodies, and adopted aggressive QA standards to deliver cutting-edge antibodies with uncompromised quality.
We hope to see you at your next discovery!
We hope to see you at your next discovery!
related products
browse more products
questions and comments
