product summary
Loading...
company name :
HUABIO
product type :
antibody
product name :
Glutathione peroxidase 1
catalog :
HA610078
quantity :
100μg
price :
649.00 USD
clonality :
monoclonal
host :
mouse
conjugate :
nonconjugated
clone name :
C5-A10-R
reactivity :
human
application :
western blot, flow cytometry, immunohistochemistry - paraffin section
more info or order :
image
image 1 :

Western blot analysis of Glutathione peroxidase 1 on different lysates with Mouse anti-Glutathione peroxidase 1 antibody (HA610078) at 1/1,000 dilution.
Lane 1: HEK-293 cell lysate (20 µg/Lane)
Lane 2: HepG2 cell lysate (20 µg/Lane)
Lane 3: SH-SY5Y cell lysate (20 µg/Lane)
Lane 4: HT-29 cell lysate (20 µg/Lane)
Lane 5: Human liver tissue lysate (40 µg/Lane)
Lane 6: Human kidney tissue lysate (40 µg/Lane)
Predicted band size: 22 kDa
Observed band size: 22 kDa
Exposure time: 24 seconds;
4-20% SDS-PAGE gel.
Proteins were transferred to a PVDF membrane and blocked with 5% NFDM/TBST for 1 hour at room temperature. The primary antibody (HA610078) at 1/1,000 dilution was used in 5% NFDM/TBST at 4℃ overnight. Goat Anti-Mouse IgG - HRP Secondary Antibody (HA1006) at 1/50,000 dilution was used for 1 hour at room temperature.
image 2 :

Immunocytochemistry analysis of THP-1 cells labeling Glutathione peroxidase 1 with Mouse anti-Glutathione peroxidase 1 antibody (HA610078) at 1/100 dilution.
Cells were fixed in 80% precooled methanol for 5 minutes at room temperature, then blocked with 1% BSA in 10% negative goat serum for 1 hour at room temperature. Cells were then incubated with Mouse anti-Glutathione peroxidase 1 antibody (HA610078) at 1/100 dilution in 1% BSA in PBST overnight at 4 ℃. Goat Anti-Mouse IgG H&L (iFluor™ 488, HA1125) was used as the secondary antibody at 1/1,000 dilution. PBS instead of the primary antibody was used as the secondary antibody only control. Nuclear DNA was labelled in blue with DAPI.
beta Tubulin (ET1602-4, red) was stained at 1/100 dilution overnight at +4℃. Goat Anti-Rabbit IgG H&L (iFluor™ 594, HA1122) were used as the secondary antibody at 1/1,000 dilution.
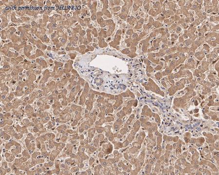
image 3 :

Immunohistochemical analysis of paraffin-embedded human liver tissue with Mouse anti-Glutathione peroxidase 1 antibody (HA610078) at 1/1,000 dilution.
The section was pre-treated using heat mediated antigen retrieval with Tris-EDTA buffer (pH 9.0) for 20 minutes. The tissues were blocked in 1% BSA for 20 minutes at room temperature, washed with ddH2O and PBS, and then probed with the primary antibody (HA610078) at 1/1,000 dilution for 1 hour at room temperature. The detection was performed using an HRP conjugated compact polymer system. DAB was used as the chromogen. Tissues were counterstained with hematoxylin and mounted with DPX.
product information
SKU :
HA610078
Target name :
Glutathione peroxidase 1
Species reactivity :
Human
Applications :
WB,IF-Cell,IHC-P,FC
Conjugate :
Non-conjugated
Immunogen :
Recombinant protein within Human Glutathione Peroxidase 1 aa 20-203 / 203.
Uniprot id :
P07203>SwissProt: P07203 Human
Host :
Mouse
Clone number :
C5-A10-R
Isotype :
IgG1
Size :
100μg
List Price :
649.00 USD
Storage Buffer :
PBS (pH7.4).
Form :
Liquid
Storage Instruction :
Store at +4℃ after thawing. Aliquot store at -20℃. Avoid repeated freeze / thaw cycles.
Purity :
Protein A affinity purified.
Product type :
Recombinant Mouse monoclonal Antibody
Positive control :
HEK-293 cell lysate, HepG2 cell lysate, SH-SY5Y cell lysate, HT-29 cell lysate, human liver tissue lysate, human kidney tissue lysate, THP-1, human liver tissue.
Molecular wt :
Predicted band size: 22 kDa
Subcellular location :
Cytoplasm
Concentration :
1 mg/mL.
Recommended dilutions :
WB: 1:1,000
;IF-Cell: 1:100
;IHC-P: 1:1,000
;FC: 1:1,000
Pic img4 :
https://storage.huabio.cn/huabio/productImg/HA610078_4.jpg
Pic legend4 :
Flow cytometric analysis of THP-1 cells labeling Glutathione peroxidase 1.
Cells were fixed and permeabilized. Then stained with the primary antibody (HA610078, 1μg/mL) (red) compared with Mouse IgG1 Isotype Control (green). After incubation of the primary antibody at +4℃ for an hour, the cells were stained with a iFluor™ 488 conjugate-Goat anti-Mouse IgG Secondary antibody (HA1125) at 1/1,000 dilution for 30 minutes at +4℃. Unlabelled sample was used as a control (cells without incubation with primary antibody; black).
more info or order :
company information

HUABIO
Founded in 2007, HUABIO is dedicated to developing high-quality antibodies that advance innovation. We are passionate about the accuracy, efficiency, and consistency of our products. That is why we have invested in new production platforms, like recombinant rabbit monoclonals, alpaca nanobodies, and adopted aggressive QA standards to deliver cutting-edge antibodies with uncompromised quality.
We hope to see you at your next discovery!
We hope to see you at your next discovery!
related products
browse more products
questions and comments
