product summary
Loading...
company name :
HUABIO
product type :
antibody
product name :
DAP Kinase 1
catalog :
HA610051
quantity :
100μg
price :
649.00 USD
clonality :
monoclonal
host :
mouse
conjugate :
nonconjugated
clone name :
12B2-R
reactivity :
human
application :
western blot, immunohistochemistry - paraffin section
more info or order :
image
image 1 :

Western blot analysis of DAP Kinase 1 on different lysates with Mouse anti-DAP Kinase 1 antibody (HA610051) at 1/2,000 dilution.
Lane 1: A549 cell lysate (30 µg/Lane)
Lane 2: TF-1 cell lysate (30 µg/Lane)
Lane 3: HepG2 cell lysate (30 µg/Lane)
Lane 4: Human brain tissue lysate (30 µg/Lane)
Predicted band size: 160 kDa
Observed band size: 160 kDa
Exposure time: 2 minutes; ECL: K1801;
4-20% SDS-PAGE gel.
Proteins were transferred to a PVDF membrane and blocked with 5% NFDM/TBST for 1 hour at room temperature. The primary antibody (HA610051) at 1/2,000 dilution was used in 5% NFDM/TBST at room temperature for 2 hours. Goat Anti-Mouse IgG - HRP Secondary Antibody (HA1006) at 1/100,000 dilution was used for 1 hour at room temperature.
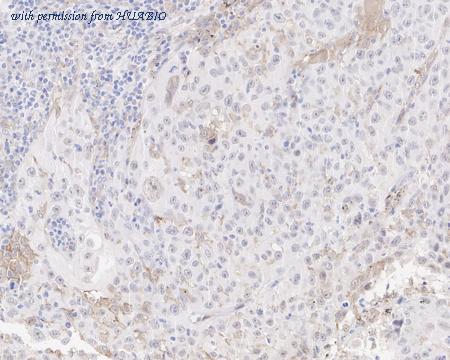
image 2 :

Immunohistochemical analysis of paraffin-embedded human lung carcinoma tissue with Mouse anti-DAP Kinase 1 antibody (HA610051) at 1/2,000 dilution.
The section was pre-treated using heat mediated antigen retrieval with Tris-EDTA buffer (pH 9.0) for 20 minutes. The tissues were blocked in 1% BSA for 20 minutes at room temperature, washed with ddH2O and PBS, and then probed with the primary antibody (HA610051) at 1/2,000 dilution for 1 hour at room temperature. The detection was performed using an HRP conjugated compact polymer system. DAB was used as the chromogen. Tissues were counterstained with hematoxylin and mounted with DPX.
product information
SKU :
HA610051
Target name :
DAP Kinase 1
Species reactivity :
Human
Applications :
WB,IHC-P
Conjugate :
Non-conjugated
Immunogen :
Recombinant protein within human DAP Kinase 1 aa 451-700 / 1,430.
Uniprot id :
P53355>SwissProt: P53355 Human
Host :
Mouse
Clone number :
12B2-R
Isotype :
IgG1
Size :
100μg
List Price :
649.00 USD
Storage Buffer :
PBS (pH7.4).
Form :
Liquid
Storage Instruction :
Store at +4℃ after thawing. Aliquot store at -20℃. Avoid repeated freeze / thaw cycles.
Purity :
Protein A affinity purified.
Product type :
Recombinant Mouse monoclonal Antibody
Positive control :
A549 cell lysate, TF-1 cell lysate, HepG2 cell lysate, human brain tissue lysate, human lung carcinoma tissue.
Molecular wt :
Predicted band size: 160 kDa
Subcellular location :
Cytoplasm, cytoskeleton.
Concentration :
1 mg/mL.
Recommended dilutions :
WB: 1:2,000
;IHC-P: 1:2,000
more info or order :
company information

HUABIO
Founded in 2007, HUABIO is dedicated to developing high-quality antibodies that advance innovation. We are passionate about the accuracy, efficiency, and consistency of our products. That is why we have invested in new production platforms, like recombinant rabbit monoclonals, alpaca nanobodies, and adopted aggressive QA standards to deliver cutting-edge antibodies with uncompromised quality.
We hope to see you at your next discovery!
We hope to see you at your next discovery!
related products
browse more products
questions and comments
