product summary
Loading...
company name :
HUABIO
product type :
antibody
product name :
CD11c
catalog :
HA601545
quantity :
100μl
price :
360.00 USD
clonality :
polyclonal
host :
domestic rabbit
conjugate :
nonconjugated
clone name :
SI19-06
reactivity :
human
application :
immunohistochemistry - paraffin section
more info or order :
image
image 1 :

Application: IF-Tissue
Species: Human
Site: spleen
Sample: Paraffin-embedded section
Antibody concentration: 1/500
image 2 :

Immunohistochemical analysis of paraffin-embedded human spleen tissue with Mouse anti-CD11c antibody (HA601545) at 1/800 dilution.
The section was pre-treated using heat mediated antigen retrieval with Tris-EDTA buffer (pH 9.0) for 20 minutes. The tissues were blocked in 1% BSA for 20 minutes at room temperature, washed with ddH2O and PBS, and then probed with the primary antibody (HA601545) at 1/800 dilution for 1 hour at room temperature. The detection was performed using an HRP conjugated compact polymer system. DAB was used as the chromogen. Tissues were counterstained with hematoxylin and mounted with DPX.
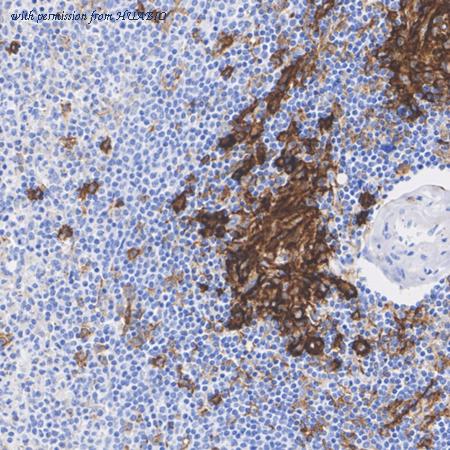
image 3 :

Immunohistochemical analysis of paraffin-embedded human Hodgkin's lymphoma tissue with Mouse anti-CD11c antibody (HA601545) at 1/800 dilution.
The section was pre-treated using heat mediated antigen retrieval with Tris-EDTA buffer (pH 9.0) for 20 minutes. The tissues were blocked in 1% BSA for 20 minutes at room temperature, washed with ddH2O and PBS, and then probed with the primary antibody (HA601545) at 1/800 dilution for 1 hour at room temperature. The detection was performed using an HRP conjugated compact polymer system. DAB was used as the chromogen. Tissues were counterstained with hematoxylin and mounted with DPX.
product information
SKU :
HA601545
Target name :
CD11c
Species reactivity :
Human
Applications :
IF-Tissue,IHC-P
Conjugate :
Non-conjugated
Immunogen :
Synthetic peptide within Human CD11c aa 1,114-1,163 / 1,163 (Cytoplasmic).
Uniprot id :
P20702>SwissProt: P20702 Human
Host :
rabbit
Clone number :
SI19-06
Size :
100μl
List Price :
360.00 USD
Storage Buffer :
PBS (pH7.4), 0.1% BSA, 40% Glycerol. Preservative: 0.05% Sodium Azide.
Form :
Liquid
Storage Instruction :
Shipped at 4℃. Store at +4℃ short term (1-2 weeks). It is recommended to aliquot into single-use upon delivery. Store at -20℃ long term.
Purity :
Protein A affinity purified.
Product type :
Recombinant Chimeric Antibody Antibody
Positive control :
Human spleen tissue, human Hodgkin's lymphoma tissue, human tonsil tissue.
Molecular wt :
Predicted band size: 128 kDa
Subcellular location :
Membrane
Concentration :
1 mg/mL.
Recommended dilutions :
IF-Tissue: 1:500
;IHC-P: 1:800
Pic img4 :
https://storage.huabio.cn/huabio/productImg/HA601545_4.jpg
Pic legend4 :
Immunohistochemical analysis of paraffin-embedded human tonsil tissue with Mouse anti-CD11c antibody (HA601545) at 1/800 dilution.
The section was pre-treated using heat mediated antigen retrieval with Tris-EDTA buffer (pH 9.0) for 20 minutes. The tissues were blocked in 1% BSA for 20 minutes at room temperature, washed with ddH2O and PBS, and then probed with the primary antibody (HA601545) at 1/800 dilution for 1 hour at room temperature. The detection was performed using an HRP conjugated compact polymer system. DAB was used as the chromogen. Tissues were counterstained with hematoxylin and mounted with DPX.
more info or order :
company information

HUABIO
Founded in 2007, HUABIO is dedicated to developing high-quality antibodies that advance innovation. We are passionate about the accuracy, efficiency, and consistency of our products. That is why we have invested in new production platforms, like recombinant rabbit monoclonals, alpaca nanobodies, and adopted aggressive QA standards to deliver cutting-edge antibodies with uncompromised quality.
We hope to see you at your next discovery!
We hope to see you at your next discovery!
related products
browse more products
questions and comments
