product summary
Loading...
company name :
HUABIO
product type :
antibody
product name :
NF-L
catalog :
HA601448
quantity :
100μl
price :
360.00 USD
clonality :
polyclonal
host :
domestic rabbit
conjugate :
nonconjugated
clone name :
PS02-10
reactivity :
human, mouse, rat
application :
western blot, immunohistochemistry - paraffin section, immunohistochemistry - frozen section
more info or order :
image
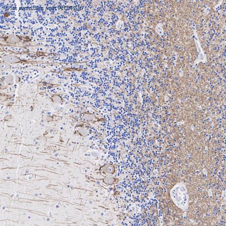
image 1 :

Application: IHC-Fr
Species: Mouse
Site: cerebellum
Sample: Frozen section
Antibody concentration: 1/500
Antigen retrieval: Not required
image 2 :

Application: IHC-Fr
Species: Rat
Site: cerebellum
Sample: Frozen section
Antibody concentration: 1/500
Antigen retrieval: Not required
image 3 :

Immunohistochemical analysis of paraffin-embedded human cerebellum tissue with Mouse anti-NF-L antibody (HA601448) at 1/2,000 dilution.
The section was pre-treated using heat mediated antigen retrieval with Tris-EDTA buffer (pH 9.0) for 20 minutes. The tissues were blocked in 1% BSA for 20 minutes at room temperature, washed with ddH2O and PBS, and then probed with the primary antibody (HA601448) at 1/2,000 dilution for 1 hour at room temperature. The detection was performed using an HRP conjugated compact polymer system. DAB was used as the chromogen. Tissues were counterstained with hematoxylin and mounted with DPX.
product information
SKU :
HA601448
Target name :
NF-L
Species reactivity :
Human,Mouse,Rat
Applications :
IHC-Fr,IHC-P,WB
Conjugate :
Non-conjugated
Immunogen :
Recombinant protein.
Uniprot id :
P07196>SwissProt: P07196 Human;SwissProt: P08551 Mouse;SwissProt: P19527 Rat
Host :
rabbit
Clone number :
PS02-10
Size :
100μl
List Price :
360.00 USD
Storage Buffer :
PBS (pH7.4), 0.1% BSA, 40% Glycerol. Preservative: 0.05% Sodium Azide.
Form :
Liquid
Storage Instruction :
Shipped at 4℃. Store at +4℃ short term (1-2 weeks). It is recommended to aliquot into single-use upon delivery. Store at -20℃ long term.
Purity :
Protein A affinity purified.
Product type :
Recombinant Chimeric Antibody Antibody
Positive control :
Human cerebellum tissue, mouse cerebellum tissue, rat cerebellum tissue, Mouse brain tissue lysate, Rat brain tissue lysate.
Molecular wt :
Predicted band size: 62 kDa
Subcellular location :
Cell projection, axon, Cytoplasm, cytoskeleton.
Concentration :
1 mg/mL.
Recommended dilutions :
IHC-Fr: 1:500
;IHC-P: 1:2,000
;WB: 1:5,000
Advanced Validation :
Relative expression (RE)
Pic img4 :
https://storage.huabio.cn/huabio/productImg/HA601448_4.jpg
Pic legend4 :
Immunohistochemical analysis of paraffin-embedded mouse cerebellum tissue with Mouse anti-NF-L antibody (HA601448) at 1/2,000 dilution.
The section was pre-treated using heat mediated antigen retrieval with Tris-EDTA buffer (pH 9.0) for 20 minutes. The tissues were blocked in 1% BSA for 20 minutes at room temperature, washed with ddH2O and PBS, and then probed with the primary antibody (HA601448) at 1/2,000 dilution for 1 hour at room temperature. The detection was performed using an HRP conjugated compact polymer system. DAB was used as the chromogen. Tissues were counterstained with hematoxylin and mounted with DPX.
Pic img5 :
https://storage.huabio.cn/huabio/productImg/HA601448_5.jpg
Pic legend5 :
Immunohistochemical analysis of paraffin-embedded rat cerebellum tissue with Mouse anti-NF-L antibody (HA601448) at 1/2,000 dilution.
The section was pre-treated using heat mediated antigen retrieval with Tris-EDTA buffer (pH 9.0) for 20 minutes. The tissues were blocked in 1% BSA for 20 minutes at room temperature, washed with ddH2O and PBS, and then probed with the primary antibody (HA601448) at 1/2,000 dilution for 1 hour at room temperature. The detection was performed using an HRP conjugated compact polymer system. DAB was used as the chromogen. Tissues were counterstained with hematoxylin and mounted with DPX.
Pic img6 :
https://storage.huabio.cn/huabio/productImg/HA601448_6.jpg
Pic legend6 :
Western blot analysis of NF-L on different lysates with Mouse anti-NF-L antibody (HA601448) at 1/5,000 dilution.
Lane 1: Mouse brain tissue lysate (20 µg/Lane)
Lane 2: Mouse lung tissue lysate (negative) (20 µg/Lane)
Lane 3: Rat brain tissue lysate (20 µg/Lane)
Lane 4: Rat lung tissue lysate (negative) (20 µg/Lane)
Predicted band size: 62 kDa
Observed band size: 62 kDa
Exposure time: 2 minutes; ECL: K1801;
4-20% SDS-PAGE gel.
Proteins were transferred to a PVDF membrane and blocked with 5% NFDM/TBST for 1 hour at room temperature. The primary antibody (HA601448) at 1/5,000 dilution was used in primary antibody dilution (K1803) at 4℃ overnight. Goat Anti-Mouse IgG - HRP Secondary Antibody (HA1006) at 1/50,000 dilution was used for 1 hour at room temperature.
more info or order :
company information

HUABIO
Founded in 2007, HUABIO is dedicated to developing high-quality antibodies that advance innovation. We are passionate about the accuracy, efficiency, and consistency of our products. That is why we have invested in new production platforms, like recombinant rabbit monoclonals, alpaca nanobodies, and adopted aggressive QA standards to deliver cutting-edge antibodies with uncompromised quality.
We hope to see you at your next discovery!
We hope to see you at your next discovery!
related products
browse more products
questions and comments
