product summary
Loading...
company name :
HUABIO
product type :
antibody
product name :
SV2A
catalog :
HA601421
quantity :
100μl
price :
330 USD
clonality :
polyclonal
host :
domestic rabbit
conjugate :
nonconjugated
clone name :
PSH10-69
reactivity :
mouse, rat
application :
western blot, immunohistochemistry - paraffin section, immunohistochemistry - frozen section
more info or order :
image
image 1 :

Application: IHC-Fr
Species: Mouse
Site: Cerebellum
Sample: Frozen section
Antibody concentration: 1:500
Antigen retrieval: Recommend. The section was pre-treated using 1% SDS buffer (in PBS, pH 7.4) for 5 minutes at room temperature.
image 2 :

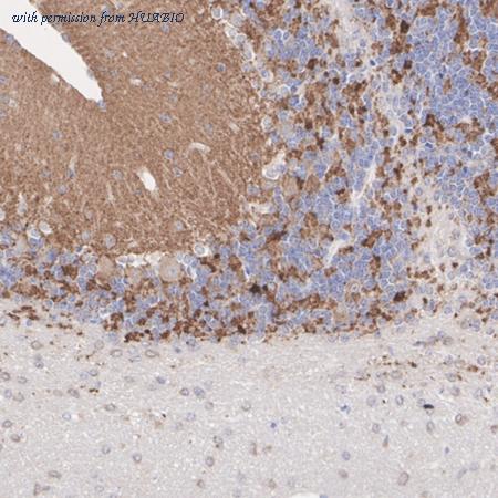
Immunohistochemical analysis of paraffin-embedded mouse cerebellum tissue with Rat anti-SV2A antibody (HA601421) at 1/500 dilution.
The section was pre-treated using heat mediated antigen retrieval with Tris-EDTA buffer (pH 9.0) for 20 minutes. The tissues were blocked in 1% BSA for 20 minutes at room temperature, washed with ddH2O and PBS, and then probed with the primary antibody (HA601421) at 1/500 dilution for 1 hour at room temperature. The detection was performed using an HRP conjugated compact polymer system. DAB was used as the chromogen. Tissues were counterstained with hematoxylin and mounted with DPX.
image 3 :

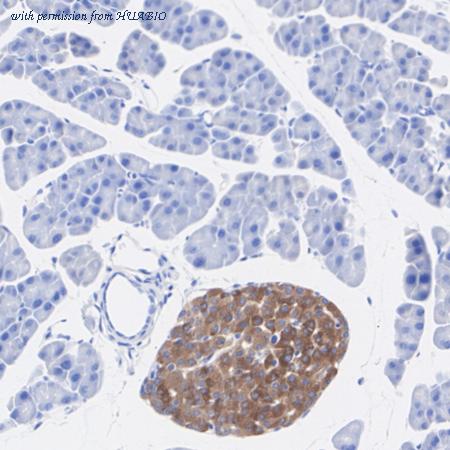
Immunohistochemical analysis of paraffin-embedded mouse pancreas tissue with Rat anti-SV2A antibody (HA601421) at 1/200 dilution.
The section was pre-treated using heat mediated antigen retrieval with Tris-EDTA buffer (pH 9.0) for 20 minutes. The tissues were blocked in 1% BSA for 20 minutes at room temperature, washed with ddH2O and PBS, and then probed with the primary antibody (HA601421) at 1/200 dilution for 1 hour at room temperature. The detection was performed using an HRP conjugated compact polymer system. DAB was used as the chromogen. Tissues were counterstained with hematoxylin and mounted with DPX.
product information
SKU :
HA601421
Target name :
SV2A
Species reactivity :
Mouse,Rat,Cynomolgus monkey,Pig
Applications :
IHC-Fr,IHC-P,WB
Conjugate :
Non-conjugated
Uniprot id :
Q9JIS5>SwissProt: Q9JIS5 Mouse;SwissProt: Q02563 Rat
Host :
rabbit
Clone number :
PSH10-69
Size :
100μl
List Price :
330 USD
Storage Buffer :
PBS (pH7.4), 0.1% BSA, 40% Glycerol. Preservative: 0.05% Sodium Azide.
Form :
Liquid
Storage Instruction :
Shipped at 4℃. Store at +4℃ short term (1-2 weeks). It is recommended to aliquot into single-use upon delivery. Store at -20℃ long term.
Purity :
Protein A affinity purified.
Product type :
Recombinant Chimeric Antibody Antibody
Positive control :
Mouse cerebellum tissue, mouse pancreas tissue, rat cerebellum tissue, Mouse brain tissue lysate, Rat brain tissue lysate.
Molecular wt :
Predicted band size: 83 kDa
Subcellular location :
Presynapse, Cytoplasmic vesicle, secretory vesicle, synaptic vesicle membrane.
Concentration :
1 mg/mL.
Recommended dilutions :
IHC-Fr: 1:500
;IHC-P: 1:200-1:500
;WB: 1:5,000
Advanced Validation :
Relative expression (RE)
Pic img4 :
https://storage.huabio.cn/huabio/productImg/HA601421_4.jpg
Pic legend4 :
Immunohistochemical analysis of paraffin-embedded rat cerebellum tissue with Rat anti-SV2A antibody (HA601421) at 1/500 dilution.
The section was pre-treated using heat mediated antigen retrieval with Tris-EDTA buffer (pH 9.0) for 20 minutes. The tissues were blocked in 1% BSA for 20 minutes at room temperature, washed with ddH2O and PBS, and then probed with the primary antibody (HA601421) at 1/500 dilution for 1 hour at room temperature. The detection was performed using an HRP conjugated compact polymer system. DAB was used as the chromogen. Tissues were counterstained with hematoxylin and mounted with DPX.
Pic img5 :
https://storage.huabio.cn/huabio/productImg/HA601421_5.jpg
Pic legend5 :
Western blot analysis of SV2A on different lysates with Rat anti-SV2A antibody (HA601421) at 1/5,000 dilution.
Lane 1: Mouse brain tissue lysate
Lane 2: NIH/3T3 cell lysate (negative)
Lane 3: Rat brain tissue lysate
Lysates/proteins at 20 µg/Lane.
Predicted band size: 83 kDa
Observed band size: 83 kDa
Exposure time: 6 seconds; ECL: K1801;
4-20% SDS-PAGE gel.
Proteins were transferred to a PVDF membrane and blocked with 5% NFDM/TBST for 1 hour at room temperature. The primary antibody (HA601421) at 1/5,000 dilution was used in primary antibody dilution (K1803) at 4℃ overnight. Goat Anti-Rat IgG H&L - HRP Secondary Antibody (HA1023) at 1/5,000 dilution was used for 1 hour at room temperature.
more info or order :
company information

HUABIO
Founded in 2007, HUABIO is dedicated to developing high-quality antibodies that advance innovation. We are passionate about the accuracy, efficiency, and consistency of our products. That is why we have invested in new production platforms, like recombinant rabbit monoclonals, alpaca nanobodies, and adopted aggressive QA standards to deliver cutting-edge antibodies with uncompromised quality.
We hope to see you at your next discovery!
We hope to see you at your next discovery!
related products
browse more products
questions and comments
