product summary
Loading...
company name :
HUABIO
product type :
antibody
product name :
Mouse CD45R
catalog :
HA601385
quantity :
100μl
price :
330 USD
clonality :
monoclonal
host :
rat
conjugate :
nonconjugated
clone name :
PSH10-80
reactivity :
mouse
application :
flow cytometry, immunohistochemistry - paraffin section
more info or order :
image
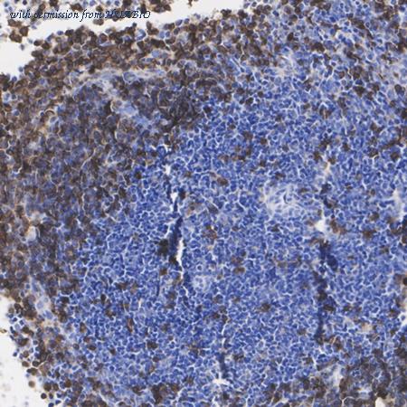
image 1 :

Immunohistochemical analysis of paraffin-embedded mouse spleen tissue with Rat anti-Mouse CD45R antibody (HA601385) at 1/1,000 dilution.
The section was pre-treated using heat mediated antigen retrieval with Tris-EDTA buffer (pH 9.0) for 20 minutes. The tissues were blocked in 1% BSA for 20 minutes at room temperature, washed with ddH2O and PBS, and then probed with the primary antibody (HA601385) at 1/1,000 dilution for 1 hour at room temperature. The detection was performed using an HRP conjugated compact polymer system. DAB was used as the chromogen. Tissues were counterstained with hematoxylin and mounted with DPX.
image 2 :

Flow cytometric analysis of mouse spleen cells labeling Mouse CD45R (HA601385).
Cells were washed twice with cold PBS and resuspend. Then stained with the primary antibody (HA601385, 1/1,000). After incubation of the primary antibody at +4℃ for an hour, the cells were stained with a Dylight 488 conjugate-Goat anti-Rat IgG Secondary antibody at 1/1,000 dilution for 30 minutes at +4℃.
image 3 :

Application: IF-Tissue
Species: Mouse
Site: spleen
Sample: Paraffin-embedded section
Antibody concentration: 1/500
product information
SKU :
HA601385
Target name :
Mouse CD45R
Species reactivity :
Mouse
Applications :
IHC-P,FC,IF-Tissue
Conjugate :
Non-conjugated
Uniprot id :
P06800>SwissProt: P06800 Mouse
Host :
Rat
Clone number :
PSH10-80
Isotype :
IgG1
Size :
100μl
List Price :
330 USD
Storage Buffer :
PBS (pH7.4), 0.1% BSA, 40% Glycerol. Preservative: 0.05% Sodium Azide.
Form :
Liquid
Storage Instruction :
Shipped at 4℃. Store at +4℃ short term (1-2 weeks). It is recommended to aliquot into single-use upon delivery. Store at -20℃ long term.
Purity :
Protein A affinity purified.
Product type :
Recombinant Rat Monoclonal Antibody
Positive control :
Mouse spleen tissue, mouse spleen cells.
Molecular wt :
Predicted band size: 145 kDa
Subcellular location :
Cell membrane, Membrane raft, Synapse.
Concentration :
1 mg/mL.
Recommended dilutions :
IHC-P: 1:1,000
;FC: 1:1,000
;IF-Tissue: 1:500
more info or order :
company information

HUABIO
Founded in 2007, HUABIO is dedicated to developing high-quality antibodies that advance innovation. We are passionate about the accuracy, efficiency, and consistency of our products. That is why we have invested in new production platforms, like recombinant rabbit monoclonals, alpaca nanobodies, and adopted aggressive QA standards to deliver cutting-edge antibodies with uncompromised quality.
We hope to see you at your next discovery!
We hope to see you at your next discovery!
related products
browse more products
questions and comments
