product summary
Loading...
company name :
HUABIO
product type :
antibody
product name :
EFTUD2
catalog :
HA601216
quantity :
100μl
price :
360.00 USD
clonality :
monoclonal
host :
mouse
conjugate :
nonconjugated
clone name :
1-D10-A1-R
reactivity :
human, mouse, rat
application :
western blot, flow cytometry, immunohistochemistry - paraffin section
more info or order :
image
image 1 :

Western blot analysis of EFTUD2 on different lysates with Mouse anti-EFTUD2 antibody (HA601216) at 1/2,000 dilution.
Lane 1: HeLa cell lysate
Lane 2: Jurkat cell lysate
Lane 3: HEK-293 cell lysate
Lane 4: U-87 MG cell lysate
Lane 5: LNCaP cell lysate
Lane 6: HepG2 cell lysate
Lane 7: K-562 cell lysate
Lane 8: C6 cell lysate
Lane 9: PC-12 cell lysate
Lane 10: NIH/3T3 cell lysate
Lane 11: RAW264.7 cell lysate
Lane 12: Mouse testis tissue lysate
Lane 13: Mouse kidney tissue lysate
Lane 14: Rat brain tissue lysate
Lysates/proteins at 20 µg/Lane.
Predicted band size: 109 kDa
Observed band size: 120 kDa
Exposure time: 10 seconds;
4-20% SDS-PAGE gel.
Proteins were transferred to a PVDF membrane and blocked with 5% NFDM/TBST for 1 hour at room temperature. The primary antibody (HA601216) at 1/2,000 dilution was used in 5% NFDM/TBST at 4℃ overnight. Goat Anti-Mouse IgG - HRP Secondary Antibody (HA1006) at 1/50,000 dilution was used for 1 hour at room temperature.
image 2 :

Immunohistochemical analysis of paraffin-embedded human breast cancer tissue with Mouse anti-EFTUD2 antibody (HA601216) at 1/2,000 dilution.
The section was pre-treated using heat mediated antigen retrieval with sodium citrate buffer (pH 6.0) (high pressure) for 2 minutes. The tissues were blocked in 1% BSA for 20 minutes at room temperature, washed with ddH2O and PBS, and then probed with the primary antibody (HA601216) at 1/2,000 dilution for 1 hour at room temperature. The detection was performed using an HRP conjugated compact polymer system. DAB was used as the chromogen. Tissues were counterstained with hematoxylin and mounted with DPX.
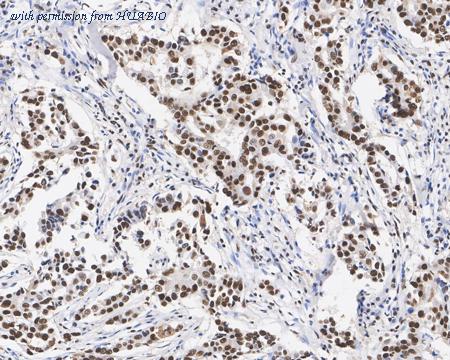
image 3 :

Immunohistochemical analysis of paraffin-embedded human colon cancer tissue with Mouse anti-EFTUD2 antibody (HA601216) at 1/2,000 dilution.
The section was pre-treated using heat mediated antigen retrieval with sodium citrate buffer (pH 6.0) (high pressure) for 2 minutes. The tissues were blocked in 1% BSA for 20 minutes at room temperature, washed with ddH2O and PBS, and then probed with the primary antibody (HA601216) at 1/2,000 dilution for 1 hour at room temperature. The detection was performed using an HRP conjugated compact polymer system. DAB was used as the chromogen. Tissues were counterstained with hematoxylin and mounted with DPX.
product information
SKU :
HA601216
Target name :
EFTUD2
Species reactivity :
Human,Mouse,Rat
Applications :
WB,IHC-P,IF-Tissue,IF-Cell,FC
Conjugate :
Non-conjugated
Immunogen :
Synthetic peptide within mouse Eftud2 aa 1-50 / 972.
Uniprot id :
Q15029>SwissProt: Q15029 Human;SwissProt: O08810 Mouse;Entrez Gene: 287739 Rat
Host :
Mouse
Clone number :
1-D10-A1-R
Isotype :
IgG1
Size :
100μl
List Price :
360.00 USD
Storage Buffer :
PBS (pH7.4), 0.1% BSA, 40% Glycerol. Preservative: 0.05% Sodium Azide.
Form :
Liquid
Storage Instruction :
Shipped at 4℃. Store at +4℃ short term (1-2 weeks). It is recommended to aliquot into single-use upon delivery. Store at -20℃ long term.
Purity :
Protein A affinity purified.
Product type :
Recombinant Mouse monoclonal Antibody
Positive control :
HeLa cell lysate, Jurkat cell lysate, HEK-293 cell lysate, U-87 MG cell lysate, LNCaP cell lysate, HepG2 cell lysate, K-562 cell lysate, C6 cell lysate, PC-12 cell lysate, NIH/3T3 cell lysate, RAW264.7 cell lysate, mouse testis tissue lysate, mouse kidney tissue lysate, rat brain tissue lysate, human breast cancer tissue, human colon cancer tissue, human colon tissue, human ovary cancer tissue, mouse colon tissue, mouse epididymis tissue, mouse kidney tissue, mouse testis tissue, rat testis tissue, HeLa, NIH/3T3.
Molecular wt :
Predicted band size: 109 kDa
Subcellular location :
Nucleus.
Concentration :
1 mg/mL.
Recommended dilutions :
WB: 1:2,000
;IHC-P: 1:500-1:2,000
;IF-Tissue: 1:500
;IF-Cell: 1:500
;FC: 1:1,000
Pic img4 :
https://storage.huabio.cn/huabio/productImg/HA601216_4.jpg
Pic legend4 :
Immunohistochemical analysis of paraffin-embedded human colon tissue with Mouse anti-EFTUD2 antibody (HA601216) at 1/2,000 dilution.
The section was pre-treated using heat mediated antigen retrieval with sodium citrate buffer (pH 6.0) (high pressure) for 2 minutes. The tissues were blocked in 1% BSA for 20 minutes at room temperature, washed with ddH2O and PBS, and then probed with the primary antibody (HA601216) at 1/2,000 dilution for 1 hour at room temperature. The detection was performed using an HRP conjugated compact polymer system. DAB was used as the chromogen. Tissues were counterstained with hematoxylin and mounted with DPX.
Pic img5 :
https://storage.huabio.cn/huabio/productImg/HA601216_5.jpg
Pic legend5 :
Immunohistochemical analysis of paraffin-embedded human ovary cancer tissue with Mouse anti-EFTUD2 antibody (HA601216) at 1/2,000 dilution.
The section was pre-treated using heat mediated antigen retrieval with sodium citrate buffer (pH 6.0) (high pressure) for 2 minutes. The tissues were blocked in 1% BSA for 20 minutes at room temperature, washed with ddH2O and PBS, and then probed with the primary antibody (HA601216) at 1/2,000 dilution for 1 hour at room temperature. The detection was performed using an HRP conjugated compact polymer system. DAB was used as the chromogen. Tissues were counterstained with hematoxylin and mounted with DPX.
Pic img6 :
https://storage.huabio.cn/huabio/productImg/HA601216_6.jpg
Pic legend6 :
Immunohistochemical analysis of paraffin-embedded mouse colon tissue with Mouse anti-EFTUD2 antibody (HA601216) at 1/500 dilution.
The section was pre-treated using heat mediated antigen retrieval with sodium citrate buffer (pH 6.0) (high pressure) for 2 minutes. The tissues were blocked in 1% BSA for 20 minutes at room temperature, washed with ddH2O and PBS, and then probed with the primary antibody (HA601216) at 1/500 dilution for 1 hour at room temperature. The detection was performed using an HRP conjugated compact polymer system. DAB was used as the chromogen. Tissues were counterstained with hematoxylin and mounted with DPX.
Pic img7 :
https://storage.huabio.cn/huabio/productImg/HA601216_7.jpg
Pic legend7 :
Immunohistochemical analysis of paraffin-embedded mouse epididymis tissue with Mouse anti-EFTUD2 antibody (HA601216) at 1/2,000 dilution.
The section was pre-treated using heat mediated antigen retrieval with sodium citrate buffer (pH 6.0) (high pressure) for 2 minutes. The tissues were blocked in 1% BSA for 20 minutes at room temperature, washed with ddH2O and PBS, and then probed with the primary antibody (HA601216) at 1/2,000 dilution for 1 hour at room temperature. The detection was performed using an HRP conjugated compact polymer system. DAB was used as the chromogen. Tissues were counterstained with hematoxylin and mounted with DPX.
Pic img8 :
https://storage.huabio.cn/huabio/productImg/HA601216_8.jpg
Pic legend8 :
Immunohistochemical analysis of paraffin-embedded mouse kidney tissue with Mouse anti-EFTUD2 antibody (HA601216) at 1/2,000 dilution.
The section was pre-treated using heat mediated antigen retrieval with sodium citrate buffer (pH 6.0) (high pressure) for 2 minutes. The tissues were blocked in 1% BSA for 20 minutes at room temperature, washed with ddH2O and PBS, and then probed with the primary antibody (HA601216) at 1/2,000 dilution for 1 hour at room temperature. The detection was performed using an HRP conjugated compact polymer system. DAB was used as the chromogen. Tissues were counterstained with hematoxylin and mounted with DPX.
Pic img9 :
https://storage.huabio.cn/huabio/productImg/HA601216_9.jpg
Pic legend9 :
Immunohistochemical analysis of paraffin-embedded mouse testis tissue with Mouse anti-EFTUD2 antibody (HA601216) at 1/2,000 dilution.
The section was pre-treated using heat mediated antigen retrieval with sodium citrate buffer (pH 6.0) (high pressure) for 2 minutes. The tissues were blocked in 1% BSA for 20 minutes at room temperature, washed with ddH2O and PBS, and then probed with the primary antibody (HA601216) at 1/2,000 dilution for 1 hour at room temperature. The detection was performed using an HRP conjugated compact polymer system. DAB was used as the chromogen. Tissues were counterstained with hematoxylin and mounted with DPX.
Pic img10 :
https://storage.huabio.cn/huabio/productImg/HA601216_10.jpg
Pic legend10 :
Immunohistochemical analysis of paraffin-embedded rat testis tissue with Mouse anti-EFTUD2 antibody (HA601216) at 1/2,000 dilution.
The section was pre-treated using heat mediated antigen retrieval with sodium citrate buffer (pH 6.0) (high pressure) for 2 minutes. The tissues were blocked in 1% BSA for 20 minutes at room temperature, washed with ddH2O and PBS, and then probed with the primary antibody (HA601216) at 1/2,000 dilution for 1 hour at room temperature. The detection was performed using an HRP conjugated compact polymer system. DAB was used as the chromogen. Tissues were counterstained with hematoxylin and mounted with DPX.
Pic img11 :
https://storage.huabio.cn/huabio/productImg/HA601216_11.jpg
Pic legend11 :
Immunofluorescence analysis of paraffin-embedded human breast cancer tissue labeling EFTUD2 with Mouse anti-EFTUD2 antibody (HA601216) at 1/500 dilution.
The section was pre-treated using heat mediated antigen retrieval with sodium citrate buffer (pH 6.0) (high pressure) for 2 minutes. The tissues were blocked in 10% negative goat serum for 1 hour at room temperature, washed with PBS, and then probed with the primary antibody (HA601216, green) at 1/500 dilution overnight at 4 ℃, washed with PBS. Goat Anti-Mouse IgG H&L (iFluor™ 488, HA1125) was used as the secondary antibody at 1/1,000 dilution. Nuclei were counterstained with DAPI (blue).
Pic img12 :
https://storage.huabio.cn/huabio/productImg/HA601216_12.jpg
Pic legend12 :
Immunofluorescence analysis of paraffin-embedded rat testis tissue labeling EFTUD2 with Mouse anti-EFTUD2 antibody (HA601216) at 1/500 dilution.
The section was pre-treated using heat mediated antigen retrieval with sodium citrate buffer (pH 6.0) (high pressure) for 2 minutes. The tissues were blocked in 10% negative goat serum for 1 hour at room temperature, washed with PBS, and then probed with the primary antibody (HA601216, green) at 1/500 dilution overnight at 4 ℃, washed with PBS. Goat Anti-Mouse IgG H&L (iFluor™ 488, HA1125) was used as the secondary antibody at 1/1,000 dilution. Nuclei were counterstained with DAPI (blue).
Pic img13 :
https://storage.huabio.cn/huabio/productImg/HA601216_13.jpg
Pic legend13 :
Immunocytochemistry analysis of HeLa cells labeling EFTUD2 with Mouse anti-EFTUD2 antibody (HA601216) at 1/500 dilution.
Cells were fixed in 4% paraformaldehyde for 20 minutes at room temperature, permeabilized with 0.1% Triton X-100 in PBS for 5 minutes at room temperature, then blocked with 1% BSA in 10% negative goat serum for 1 hour at room temperature. Cells were then incubated with Mouse anti-EFTUD2 antibody (HA601216) at 1/500 dilution in 1% BSA in PBST overnight at 4 ℃. Goat Anti-Mouse IgG H&L (iFluor™ 488, HA1125) was used as the secondary antibody at 1/1,000 dilution. PBS instead of the primary antibody was used as the secondary antibody only control. Nuclear DNA was labelled in blue with DAPI.
beta Tubulin (ET1602-4, red) was stained at 1/100 dilution overnight at +4℃. Goat Anti-Rabbit IgG H&L (iFluor™ 594, HA1122) were used as the secondary antibody at 1/1,000 dilution.
Pic img14 :
https://storage.huabio.cn/huabio/productImg/HA601216_14.jpg
Pic legend14 :
Immunocytochemistry analysis of NIH/3T3 cells labeling EFTUD2 with Mouse anti-EFTUD2 antibody (HA601216) at 1/500 dilution.
Cells were fixed in 4% paraformaldehyde for 20 minutes at room temperature, permeabilized with 0.1% Triton X-100 in PBS for 5 minutes at room temperature, then blocked with 1% BSA in 10% negative goat serum for 1 hour at room temperature. Cells were then incubated with Mouse anti-EFTUD2 antibody (HA601216) at 1/500 dilution in 1% BSA in PBST overnight at 4 ℃. Goat Anti-Mouse IgG H&L (iFluor™ 488, HA1125) was used as the secondary antibody at 1/1,000 dilution. PBS instead of the primary antibody was used as the secondary antibody only control. Nuclear DNA was labelled in blue with DAPI.
beta Tubulin (ET1602-4, red) was stained at 1/100 dilution overnight at +4℃. Goat Anti-Rabbit IgG H&L (iFluor™ 594, HA1122) were used as the secondary antibody at 1/1,000 dilution.
Pic img15 :
https://storage.huabio.cn/huabio/productImg/HA601216_15.jpg
Pic legend15 :
Flow cytometric analysis of HeLa cells labeling EFTUD2.
Cells were fixed and permeabilized. Then stained with the primary antibody (HA601216, 1μg/mL) (red) compared with Mouse IgG1 Isotype Control (green). After incubation of the primary antibody at +4℃ for an hour, the cells were stained with a iFluor™ 488 conjugate-Goat anti-Mouse IgG Secondary antibody (HA1125) at 1/1,000 dilution for 30 minutes at +4℃. Unlabelled sample was used as a control (cells without incubation with primary antibody; black).
Pic img16 :
https://storage.huabio.cn/huabio/productImg/HA601216_16.jpg
Pic legend16 :
Flow cytometric analysis of NIH/3T3 cells labeling EFTUD2.
Cells were fixed and permeabilized. Then stained with the primary antibody (HA601216, 1μg/mL) (red) compared with Mouse IgG1 Isotype Control (green). After incubation of the primary antibody at +4℃ for an hour, the cells were stained with a iFluor™ 488 conjugate-Goat anti-Mouse IgG Secondary antibody (HA1125) at 1/1,000 dilution for 30 minutes at +4℃. Unlabelled sample was used as a control (cells without incubation with primary antibody; black).
more info or order :
company information

HUABIO
Founded in 2007, HUABIO is dedicated to developing high-quality antibodies that advance innovation. We are passionate about the accuracy, efficiency, and consistency of our products. That is why we have invested in new production platforms, like recombinant rabbit monoclonals, alpaca nanobodies, and adopted aggressive QA standards to deliver cutting-edge antibodies with uncompromised quality.
We hope to see you at your next discovery!
We hope to see you at your next discovery!
related products
browse more products
questions and comments
