product summary
Loading...
company name :
HUABIO
product type :
antibody
product name :
ACSL3
catalog :
HA601213
quantity :
100μl
price :
360.00 USD
clonality :
monoclonal
host :
mouse
conjugate :
nonconjugated
clone name :
A8F6-R
reactivity :
human
application :
western blot, immunohistochemistry - paraffin section
more info or order :
image
image 1 :

Western blot analysis of ACSL3 on different lysates with Mouse anti-ACSL3 antibody (HA601213) at 1/1,000 dilution.
Lane 1: HeLa cell lysate
Lane 2: K-562 cell lysate
Lane 3: A431 cell lysate
Lane 4: 293T cell lysate
Lysates/proteins at 20 µg/Lane.
Predicted band size: 80 kDa
Observed band size: 70 kDa
Exposure time: 3 minutes;
4-20% SDS-PAGE gel.
Proteins were transferred to a PVDF membrane and blocked with 5% NFDM/TBST for 1 hour at room temperature. The primary antibody (HA601213) at 1/1,000 dilution was used in 5% NFDM/TBST at 4℃ overnight. Goat Anti-Mouse IgG - HRP Secondary Antibody (HA1006) at 1/50,000 dilution was used for 1 hour at room temperature.
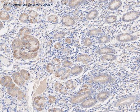
image 2 :

Immunohistochemical analysis of paraffin-embedded human stomach tissue with Mouse anti-ACSL3 antibody (HA601213) at 1/500 dilution.
The section was pre-treated using heat mediated antigen retrieval with Tris-EDTA buffer (pH 9.0) for 20 minutes. The tissues were blocked in 1% BSA for 20 minutes at room temperature, washed with ddH2O and PBS, and then probed with the primary antibody (HA601213) at 1/500 dilution for 1 hour at room temperature. The detection was performed using an HRP conjugated compact polymer system. DAB was used as the chromogen. Tissues were counterstained with hematoxylin and mounted with DPX.
product information
SKU :
HA601213
Target name :
ACSL3
Species reactivity :
Human
Applications :
WB,IHC-P
Conjugate :
Non-conjugated
Immunogen :
Recombinant protein within human ACSL3 aa 180-380.
Uniprot id :
O95573>SwissProt: O95573 Human
Host :
Mouse
Clone number :
A8F6-R
Isotype :
IgG1
Size :
100μl
List Price :
360.00 USD
Storage Buffer :
PBS (pH7.4), 0.1% BSA, 40% Glycerol. Preservative: 0.05% Sodium Azide.
Form :
Liquid
Storage Instruction :
Shipped at 4℃. Store at +4℃ short term (1-2 weeks). It is recommended to aliquot into single-use upon delivery. Store at -20℃ long term.
Purity :
Protein A affinity purified.
Product type :
Recombinant Mouse monoclonal Antibody
Positive control :
HeLa cell lysate, K-562 cell lysate, A431 cell lysate, 293T cell lysate, human stomach tissue.
Molecular wt :
Predicted band size: 80 kDa
Subcellular location :
Mitochondrion, Peroxisome, Endoplasmic reticulum.
Concentration :
1 mg/mL.
Recommended dilutions :
WB: 1:1,000
;IHC-P: 1,500
more info or order :
company information

HUABIO
Founded in 2007, HUABIO is dedicated to developing high-quality antibodies that advance innovation. We are passionate about the accuracy, efficiency, and consistency of our products. That is why we have invested in new production platforms, like recombinant rabbit monoclonals, alpaca nanobodies, and adopted aggressive QA standards to deliver cutting-edge antibodies with uncompromised quality.
We hope to see you at your next discovery!
We hope to see you at your next discovery!
related products
browse more products
questions and comments
