product summary
Loading...
company name :
HUABIO
product type :
antibody
product name :
MUC5AC
catalog :
HA601182
quantity :
100μl
price :
360.00 USD
clonality :
monoclonal
host :
mouse
conjugate :
nonconjugated
clone name :
A10G6-R
reactivity :
human
application :
immunohistochemistry - paraffin section
more info or order :
image
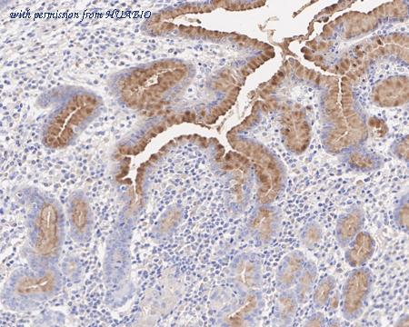
image 1 :

Immunohistochemical analysis of paraffin-embedded human stomach tissue with Mouse anti-MUC5AC antibody (HA601182) at 1/1,000 dilution.
The section was pre-treated using heat mediated antigen retrieval with Tris-EDTA buffer (pH 9.0) for 20 minutes. The tissues were blocked in 1% BSA for 20 minutes at room temperature, washed with ddH2O and PBS, and then probed with the primary antibody (HA601182) at 1/1,000 dilution for 1 hour at room temperature. The detection was performed using an HRP conjugated compact polymer system. DAB was used as the chromogen. Tissues were counterstained with hematoxylin and mounted with DPX.
product information
SKU :
HA601182
Target name :
MUC5AC
Species reactivity :
Human
Applications :
IHC-P
Conjugate :
Non-conjugated
Immunogen :
Recombinant protein within Human MUC5AC aa 600-850.
Uniprot id :
P98088>SwissProt: P98088 Human
Host :
Mouse
Clone number :
A10G6-R
Isotype :
IgG1
Size :
100μl
List Price :
360.00 USD
Storage Buffer :
PBS (pH7.4), 0.1% BSA, 40% Glycerol. Preservative: 0.05% Sodium Azide.
Form :
Liquid
Storage Instruction :
Shipped at 4℃. Store at +4℃ short term (1-2 weeks). It is recommended to aliquot into single-use upon delivery. Store at -20℃ long term.
Purity :
Protein A affinity purified.
Product type :
Recombinant Mouse monoclonal Antibody
Positive control :
Human stomach tissue.
Molecular wt :
Predicted band size: 586 kDa
Subcellular location :
Secreted.
Concentration :
1 mg/mL.
Recommended dilutions :
IHC-P: 1:1,000
more info or order :
company information

HUABIO
Founded in 2007, HUABIO is dedicated to developing high-quality antibodies that advance innovation. We are passionate about the accuracy, efficiency, and consistency of our products. That is why we have invested in new production platforms, like recombinant rabbit monoclonals, alpaca nanobodies, and adopted aggressive QA standards to deliver cutting-edge antibodies with uncompromised quality.
We hope to see you at your next discovery!
We hope to see you at your next discovery!
related products
browse more products
questions and comments
