product summary
Loading...
company name :
HUABIO
product type :
antibody
product name :
Cyclin E2
catalog :
HA601146
quantity :
100μl
price :
360.00 USD
clonality :
monoclonal
host :
mouse
conjugate :
nonconjugated
clone name :
40-89-R
reactivity :
human
application :
western blot, immunohistochemistry - paraffin section
more info or order :
image
image 1 :

Western blot analysis of Cyclin E2 on different lysates with Mouse anti-Cyclin E2 antibody (HA601146) at 1/1,000 dilution.
Lane 1: HeLa cell lysate
Lane 2: Jurkat cell lysate
Lane 3: K-562 cell lysate
Lane 4: A549 cell lysate
Lane 5: MCF7 cell lysate
Lane 6: HEK-293 cell lysate
Lane 7: HepG2 cell lysate
Lysates/proteins at 20 µg/Lane.
Predicted band size: 47 kDa
Observed band size: 51/47 kDa
Exposure time: 2 minutes;
4-20% SDS-PAGE gel.
Proteins were transferred to a PVDF membrane and blocked with 5% NFDM/TBST for 1 hour at room temperature. The primary antibody (HA601146) at 1/1,000 dilution was used in 5% NFDM/TBST at room temperature for 2 hours. Goat Anti-Mouse IgG - HRP Secondary Antibody (HA1006) at 1:150,000 dilution was used for 1 hour at room temperature.
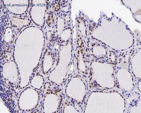
image 2 :

Immunohistochemical analysis of paraffin-embedded human thyroid tissue with Mouse anti-Cyclin E2 antibody (HA601146) at 1/1,000 dilution.
The section was pre-treated using heat mediated antigen retrieval with sodium citrate buffer (pH 6.0) (high pressure) for 2 minutes. The tissues were blocked in 1% BSA for 20 minutes at room temperature, washed with ddH2O and PBS, and then probed with the primary antibody (HA601146) at 1/1,000 dilution for 1 hour at room temperature. The detection was performed using an HRP conjugated compact polymer system. DAB was used as the chromogen. Tissues were counterstained with hematoxylin and mounted with DPX.
image 3 :

Immunohistochemical analysis of paraffin-embedded human testis tissue with Mouse anti-Cyclin E2 antibody (HA601146) at 1/200 dilution.
The section was pre-treated using heat mediated antigen retrieval with sodium citrate buffer (pH 6.0) (high pressure) for 2 minutes. The tissues were blocked in 1% BSA for 20 minutes at room temperature, washed with ddH2O and PBS, and then probed with the primary antibody (HA601146) at 1/200 dilution for 1 hour at room temperature. The detection was performed using an HRP conjugated compact polymer system. DAB was used as the chromogen. Tissues were counterstained with hematoxylin and mounted with DPX.
product information
SKU :
HA601146
Target name :
Cyclin E2
Species reactivity :
Human
Applications :
WB,IHC-P,IF-Cell
Conjugate :
Non-conjugated
Immunogen :
Synthetic peptide within Human Cyclin E2 aa 1-50 / 404.
Uniprot id :
O96020>SwissProt: O96020 Human
Host :
Mouse
Clone number :
40-89-R
Isotype :
IgG
Size :
100μl
List Price :
360.00 USD
Storage Buffer :
PBS (pH7.4), 0.1% BSA, 40% Glycerol. Preservative: 0.05% Sodium Azide.
Form :
Liquid
Storage Instruction :
Shipped at 4℃. Store at +4℃ short term (1-2 weeks). It is recommended to aliquot into single-use upon delivery. Store at -20℃ long term.
Purity :
Protein A affinity purified.
Product type :
Recombinant Mouse monoclonal Antibody
Positive control :
HeLa cell lysate, Jurkat cell lysate, K-562 cell lysate, A549 cell lysate, MCF7 cell lysate, HEK-293 cell lysate, HepG2 cell lysate, human thyroid tissue, human testis tissue, HeLa.
Molecular wt :
Predicted band size: 47 kDa
Subcellular location :
Nucleus.
Concentration :
1 mg/mL.
Recommended dilutions :
WB: 1:1,000
;IHC-P: 1:200-1:1,000
;IF-Cell: 1:100
Pic img4 :
https://storage.huabio.cn/huabio/productImg/HA601146_4.jpg
Pic legend4 :
Immunocytochemistry analysis of HeLa cells labeling Cyclin E2 with Mouse anti-Cyclin E2 antibody (HA601146) at 1/100 dilution.
Cells were fixed in 4% paraformaldehyde for 30 minutes, permeabilized with 0.05% Triton X-100 in PBS for 20 minutes, and then blocked with 2% negative goat serum for 30 minutes at room temperature. Cells were then incubated with Mouse anti-Cyclin E2 antibody (HA601146) at 1/100 dilution in 2% negative goat serum overnight at 4 ℃. Goat Anti-Mouse IgG H&L (iFluor™ 488, HA1125) was used as the secondary antibody at 1/1,000 dilution. Nuclear DNA was labelled in blue with DAPI.
beta Tubulin (ET1602-4, red) was stained at 1/100 dilution overnight at +4℃. Goat Anti-Rabbit IgG H&L (iFluor™ 594, HA1122) were used as the secondary antibody at 1/1,000 dilution.
more info or order :
company information

HUABIO
Founded in 2007, HUABIO is dedicated to developing high-quality antibodies that advance innovation. We are passionate about the accuracy, efficiency, and consistency of our products. That is why we have invested in new production platforms, like recombinant rabbit monoclonals, alpaca nanobodies, and adopted aggressive QA standards to deliver cutting-edge antibodies with uncompromised quality.
We hope to see you at your next discovery!
We hope to see you at your next discovery!
related products
browse more products
questions and comments
