product summary
Loading...
company name :
HUABIO
product type :
antibody
product name :
TMED9
catalog :
HA601129
quantity :
100μl
price :
360.00 USD
clonality :
monoclonal
host :
mouse
conjugate :
nonconjugated
clone name :
A9A7-R
reactivity :
human, mouse, rat
application :
western blot, immunohistochemistry - paraffin section
more info or order :
image
image 1 :

Western blot analysis of TMED9 on different lysates with Mouse anti-TMED9 antibody (HA601129) at 1/1,000 dilution.
Lane 1: Hela cell lysate
Lane 2: HepG2 cell lysate
Lane 3: LO2 cell lysate
Lane 4: THP-1 cell lysate
Lane 5: A431 cell lysate
Lane 6: A549 cell lysate
Lane 7: MCF-7 cell lysate
Lane 8: Raji cell lysate
Lane 9: PC-12 cell lysate
Lane 10: NIH/3T3 cell lysate
Lane 11: Human lung tissue lysate
Lane 12: Mouse lung tissue lysate
Lane 13: Mouse liver tissue lysate
Lysates/proteins at 30 µg/Lane.
Predicted band size: 27 kDa
Observed band size: 27 kDa
Exposure time: 10 seconds;
12% SDS-PAGE gel.
Proteins were transferred to a PVDF membrane and blocked with 5% NFDM/TBST for 1 hour at room temperature. The primary antibody (HA601129) at 1/1,000 dilution was used in 5% NFDM/TBST at room temperature for 2 hours. Goat Anti-Mouse IgG - HRP Secondary Antibody (HA1006) at 1:150,000 dilution was used for 1 hour at room temperature.
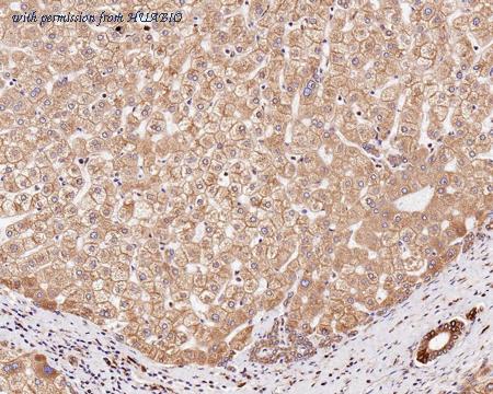
image 2 :

Immunohistochemical analysis of paraffin-embedded human liver tissue with Mouse anti-TMED9 antibody (HA601129) at 1/1,000 dilution.
The section was pre-treated using heat mediated antigen retrieval with Tris-EDTA buffer (pH 9.0) for 20 minutes. The tissues were blocked in 1% BSA for 20 minutes at room temperature, washed with ddH2O and PBS, and then probed with the primary antibody (HA601129) at 1/1,000 dilution for 1 hour at room temperature. The detection was performed using an HRP conjugated compact polymer system. DAB was used as the chromogen. Tissues were counterstained with hematoxylin and mounted with DPX.
image 3 :

Immunohistochemical analysis of paraffin-embedded human lung tissue with Mouse anti-TMED9 antibody (HA601129) at 1/200 dilution.
The section was pre-treated using heat mediated antigen retrieval with Tris-EDTA buffer (pH 9.0) for 20 minutes. The tissues were blocked in 1% BSA for 20 minutes at room temperature, washed with ddH2O and PBS, and then probed with the primary antibody (HA601129) at 1/200 dilution for 1 hour at room temperature. The detection was performed using an HRP conjugated compact polymer system. DAB was used as the chromogen. Tissues were counterstained with hematoxylin and mounted with DPX.
product information
SKU :
HA601129
Target name :
TMED9
Species reactivity :
Human,Mouse,Rat
Applications :
WB,IHC-P
Conjugate :
Non-conjugated
Immunogen :
Recombinant protein within Human TMED9 aa 31-220 / 235.
Uniprot id :
Q9BVK6>SwissProt: Q9BVK6 Human;SwissProt: Q99KF1 Mouse;SwissProt: Q5I0E7 Rat
Host :
Mouse
Clone number :
A9A7-R
Isotype :
IgG1
Size :
100μl
List Price :
360.00 USD
Storage Buffer :
PBS (pH7.4), 0.1% BSA, 40% Glycerol. Preservative: 0.05% Sodium Azide.
Form :
Liquid
Storage Instruction :
Shipped at 4℃. Store at +4℃ short term (1-2 weeks). It is recommended to aliquot into single-use upon delivery. Store at -20℃ long term.
Purity :
Protein A affinity purified.
Product type :
Recombinant Mouse monoclonal Antibody
Positive control :
Hela cell lysate, HepG2 cell lysate, LO2 cell lysate, THP-1 cell lysate, A431 cell lysate, A549 cell lysate, MCF-7 cell lysate, Raji cell lysate, PC-12 cell lysate, NIH/3T3 cell lysate, human lung tissue lysate, mouse lung tissue lysate, mouse liver tissue lysate, human liver tissue, human lung tissue, human pancreas tissue, mouse liver tissue, mouse lung tissue, rat liver tissue, rat lung tissue.
Molecular wt :
Predicted band size: 27 kDa
Subcellular location :
Endoplasmic reticulum membrane, Golgi apparatus, Endoplasmic reticulum-Golgi intermediate compartment membrane.
Concentration :
1 mg/ml
Recommended dilutions :
WB: 1:1,000
;IHC-P: 1:200-1:1,000
Pic img4 :
https://storage.huabio.cn/huabio/productImg/HA601129_4.jpg
Pic legend4 :
Immunohistochemical analysis of paraffin-embedded human pancreas tissue with Mouse anti-TMED9 antibody (HA601129) at 1/1,000 dilution.
The section was pre-treated using heat mediated antigen retrieval with Tris-EDTA buffer (pH 9.0) for 20 minutes. The tissues were blocked in 1% BSA for 20 minutes at room temperature, washed with ddH2O and PBS, and then probed with the primary antibody (HA601129) at 1/1,000 dilution for 1 hour at room temperature. The detection was performed using an HRP conjugated compact polymer system. DAB was used as the chromogen. Tissues were counterstained with hematoxylin and mounted with DPX.
Pic img5 :
https://storage.huabio.cn/huabio/productImg/HA601129_5.jpg
Pic legend5 :
Immunohistochemical analysis of paraffin-embedded mouse liver tissue with Mouse anti-TMED9 antibody (HA601129) at 1/1,000 dilution.
The section was pre-treated using heat mediated antigen retrieval with Tris-EDTA buffer (pH 9.0) for 20 minutes. The tissues were blocked in 1% BSA for 20 minutes at room temperature, washed with ddH2O and PBS, and then probed with the primary antibody (HA601129) at 1/1,000 dilution for 1 hour at room temperature. The detection was performed using an HRP conjugated compact polymer system. DAB was used as the chromogen. Tissues were counterstained with hematoxylin and mounted with DPX.
Pic img6 :
https://storage.huabio.cn/huabio/productImg/HA601129_6.jpg
Pic legend6 :
Immunohistochemical analysis of paraffin-embedded mouse lung tissue with Mouse anti-TMED9 antibody (HA601129) at 1/1,000 dilution.
The section was pre-treated using heat mediated antigen retrieval with Tris-EDTA buffer (pH 9.0) for 20 minutes. The tissues were blocked in 1% BSA for 20 minutes at room temperature, washed with ddH2O and PBS, and then probed with the primary antibody (HA601129) at 1/1,000 dilution for 1 hour at room temperature. The detection was performed using an HRP conjugated compact polymer system. DAB was used as the chromogen. Tissues were counterstained with hematoxylin and mounted with DPX.
Pic img7 :
https://storage.huabio.cn/huabio/productImg/HA601129_7.jpg
Pic legend7 :
Immunohistochemical analysis of paraffin-embedded rat liver tissue with Mouse anti-TMED9 antibody (HA601129) at 1/1,000 dilution.
The section was pre-treated using heat mediated antigen retrieval with Tris-EDTA buffer (pH 9.0) for 20 minutes. The tissues were blocked in 1% BSA for 20 minutes at room temperature, washed with ddH2O and PBS, and then probed with the primary antibody (HA601129) at 1/1,000 dilution for 1 hour at room temperature. The detection was performed using an HRP conjugated compact polymer system. DAB was used as the chromogen. Tissues were counterstained with hematoxylin and mounted with DPX.
Pic img8 :
https://storage.huabio.cn/huabio/productImg/HA601129_8.jpg
Pic legend8 :
Immunohistochemical analysis of paraffin-embedded rat lung tissue with Mouse anti-TMED9 antibody (HA601129) at 1/1,000 dilution.
The section was pre-treated using heat mediated antigen retrieval with Tris-EDTA buffer (pH 9.0) for 20 minutes. The tissues were blocked in 1% BSA for 20 minutes at room temperature, washed with ddH2O and PBS, and then probed with the primary antibody (HA601129) at 1/1,000 dilution for 1 hour at room temperature. The detection was performed using an HRP conjugated compact polymer system. DAB was used as the chromogen. Tissues were counterstained with hematoxylin and mounted with DPX.
more info or order :
company information

HUABIO
Founded in 2007, HUABIO is dedicated to developing high-quality antibodies that advance innovation. We are passionate about the accuracy, efficiency, and consistency of our products. That is why we have invested in new production platforms, like recombinant rabbit monoclonals, alpaca nanobodies, and adopted aggressive QA standards to deliver cutting-edge antibodies with uncompromised quality.
We hope to see you at your next discovery!
We hope to see you at your next discovery!
related products
browse more products
questions and comments
