product summary
Loading...
company name :
HUABIO
product type :
antibody
product name :
Protein CASP
catalog :
HA601128
quantity :
100μl
price :
360.00 USD
clonality :
monoclonal
host :
mouse
conjugate :
nonconjugated
clone name :
A9F6
reactivity :
human, mouse, rat
application :
western blot, immunohistochemistry - paraffin section
more info or order :
image
image 1 :

Western blot analysis of Protein CASP on different lysates with Mouse anti-Protein CASP antibody (HA601128) at 1/50,000 dilution.
Lane 1: SH-SY5Y cell lysate
Lane 2: 293T cell lysate
Lane 3: SK-Br-3 cell lysate
Lane 4: HeLa cell lysate
Lane 5: NIH/3T3 cell lysate
Lane 6: PC-12 cell lysate
Lane 7: Mouse brain tissue lysate
Lysates/proteins at 20 µg/Lane.
Predicted band size: 77 kDa
Observed band size: 77 kDa
Exposure time: 10 seconds; ECL: K1801;
4-20% SDS-PAGE gel.
Proteins were transferred to a PVDF membrane and blocked with 5% NFDM/TBST for 1 hour at room temperature. The primary antibody (HA601128) at 1/50,000 dilution was used in primary antibody dilution (K1803) at 4℃ overnight. Goat Anti-Mouse IgG - HRP Secondary Antibody (HA1006) at 1/50,000 dilution was used for 1 hour at room temperature.
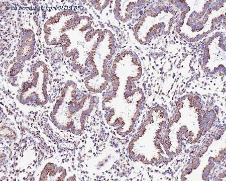
image 2 :

Immunohistochemical analysis of paraffin-embedded human endometrium tissue with Mouse anti-Protein CASP antibody (HA601128) at 1ug/mL dilution.
The section was pre-treated using heat mediated antigen retrieval with sodium citrate buffer (pH 6.0) (high pressure) for 2 minutes. The tissues were blocked in 1% BSA for 20 minutes at room temperature, washed with ddH2O and PBS, and then probed with the primary antibody (HA601128) at 1ug/mL dilution for 1 hour at room temperature. The detection was performed using an HRP conjugated compact polymer system. DAB was used as the chromogen. Tissues were counterstained with hematoxylin and mounted with DPX.
image 3 :

Immunohistochemical analysis of paraffin-embedded human kidney tissue with Mouse anti-Protein CASP antibody (HA601128) at 1ug/mL dilution.
The section was pre-treated using heat mediated antigen retrieval with sodium citrate buffer (pH 6.0) (high pressure) for 2 minutes. The tissues were blocked in 1% BSA for 20 minutes at room temperature, washed with ddH2O and PBS, and then probed with the primary antibody (HA601128) at 1ug/mL dilution for 1 hour at room temperature. The detection was performed using an HRP conjugated compact polymer system. DAB was used as the chromogen. Tissues were counterstained with hematoxylin and mounted with DPX.
product information
SKU :
HA601128
Target name :
Protein CASP
Species reactivity :
Human,Mouse,Rat
Applications :
WB,IHC-P,IF-Cell
Conjugate :
Non-conjugated
Immunogen :
Recombinant protein within human Protein CASP aa 6-55.
Uniprot id :
Q13948>SwissProt: Q13948 Human;SwissProt: P39880 Human;SwissProt: P70403 Mouse;SwissProt: P53564 Mouse;SwissProt: P53565 Rat
Host :
Mouse
Clone number :
A9F6
Isotype :
IgG1
Size :
100μl
List Price :
360.00 USD
Storage Buffer :
PBS (pH7.4), 0.1% BSA, 40% Glycerol. Preservative: 0.05% Sodium Azide.
Form :
Liquid
Storage Instruction :
Shipped at 4℃. Store at +4℃ short term (1-2 weeks). It is recommended to aliquot into single-use upon delivery. Store at -20℃ long term.
Purity :
Protein A affinity purified.
Product type :
Mouse monoclonal Antibody
Positive control :
SH-SY5Y cell lysate, 293T cell lysate, SK-Br-3 cell lysate, HeLa cell lysate, NIH/3T3 cell lysate, PC-12 cell lysate, Mouse brain tissue lysate, human endometrium tissue, human kidney tissue, human small intestine tissue, rat brain tissue, HeLa, SH-SY5Y.
Molecular wt :
Predicted band size: 77 kDa
Subcellular location :
Golgi apparatus membrane.
Concentration :
1mg/mL.
Recommended dilutions :
WB: 1:50,000
;IHC-P: 1:200-1:1,000
;IF-Cell: 1:200-1:1,000
Pic img4 :
https://storage.huabio.cn/huabio/productImg/HA601128_4.jpg
Pic legend4 :
Immunohistochemical analysis of paraffin-embedded human small intestine tissue with Mouse anti-Protein CASP antibody (HA601128) at 1ug/mL dilution.
The section was pre-treated using heat mediated antigen retrieval with sodium citrate buffer (pH 6.0) (high pressure) for 2 minutes. The tissues were blocked in 1% BSA for 20 minutes at room temperature, washed with ddH2O and PBS, and then probed with the primary antibody (HA601128) at 1ug/mL dilution for 1 hour at room temperature. The detection was performed using an HRP conjugated compact polymer system. DAB was used as the chromogen. Tissues were counterstained with hematoxylin and mounted with DPX.
Pic img5 :
https://storage.huabio.cn/huabio/productImg/HA601128_5.jpg
Pic legend5 :
Immunohistochemical analysis of paraffin-embedded rat brain tissue with Mouse anti-Protein CASP antibody (HA601128) at 1ug/mL dilution.
The section was pre-treated using heat mediated antigen retrieval with sodium citrate buffer (pH 6.0) (high pressure) for 2 minutes. The tissues were blocked in 1% BSA for 20 minutes at room temperature, washed with ddH2O and PBS, and then probed with the primary antibody (HA601128) at 1ug/mL dilution for 1 hour at room temperature. The detection was performed using an HRP conjugated compact polymer system. DAB was used as the chromogen. Tissues were counterstained with hematoxylin and mounted with DPX.
Pic img6 :
https://storage.huabio.cn/huabio/productImg/HA601128_6.jpg
Pic legend6 :
Immunocytochemistry analysis of HeLa cells labeling Protein CASP with Mouse anti-Protein CASP antibody (HA601128) at 1ug/mL dilution.
Cells were fixed in 4% paraformaldehyde for 30 minutes, permeabilized with 0.05% Triton X-100 in PBS for 20 minutes, and then blocked with 2% negative goat serum for 30 minutes at room temperature. Cells were then incubated with Mouse anti-Protein CASP antibody (HA601128) at 1ug/mL dilution in 2% negative goat serum overnight at 4 ℃. Goat Anti-Mouse IgG H&L (iFluor™ 488, HA1125) was used as the secondary antibody at 1/1,000 dilution. Nuclear DNA was labelled in blue with DAPI.
beta Tubulin (ET1602-4, red) was stained at 1/100 dilution overnight at +4℃. Goat Anti-Rabbit IgG H&L (iFluor™ 594, HA1122) were used as the secondary antibody at 1/1,000 dilution.
Pic img7 :
https://storage.huabio.cn/huabio/productImg/HA601128_7.jpg
Pic legend7 :
Immunocytochemistry analysis of SH-SY5Y cells labeling Protein CASP with Mouse anti-Protein CASP antibody (HA601128) at 1ug/mL dilution.
Cells were fixed in 4% paraformaldehyde for 30 minutes, permeabilized with 0.05% Triton X-100 in PBS for 20 minutes, and then blocked with 2% negative goat serum for 30 minutes at room temperature. Cells were then incubated with Mouse anti-Protein CASP antibody (HA601128) at 1ug/mL dilution in 2% negative goat serum overnight at 4 ℃. Goat Anti-Mouse IgG H&L (iFluor™ 488, HA1125) was used as the secondary antibody at 1/1,000 dilution. Nuclear DNA was labelled in blue with DAPI.
beta Tubulin (ET1602-4, red) was stained at 1/100 dilution overnight at +4℃. Goat Anti-Rabbit IgG H&L (iFluor™ 594, HA1122) were used as the secondary antibody at 1/1,000 dilution.
more info or order :
company information

HUABIO
Founded in 2007, HUABIO is dedicated to developing high-quality antibodies that advance innovation. We are passionate about the accuracy, efficiency, and consistency of our products. That is why we have invested in new production platforms, like recombinant rabbit monoclonals, alpaca nanobodies, and adopted aggressive QA standards to deliver cutting-edge antibodies with uncompromised quality.
We hope to see you at your next discovery!
We hope to see you at your next discovery!
related products
browse more products
questions and comments
