product summary
Loading...
company name :
HUABIO
product type :
antibody
product name :
ASS1
catalog :
HA601101
quantity :
100μl
price :
360.00 USD
clonality :
monoclonal
host :
mouse
conjugate :
nonconjugated
clone name :
11F1-RA
reactivity :
human, mouse, rat
application :
western blot, immunohistochemistry - paraffin section
more info or order :
image
image 1 :

Western blot analysis of ASS1 on different lysates with Mouse anti-ASS1 antibody (HA601101) at 1/5,000 dilution.
Lane 1: HepG2 cell lysate (15 µg/Lane)
Lane 2: Human liver tissue lysate (30 µg/Lane)
Lane 3: Human kidney tissue lysate (30 µg/Lane)
Lane 4: Mouse liver tissue lysate (30 µg/Lane)
Lane 5: Mouse kidney tissue lysate (30 µg/Lane)
Lane 6: Rat liver tissue lysate (30 µg/Lane)
Lane 7: Rat kidney tissue lysate (30 µg/Lane)
Predicted band size: 47 kDa
Observed band size: 45 kDa
Exposure time: 6 seconds; ECL: K1801;
4-20% SDS-PAGE gel.
Proteins were transferred to a PVDF membrane and blocked with 5% NFDM/TBST for 1 hour at room temperature. The primary antibody (HA601101) at 1/5,000 dilution was used in 5% NFDM/TBST at 4℃ overnight. Goat Anti-Mouse IgG - HRP Secondary Antibody (HA1006) at 1/50,000 dilution was used for 1 hour at room temperature.
image 2 :

Western blot analysis of ASS1 on different lysates with Mouse anti-ASS1 antibody (HA601101) at 1/2,000 dilution.
Lane 1: A549-WT cell lysate
Lane 2: A549-KD ASS1 cell lysate
Lysates/proteins at 10 µg/Lane.
Predicted band size: 47 kDa
Observed band size: 45 kDa
Exposure time: 3 minutes; ECL: K1802;
4-20% SDS-PAGE gel.
Proteins were transferred to a PVDF membrane and blocked with 5% NFDM/TBST for 1 hour at room temperature. The primary antibody (HA601101) at 1/2,000 dilution was used in 5% NFDM/TBST at 4℃ overnight. Goat Anti-Mouse IgG - HRP Secondary Antibody (HA1006) at 1/50,000 dilution was used for 1 hour at room temperature.
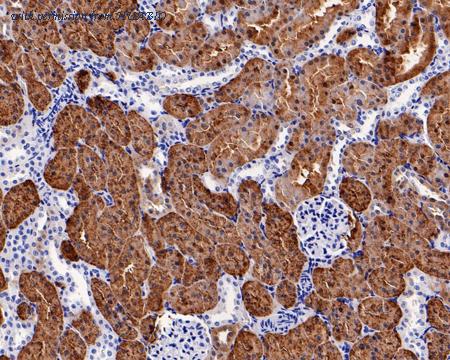
image 3 :

Immunohistochemical analysis of paraffin-embedded rat kidney tissue with Mouse anti-ASS1 antibody (HA601101) at 1/1,000 dilution.
The section was pre-treated using heat mediated antigen retrieval with Tris-EDTA buffer (pH 9.0) for 20 minutes. The tissues were blocked in 1% BSA for 20 minutes at room temperature, washed with ddH2O and PBS, and then probed with the primary antibody (HA601101) at 1/1,000 dilution for 1 hour at room temperature. The detection was performed using an HRP conjugated compact polymer system. DAB was used as the chromogen. Tissues were counterstained with hematoxylin and mounted with DPX.
product information
SKU :
HA601101
Target name :
ASS1
Species reactivity :
Human,Mouse,Rat
Applications :
WB,IHC-P,IF-Cell
Conjugate :
Non-conjugated
Immunogen :
Recombinant protein within Human ASS1 aa 1-412 / 412.
Uniprot id :
P00966>SwissProt: P00966 Human;SwissProt: P16460 Mouse;SwissProt: P09034 Rat
Host :
Mouse
Clone number :
11F1-RA
Isotype :
IgG2b
Size :
100μl
List Price :
360.00 USD
Storage Buffer :
PBS (pH7.4), 0.1% BSA, 40% Glycerol. Preservative: 0.05% Sodium Azide.
Form :
Liquid
Storage Instruction :
Shipped at 4℃. Store at +4℃ short term (1-2 weeks). It is recommended to aliquot into single-use upon delivery. Store at -20℃ long term.
Purity :
Protein A affinity purified.
Product type :
Recombinant Mouse monoclonal Antibody
Positive control :
HepG2 cell lysate, Human liver tissue lysate, Human kidney tissue lysate, Mouse liver tissue lysate, Mouse kidney tissue lysate, Rat liver tissue lysate, Rat kidney tissue lysate, rat kidney tissue, human kidney tissue, MCF-7.
Molecular wt :
Predicted band size: 47 kDa
Subcellular location :
Cytoplasm
Concentration :
1 mg/mL.
Recommended dilutions :
WB: 1:5,000-1:20,000
;IHC-P: 1:1,000
;IF-Cell: 1:200
Advanced Validation :
Knockdown (KD)
Pic img4 :
https://storage.huabio.cn/huabio/productImg/HA601101_4.jpg
Pic legend4 :
Immunohistochemical analysis of paraffin-embedded human kidney tissue with Mouse anti-ASS1 antibody (HA601101) at 1/1,000 dilution.
The section was pre-treated using heat mediated antigen retrieval with Tris-EDTA buffer (pH 9.0) for 20 minutes. The tissues were blocked in 1% BSA for 20 minutes at room temperature, washed with ddH2O and PBS, and then probed with the primary antibody (HA601101) at 1/1,000 dilution for 1 hour at room temperature. The detection was performed using an HRP conjugated compact polymer system. DAB was used as the chromogen. Tissues were counterstained with hematoxylin and mounted with DPX.
Pic img5 :
https://storage.huabio.cn/huabio/productImg/HA601101_5.jpg
Pic legend5 :
Immunocytochemistry analysis of MCF-7 cells labeling ASS1 with Mouse anti-ASS1 antibody (HA601101) at 1/200 dilution.
Cells were fixed in 4% paraformaldehyde for 30 minutes, permeabilized with 0.05% Triton X-100 in PBS for 20 minutes, and then blocked with 2% negative goat serum for 30 minutes at room temperature. Cells were then incubated with Mouse anti-ASS1 antibody (HA601101) at 1/200 dilution in 2% negative goat serum overnight at 4 ℃. Goat Anti-Mouse IgG H&L (iFluor™ 488, HA1125) was used as the secondary antibody at 1/1,000 dilution. Nuclear DNA was labelled in blue with DAPI.
beta Tubulin (ET1602-4, red) was stained at 1/100 dilution overnight at +4℃. Goat Anti-Rabbit IgG H&L (iFluor™ 594, HA1122) were used as the secondary antibody at 1/1,000 dilution.
more info or order :
company information

HUABIO
Founded in 2007, HUABIO is dedicated to developing high-quality antibodies that advance innovation. We are passionate about the accuracy, efficiency, and consistency of our products. That is why we have invested in new production platforms, like recombinant rabbit monoclonals, alpaca nanobodies, and adopted aggressive QA standards to deliver cutting-edge antibodies with uncompromised quality.
We hope to see you at your next discovery!
We hope to see you at your next discovery!
related products
browse more products
questions and comments
