product summary
Loading...
company name :
HUABIO
product type :
antibody
product name :
TSH
catalog :
HA601072
quantity :
100μl
price :
360.00 USD
clonality :
monoclonal
host :
mouse
conjugate :
nonconjugated
clone name :
AH21-10
reactivity :
human, rat
application :
immunohistochemistry - paraffin section
more info or order :
image
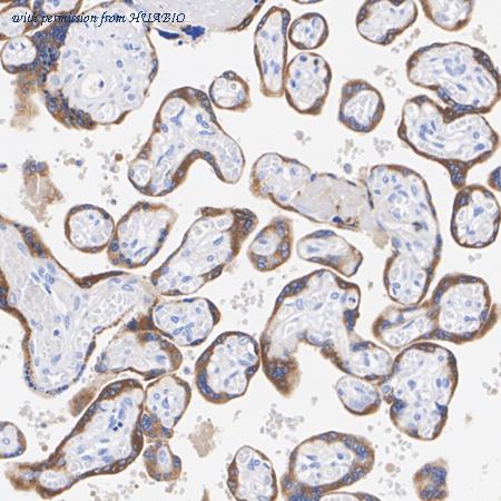
image 1 :

Immunohistochemical analysis of paraffin-embedded human placenta tissue with Mouse anti-TSH antibody (HA601072) at 1/200 dilution.
The section was pre-treated using heat mediated antigen retrieval with Tris-EDTA buffer (pH 9.0) for 20 minutes. The tissues were blocked in 1% BSA for 20 minutes at room temperature, washed with ddH2O and PBS, and then probed with the primary antibody (HA601072) at 1/200 dilution for 1 hour at room temperature. The detection was performed using an HRP conjugated compact polymer system. DAB was used as the chromogen. Tissues were counterstained with hematoxylin and mounted with DPX.
image 2 :

Immunohistochemical analysis of paraffin-embedded rat pituitary tissue with Mouse anti-TSH antibody (HA601072) at 1/200 dilution.
The section was pre-treated using heat mediated antigen retrieval with Tris-EDTA buffer (pH 9.0) for 20 minutes. The tissues were blocked in 1% BSA for 20 minutes at room temperature, washed with ddH2O and PBS, and then probed with the primary antibody (HA601072) at 1/200 dilution for 1 hour at room temperature. The detection was performed using an HRP conjugated compact polymer system. DAB was used as the chromogen. Tissues were counterstained with hematoxylin and mounted with DPX.
image 3 :

Application: IF-Tissue
Species: Human
Site: placenta
Sample: Paraffin-embedded section
Antibody concentration: 1/200
product information
SKU :
HA601072
Target name :
TSH
Species reactivity :
Human,Rat
Applications :
IHC-P,IF-Tissue
Conjugate :
Non-conjugated
Immunogen :
Recombinant protein within full length human TSH.
Uniprot id :
P01215>SwissProt: P01215 Human;SwissProt: P01222 Human
Host :
Mouse
Clone number :
AH21-10
Isotype :
IgG1
Size :
100μl
List Price :
360.00 USD
Storage Buffer :
PBS (pH7.4), 0.1% BSA, 40% Glycerol. Preservative: 0.05% Sodium Azide.
Form :
Liquid
Storage Instruction :
Shipped at 4℃. Store at +4℃ short term (1-2 weeks). It is recommended to aliquot into single-use upon delivery. Store at -20℃ long term.
Purity :
Protein A affinity purified.
Product type :
Recombinant Mouse monoclonal Antibody
Positive control :
Rat pituitary tissue, human placenta tissue.
Molecular wt :
Predicted band size: 42 kDa
Subcellular location :
Secreted.
Concentration :
1 mg/mL.
Recommended dilutions :
IHC-P: 1:200
;IF-Tissue: 1:200
more info or order :
company information

HUABIO
Founded in 2007, HUABIO is dedicated to developing high-quality antibodies that advance innovation. We are passionate about the accuracy, efficiency, and consistency of our products. That is why we have invested in new production platforms, like recombinant rabbit monoclonals, alpaca nanobodies, and adopted aggressive QA standards to deliver cutting-edge antibodies with uncompromised quality.
We hope to see you at your next discovery!
We hope to see you at your next discovery!
browse more products
questions and comments
