product summary
Loading...
company name :
HUABIO
product type :
antibody
product name :
Topoisomerase II alpha
catalog :
HA601028
quantity :
100μl
price :
360.00 USD
clonality :
monoclonal
host :
mouse
conjugate :
nonconjugated
clone name :
A3F12
reactivity :
human, mouse, rat
application :
western blot, immunohistochemistry - paraffin section
more info or order :
image
image 1 :

Western blot analysis of Topoisomerase II alpha on Jurkat cell lysates with Mouse anti-Topoisomerase II alpha antibody (HA601028) at 1/1,000 dilution.
Lysates/proteins at 20 µg/Lane.
Predicted band size: 174 kDa
Observed band size: 174 kDa
Exposure time: 3 minutes; ECL: K1801;
4-20% SDS-PAGE gel.
Proteins were transferred to a PVDF membrane and blocked with 5% NFDM/TBST for 1 hour at room temperature. The primary antibody (HA601028) at 1/1,000 dilution was used in 5% NFDM/TBST at 4℃ overnight. Goat Anti-Mouse IgG - HRP Secondary Antibody (HA1006) at 1/50,000 dilution was used for 1 hour at room temperature.
image 2 :

Western blot analysis of Topoisomerase II alpha on different cell lysates with Mouse anti-Topoisomerase II alpha antibody (HA601028) at 1/500 dilution.
Lane 1: A549 cell lysate
Lane 2: Jurkat cell lysate
Lane 3: NIH/3T3 cell lysate
Lysates/proteins at 10 µg/Lane.
Predicted band size: 174 kDa
Observed band size: 174 kDa
Exposure time: 2 minutes;
6% SDS-PAGE gel.
Proteins were transferred to a PVDF membrane and blocked with 5% NFDM/TBST for 1 hour at room temperature. The primary antibody (HA601028) at 1/500 dilution was used in 5% NFDM/TBST at room temperature for 2 hours. Goat Anti-Mouse IgG - HRP Secondary Antibody (HA1006) at 1:20,000 dilution was used for 1 hour at room temperature.
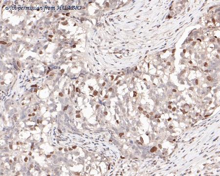
image 3 :

Immunohistochemical analysis of paraffin-embedded human breast carcinoma tissue with Mouse anti-Topoisomerase II alpha antibody (HA601028) at 1/500 dilution.
The section was pre-treated using heat mediated antigen retrieval with Tris-EDTA buffer (pH 9.0) for 20 minutes. The tissues were blocked in 1% BSA for 20 minutes at room temperature, washed with ddH2O and PBS, and then probed with the primary antibody (HA601028) at 1/500 dilution for 1 hour at room temperature. The detection was performed using an HRP conjugated compact polymer system. DAB was used as the chromogen. Tissues were counterstained with hematoxylin and mounted with DPX.
product information
SKU :
HA601028
Target name :
Topoisomerase II alpha
Species reactivity :
Human,Mouse
Applications :
WB,IHC-P
Conjugate :
Non-conjugated
Immunogen :
Synthetic peptide within human Topoisomerase II alpha aa1480-1531.
Uniprot id :
P11388>SwissProt: P11388 Human;SwissProt: Q01320 Mouse;SwissProt: P41516 Rat
Host :
Mouse
Clone number :
A3F12
Isotype :
IgG1
Size :
100μl
List Price :
360.00 USD
Storage Buffer :
PBS (pH7.4), 0.05% BSA, 40% Glycerol. Preservative: 0.05% Sodium Azide.
Form :
Liquid
Storage Instruction :
Shipped at 4℃. Store at +4℃ short term (1-2 weeks). It is recommended to aliquot into single-use upon delivery. Store at -20℃ long term.
Purity :
Protein G affinity purified.
Product type :
Mouse monoclonal Antibody
Positive control :
Jurkat cell lysate, A549 cell lysate, NIH/3T3 cell lysate, human breast carcinoma tissue.
Molecular wt :
Predicted band size: 174 kDa
Subcellular location :
Cytoplasm, Nucleus.
Concentration :
2 mg/mL.
Recommended dilutions :
WB: 1:500-1:2,000
;IHC-P: 1:200
more info or order :
company information

HUABIO
Founded in 2007, HUABIO is dedicated to developing high-quality antibodies that advance innovation. We are passionate about the accuracy, efficiency, and consistency of our products. That is why we have invested in new production platforms, like recombinant rabbit monoclonals, alpaca nanobodies, and adopted aggressive QA standards to deliver cutting-edge antibodies with uncompromised quality.
We hope to see you at your next discovery!
We hope to see you at your next discovery!
related products
browse more products
questions and comments
