product summary
Loading...
company name :
HUABIO
product type :
antibody
product name :
CD42a
catalog :
HA601019
quantity :
100μl
price :
360.00 USD
clonality :
monoclonal
host :
mouse
conjugate :
nonconjugated
clone name :
A5E6
reactivity :
human, mouse, rat
application :
western blot, immunohistochemistry - paraffin section
more info or order :
image
image 1 :

Western blot analysis of CD42a on different lysates with Mouse anti-CD42a antibody (HA601019) at 1/2,000 dilution.
Lane 1: MCF7 cell lysate
Lane 2: Human lung tissue lysate
Lane 3: Mouse spleen tissue lysate
Lane 4: Mouse lung tissue lysate
Lane 5: Rat lung tissue lysate
Lysates/proteins at 20 µg/Lane.
Predicted band size: 19 kDa
Observed band size: 28 kDa
Exposure time: 1 minute 2 seconds;
4-20% SDS-PAGE gel.
Proteins were transferred to a PVDF membrane and blocked with 5% NFDM/TBST for 1 hour at room temperature. The primary antibody (HA601019) at 1/2,000 dilution was used in 5% NFDM/TBST at 4℃ overnight. Goat Anti-Mouse IgG - HRP Secondary Antibody (HA1006) at 1/50,000 dilution was used for 1 hour at room temperature.
image 2 :

Immunohistochemical analysis of paraffin-embedded mouse spleen tissue with Mouse anti-CD42a antibody (HA601019) at 1/2,000 dilution.
The section was pre-treated using heat mediated antigen retrieval with Tris-EDTA buffer (pH 9.0) for 20 minutes. The tissues were blocked in 1% BSA for 20 minutes at room temperature, washed with ddH2O and PBS, and then probed with the primary antibody (HA601019) at 1/2,000 dilution for 1 hour at room temperature. The detection was performed using an HRP conjugated compact polymer system. DAB was used as the chromogen. Tissues were counterstained with hematoxylin and mounted with DPX.
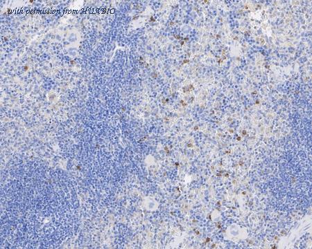
image 3 :

Immunohistochemical analysis of paraffin-embedded rat spleen tissue with Mouse anti-CD42a antibody (HA601019) at 1/2,000 dilution.
The section was pre-treated using heat mediated antigen retrieval with Tris-EDTA buffer (pH 9.0) for 20 minutes. The tissues were blocked in 1% BSA for 20 minutes at room temperature, washed with ddH2O and PBS, and then probed with the primary antibody (HA601019) at 1/2,000 dilution for 1 hour at room temperature. The detection was performed using an HRP conjugated compact polymer system. DAB was used as the chromogen. Tissues were counterstained with hematoxylin and mounted with DPX.
product information
SKU :
HA601019
Target name :
CD42a
Species reactivity :
Human,Mouse,Rat
Applications :
WB,IHC-P
Conjugate :
Non-conjugated
Immunogen :
Recombinant protein within human CD42a aa 1-150 / 177.
Uniprot id :
P14770>SwissProt: P14770 Human;SwissProt: O88186 Mouse
Host :
Mouse
Clone number :
A5E6
Isotype :
IgG1
Size :
100μl
List Price :
360.00 USD
Storage Buffer :
PBS (pH7.4), 0.05% BSA, 40% Glycerol. Preservative: 0.05% Sodium Azide.
Form :
Liquid
Storage Instruction :
Shipped at 4℃. Store at +4℃ short term (1-2 weeks). It is recommended to aliquot into single-use upon delivery. Store at -20℃ long term.
Purity :
Protein G affinity purified.
Product type :
Mouse monoclonal Antibody
Positive control :
MCF7 cell lysate, human lung tissue lysate, mouse spleen tissue lysate, mouse lung tissue lysate, rat lung tissue lysate, mouse spleen tissue, rat spleen tissue.
Molecular wt :
Predicted band size: 19 kDa
Subcellular location :
Membrane
Concentration :
2 mg/mL.
Recommended dilutions :
WB: 1:2,000
;IHC-P: 1:2,000
more info or order :
company information

HUABIO
Founded in 2007, HUABIO is dedicated to developing high-quality antibodies that advance innovation. We are passionate about the accuracy, efficiency, and consistency of our products. That is why we have invested in new production platforms, like recombinant rabbit monoclonals, alpaca nanobodies, and adopted aggressive QA standards to deliver cutting-edge antibodies with uncompromised quality.
We hope to see you at your next discovery!
We hope to see you at your next discovery!
browse more products
questions and comments
