product summary
Loading...
company name :
HUABIO
product type :
antibody
product name :
IL-11RA
catalog :
HA600056
quantity :
100μl
price :
360.00 USD
clonality :
monoclonal
host :
mouse
conjugate :
nonconjugated
clone name :
A6G8
reactivity :
human, mouse
application :
western blot, immunohistochemistry - paraffin section
more info or order :
image
image 1 :

Western blot analysis of IL-11RA on different lysates with Mouse anti-IL-11RA antibody (HA600056) at 1/500 dilution.
Lane 1: K562 cell lysate
Lane 2: 293T cell lysate
Lysates/proteins at 10 µg/Lane.
Predicted band size: 45 kDa
Observed band size: 55 kDa
Exposure time: 30 seconds;
12% SDS-PAGE gel.
Proteins were transferred to a PVDF membrane and blocked with 5% NFDM/TBST for 1 hour at room temperature. The primary antibody (HA600056) at 1/500 dilution was used in 5% NFDM/TBST at room temperature for 2 hours. Goat Anti-Mouse IgG - HRP Secondary Antibody (HA1006) at 1:20,000 dilution was used for 1 hour at room temperature.
image 2 :

Western blot analysis of IL-11RA on TF-1 cell lysates with Mouse anti-IL-11RA antibody (HA600056) at 1/500 dilution.
Lysates/proteins at 10 µg/Lane.
Predicted band size: 45 kDa
Observed band size: 45 kDa
Exposure time: 1 minute;
10% SDS-PAGE gel.
Proteins were transferred to a PVDF membrane and blocked with 5% NFDM/TBST for 1 hour at room temperature. The primary antibody (HA600056) at 1/500 dilution was used in 5% NFDM/TBST at room temperature for 2 hours. Goat Anti-Mouse IgG - HRP Secondary Antibody (HA1006) at 1:20,000 dilution was used for 1 hour at room temperature.
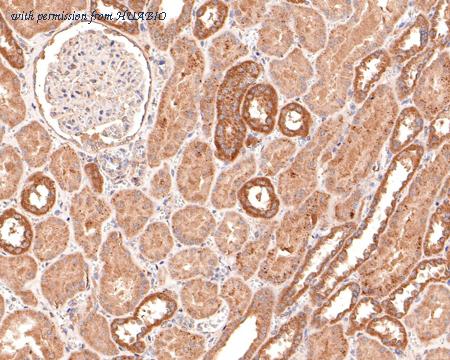
image 3 :

Immunohistochemical analysis of paraffin-embedded human kidney tissue with Mouse anti-IL-11RA antibody (HA600056) at 1/600 dilution.
The section was pre-treated using heat mediated antigen retrieval with Tris-EDTA buffer (pH 9.0) for 20 minutes. The tissues were blocked in 1% BSA for 20 minutes at room temperature, washed with ddH2O and PBS, and then probed with the primary antibody (HA600056) at 1/600 dilution for 1 hour at room temperature. The detection was performed using an HRP conjugated compact polymer system. DAB was used as the chromogen. Tissues were counterstained with hematoxylin and mounted with DPX.
product information
SKU :
HA600056
Target name :
IL-11RA
Species reactivity :
Human,Mouse
Applications :
WB,IHC-P
Conjugate :
Non-conjugated
Immunogen :
Recombinant protein within human IL-11RA aa 1-200.
Uniprot id :
Q14626>SwissProt: Q14626 Human;SwissProt: Q64385 Mouse
Host :
Mouse
Clone number :
A6G8
Isotype :
IgG2b
Size :
100μl
List Price :
360.00 USD
Storage Buffer :
PBS (pH7.4), 0.05% BSA, 40% Glycerol. Preservative: 0.05% Sodium Azide.
Form :
Liquid
Storage Instruction :
Shipped at 4℃. Store at +4℃ short term (1-2 weeks). It is recommended to aliquot into single-use upon delivery. Store at -20℃ long term.
Purity :
Protein G affinity purified.
Product type :
Mouse monoclonal Antibody
Positive control :
K562 cell lysate, 293T cell lysate, TF-1 cell lysates, MCF-7 cell lysate, mouse kidney tissue lysate, human kidney tissue, human prostate tissue, human prostate carcinoma tissue.
Molecular wt :
Predicted band size: 45 kDa
Subcellular location :
Membrane; Secreted.
Concentration :
2 mg/mL.
Recommended dilutions :
WB: 1:500
;IHC-P: 1:200-1:600
Pic img4 :
https://storage.huabio.cn/huabio/productImg/HA600056_4.jpg
Pic legend4 :
Immunohistochemical analysis of paraffin-embedded human prostate tissue with Mouse anti-IL-11RA antibody (HA600056) at 1/200 dilution.
The section was pre-treated using heat mediated antigen retrieval with Tris-EDTA buffer (pH 9.0) for 20 minutes. The tissues were blocked in 1% BSA for 20 minutes at room temperature, washed with ddH2O and PBS, and then probed with the primary antibody (HA600056) at 1/200 dilution for 1 hour at room temperature. The detection was performed using an HRP conjugated compact polymer system. DAB was used as the chromogen. Tissues were counterstained with hematoxylin and mounted with DPX.
Pic img5 :
https://storage.huabio.cn/huabio/productImg/HA600056_5.jpg
Pic legend5 :
Immunohistochemical analysis of paraffin-embedded human prostate carcinoma tissue with Mouse anti-IL-11RA antibody (HA600056) at 1/600 dilution.
The section was pre-treated using heat mediated antigen retrieval with Tris-EDTA buffer (pH 9.0) for 20 minutes. The tissues were blocked in 1% BSA for 20 minutes at room temperature, washed with ddH2O and PBS, and then probed with the primary antibody (HA600056) at 1/600 dilution for 1 hour at room temperature. The detection was performed using an HRP conjugated compact polymer system. DAB was used as the chromogen. Tissues were counterstained with hematoxylin and mounted with DPX.
more info or order :
company information

HUABIO
Founded in 2007, HUABIO is dedicated to developing high-quality antibodies that advance innovation. We are passionate about the accuracy, efficiency, and consistency of our products. That is why we have invested in new production platforms, like recombinant rabbit monoclonals, alpaca nanobodies, and adopted aggressive QA standards to deliver cutting-edge antibodies with uncompromised quality.
We hope to see you at your next discovery!
We hope to see you at your next discovery!
related products
browse more products
questions and comments
