product summary
Loading...
company name :
HUABIO
product type :
antibody
product name :
Chromogranin A
catalog :
HA600016
quantity :
100μl
price :
360.00 USD
clonality :
monoclonal
host :
mouse
conjugate :
nonconjugated
clone name :
A3H1
reactivity :
human, mouse, rat
application :
western blot, immunohistochemistry - paraffin section
more info or order :
image
image 1 :

Western blot analysis of Chromogranin A on different lysates with Mouse anti-Chromogranin A antibody (HA600016) at 1/2,000 dilution.
Lane 1: PC-12 cell lysate (20 µg/Lane)
Lane 2: Mouse kidney tissue lysate (20 µg/Lane)
Lane 3: SH-SY5Y cell lysate (20 µg/Lane)
Predicted band size: 51 kDa
Observed band size: 70 kDa
Exposure time: 30 seconds; ECL: K1802;
4-20% SDS-PAGE gel.
Proteins were transferred to a PVDF membrane and blocked with 5% NFDM/TBST for 1 hour at room temperature. The primary antibody (HA600016) at 1/2,000 dilution was used in 5% NFDM/TBST at 4℃ overnight. Goat Anti-Mouse IgG - HRP Secondary Antibody (HA1006) at 1/50,000 dilution was used for 1 hour at room temperature.
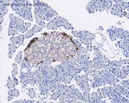
image 2 :

Immunohistochemical analysis of paraffin-embedded human pancreas tissue with Mouse anti-Chromogranin A antibody (HA600016) at 1/2,000 dilution.
The section was pre-treated using heat mediated antigen retrieval with Tris-EDTA buffer (pH 9.0) for 20 minutes. The tissues were blocked in 1% BSA for 20 minutes at room temperature, washed with ddH2O and PBS, and then probed with the primary antibody (HA600016) at 1/2,000 dilution for 1 hour at room temperature. The detection was performed using an HRP conjugated compact polymer system. DAB was used as the chromogen. Tissues were counterstained with hematoxylin and mounted with DPX.
image 3 :

Immunohistochemical analysis of paraffin-embedded rat pancreas tissue with Mouse anti-Chromogranin A antibody (HA600016) at 1/500 dilution.
The section was pre-treated using heat mediated antigen retrieval with Tris-EDTA buffer (pH 9.0) for 20 minutes. The tissues were blocked in 1% BSA for 20 minutes at room temperature, washed with ddH2O and PBS, and then probed with the primary antibody (HA600016) at 1/500 dilution for 1 hour at room temperature. The detection was performed using an HRP conjugated compact polymer system. DAB was used as the chromogen. Tissues were counterstained with hematoxylin and mounted with DPX.
product information
SKU :
HA600016
Target name :
Chromogranin A
Species reactivity :
Human,Mouse,Rat
Applications :
WB,IHC-P
Conjugate :
Non-conjugated
Immunogen :
Recombinant protein within human Chromogranin A aa 358-457.
Uniprot id :
P10645>SwissProt: P10645 Human;SwissProt: P26339 Mouse;SwissProt: P10354 Rat
Host :
Mouse
Clone number :
A3H1
Isotype :
IgG
Size :
100μl
List Price :
360.00 USD
Storage Buffer :
1*TBS (pH7.4), 0.05% BSA, 40% Glycerol. Preservative: 0.05% Sodium Azide.
Form :
Liquid
Storage Instruction :
Shipped at 4℃. Store at +4℃ short term (1-2 weeks). It is recommended to aliquot into single-use upon delivery. Store at -20℃ long term.
Purity :
Protein G affinity purified.
Product type :
Mouse monoclonal Antibody
Positive control :
PC-12 cell lysates, mouse kidney tissue lysate, SH-SY5Y cell lysates, human pancreas tissue, rat pancreas tissue, mouse pancreas tissue, human medullary thyroid carcinoma tissue, human atypical carcinoid tissue.
Molecular wt :
Predicted band size: 51 kDa.
Subcellular location :
Cytoplasmic vesicle, Secreted.
Concentration :
2 mg/mL.
Recommended dilutions :
WB: 1:2,000
;IHC-P: 1:100-1:2,000
Pic img4 :
https://storage.huabio.cn/huabio/productImg/HA600016_4.jpg
Pic legend4 :
Immunohistochemical analysis of paraffin-embedded mouse pancreas tissue using anti-Chromogranin A antibody. The section was pre-treated using heat mediated antigen retrieval with Tris-EDTA buffer (pH 8.0-8.4) for 20 minutes.The tissues were blocked in 5% BSA for 30 minutes at room temperature, washed with ddH2O and PBS, and then probed with the primary antibody (HA600016, 1/400) for 30 minutes at room temperature. The detection was performed using an HRP conjugated compact polymer system. DAB was used as the chromogen. Tissues were counterstained with hematoxylin and mounted with DPX.
Pic img5 :
https://storage.huabio.cn/huabio/productImg/HA600016_5.jpg
Pic legend5 :
Immunohistochemical analysis of paraffin-embedded human medullary thyroid carcinoma tissue using anti-Chromogranin A antibody. The section was pre-treated using heat mediated antigen retrieval with Tris-EDTA buffer (pH 8.0-8.4) for 20 minutes.The tissues were blocked in 5% BSA for 30 minutes at room temperature, washed with ddH2O and PBS, and then probed with the primary antibody (HA600016, 1/400) for 30 minutes at room temperature. The detection was performed using an HRP conjugated compact polymer system. DAB was used as the chromogen. Tissues were counterstained with hematoxylin and mounted with DPX.
Pic img6 :
https://storage.huabio.cn/huabio/productImg/HA600016_6.jpg
Pic legend6 :
Immunohistochemical analysis of paraffin-embedded human atypical carcinoid tissue using anti-Chromogranin A antibody. The section was pre-treated using heat mediated antigen retrieval with Tris-EDTA buffer (pH 8.0-8.4) for 20 minutes.The tissues were blocked in 5% BSA for 30 minutes at room temperature, washed with ddH2O and PBS, and then probed with the primary antibody (HA600016, 1/2,000) for 30 minutes at room temperature. The detection was performed using an HRP conjugated compact polymer system. DAB was used as the chromogen. Tissues were counterstained with hematoxylin and mounted with DPX.
more info or order :
company information

HUABIO
Founded in 2007, HUABIO is dedicated to developing high-quality antibodies that advance innovation. We are passionate about the accuracy, efficiency, and consistency of our products. That is why we have invested in new production platforms, like recombinant rabbit monoclonals, alpaca nanobodies, and adopted aggressive QA standards to deliver cutting-edge antibodies with uncompromised quality.
We hope to see you at your next discovery!
We hope to see you at your next discovery!
related products
browse more products
questions and comments
