product summary
Loading...
company name :
HUABIO
product type :
antibody
product name :
TATA binding protein TBP
catalog :
HA500527
quantity :
100μl
price :
330 USD
clonality :
polyclonal
host :
domestic rabbit
conjugate :
nonconjugated
reactivity :
human, mouse, rat
application :
western blot, immunohistochemistry - paraffin section
more info or order :
image
image 1 :

Western blot analysis of TATA binding protein TBP on different lysates with Rabbit anti-TATA binding protein TBP antibody (HA500527) at 1/1,000 dilution.
Lane 1: HeLa cell lysate (10 µg/Lane)
Lane 2: HCT 116 cell lysate (10 µg/Lane)
Lane 3: 293T cell lysate (10 µg/Lane)
Lane 4: HepG2 cell lysate (10 µg/Lane)
Lane 5: MCF7 cell lysate (10 µg/Lane)
Lane 6: Jurkat cell lysate (10 µg/Lane)
Lane 7: C2C12 cell lysate (10 µg/Lane)
Lane 8: NIH/3T3 cell lysate (10 µg/Lane)
Lane 9: PC-12 cell lysate (10 µg/Lane)
Lane 10: RAW264.7 cell lysate (10 µg/Lane)
Lane 11: Mouse testis tissue lysate (20 µg/Lane)
Predicted band size: 38 kDa
Observed band size: 40/36 kDa
Exposure time: 2 minutes;
10% SDS-PAGE gel.
Proteins were transferred to a PVDF membrane and blocked with 5% NFDM/TBST for 1 hour at room temperature. The primary antibody (HA500527) at 1/1,000 dilution was used in 5% NFDM/TBST at room temperature for 2 hours. Goat Anti-Rabbit IgG - HRP Secondary Antibody (HA1001) at 1:300,000 dilution was used for 1 hour at room temperature.
image 2 :

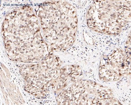
Immunohistochemical analysis of paraffin-embedded human bladder carcinoma tissue with Rabbit anti-TATA binding protein TBP antibody (HA500527) at 1/2,000 dilution.
The section was pre-treated using heat mediated antigen retrieval with sodium citrate buffer (pH 6.0) (high pressure) for 2 minutes. The tissues were blocked in 1% BSA for 20 minutes at room temperature, washed with ddH2O and PBS, and then probed with the primary antibody (HA500527) at 1/2,000 dilution for 1 hour at room temperature. The detection was performed using an HRP conjugated compact polymer system. DAB was used as the chromogen. Tissues were counterstained with hematoxylin and mounted with DPX.
image 3 :

Immunohistochemical analysis of paraffin-embedded human testis tissue with Rabbit anti-TATA binding protein TBP antibody (HA500527) at 1/2,000 dilution.
The section was pre-treated using heat mediated antigen retrieval with sodium citrate buffer (pH 6.0) (high pressure) for 2 minutes. The tissues were blocked in 1% BSA for 20 minutes at room temperature, washed with ddH2O and PBS, and then probed with the primary antibody (HA500527) at 1/2,000 dilution for 1 hour at room temperature. The detection was performed using an HRP conjugated compact polymer system. DAB was used as the chromogen. Tissues were counterstained with hematoxylin and mounted with DPX.
product information
SKU :
HA500527
Target name :
TATA binding protein TBP
Species reactivity :
Human,Mouse,Rat
Applications :
WB,IHC-P
Conjugate :
Non-conjugated
Immunogen :
Recombinant protein within human TBP aa 140-339 / 339.
Uniprot id :
P20226>SwissProt: P20226 Human;SwissProt: P29037 Mouse;Entrez Gene: 117526 Rat
Host :
Rabbit
Isotype :
IgG
Size :
100μl
List Price :
330 USD
Storage Buffer :
PBS (pH7.4), 0.1% BSA, 40% Glycerol. Preservative: 0.05% Sodium Azide.
Form :
Liquid
Storage Instruction :
Shipped at 4℃. Store at +4℃ short term (1-2 weeks). It is recommended to aliquot into single-use upon delivery. Store at -20℃ long term.
Purity :
Immunogen affinity purified.
Product type :
Rabbit polyclonal Antibody
Positive control :
HeLa cell lysate, HCT 116 cell lysate, 293T cell lysate, HepG2 cell lysate, MCF7 cell lysate, Jurkat cell lysate, C2C12 cell lysate, NIH/3T3 cell lysate, PC-12 cell lysate, RAW264.7 cell lysate, mouse testis tissue lysate, human bladder carcinoma tissue, human testis tissue.
Molecular wt :
Predicted band size: 38 kDa
Subcellular location :
Nucleus.
Concentration :
2 mg/mL.
Recommended dilutions :
WB: 1:1,000;IHC-P: 1:2,000
more info or order :
company information

HUABIO
Founded in 2007, HUABIO is dedicated to developing high-quality antibodies that advance innovation. We are passionate about the accuracy, efficiency, and consistency of our products. That is why we have invested in new production platforms, like recombinant rabbit monoclonals, alpaca nanobodies, and adopted aggressive QA standards to deliver cutting-edge antibodies with uncompromised quality.
We hope to see you at your next discovery!
We hope to see you at your next discovery!
related products
browse more products
questions and comments
