product summary
Loading...
company name :
HUABIO
product type :
antibody
product name :
CNTFR
catalog :
HA500506
quantity :
100μl
price :
330 USD
clonality :
polyclonal
host :
domestic rabbit
conjugate :
nonconjugated
reactivity :
human, mouse, rat
application :
western blot, flow cytometry, immunohistochemistry - paraffin section
more info or order :
image
image 1 :

Western blot analysis of CNTFR on different lysates. Proteins were transferred to a PVDF membrane and blocked with 5% BSA in PBS for 1 hour at room temperature. The primary antibody (HA500506, 1/1,000) was used in 5% BSA at room temperature for 2 hours. Goat Anti-Rabbit IgG - HRP Secondary Antibody (HA1001) at 1:200,000 dilution was used for 1 hour at room temperature.
Positive control:
Lane 1: Mouse cerebellum tissue lysate
Lane 2: Rat brain tissue lysate
Lane 3: NIH/3T3 cell lysate
Predicted band size: 41 kDa
Observed band size: 60 kDa (Glycosylation)
image 2 :

Immunohistochemical analysis of paraffin-embedded human fetal skeletal muscle tissue using anti-CNTFR antibody. The section was pre-treated using heat mediated antigen retrieval with Tris-EDTA buffer (pH 9.0) for 20 minutes.The tissues were blocked in 1% BSA for 30 minutes at room temperature, washed with ddH2O and PBS, and then probed with the primary antibody (HA500506, 1/200) for 30 minutes at room temperature. The detection was performed using an HRP conjugated compact polymer system. DAB was used as the chromogen. Tissues were counterstained with hematoxylin and mounted with DPX.
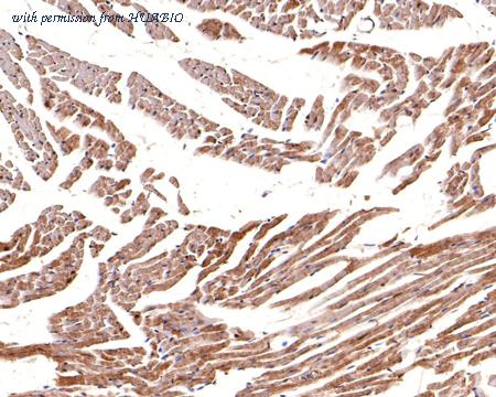
image 3 :

Immunohistochemical analysis of paraffin-embedded mouse heart tissue using anti-CNTFR antibody. The section was pre-treated using heat mediated antigen retrieval with Tris-EDTA buffer (pH 9.0) for 20 minutes.The tissues were blocked in 1% BSA for 30 minutes at room temperature, washed with ddH2O and PBS, and then probed with the primary antibody (HA500506, 1/200) for 30 minutes at room temperature. The detection was performed using an HRP conjugated compact polymer system. DAB was used as the chromogen. Tissues were counterstained with hematoxylin and mounted with DPX.
product information
SKU :
HA500506
Target name :
CNTFR
Species reactivity :
Human,Mouse,Rat
Applications :
WB,IF-Cell,IHC-P,FC
Conjugate :
Non-conjugated
Immunogen :
Synthetic peptide within human CNTFR aa 201-250.
Uniprot id :
P26992>SwissProt: P26992 Human;SwissProt: O88507 Mouse;SwissProt: Q08406 Rat
Host :
Rabbit
Isotype :
IgG
Size :
100μl
List Price :
330 USD
Storage Buffer :
1*TBS (pH7.4), 0.2% BSA, 50% Glycerol. Preservative: 0.05% Sodium Azide.
Form :
Liquid
Storage Instruction :
Shipped at 4℃. Store at +4℃ short term (1-2 weeks). It is recommended to aliquot into single-use upon delivery. Store at -20℃ long term.
Purity :
Immunogen affinity purified.
Product type :
Rabbit polyclonal Antibody
Positive control :
Mouse cerebellum tissue lysate, rat brain tissue lysate, NIH/3T3 cell lysate, human fetal skeletal muscle tissue, mouse heart tissue, Hela, SH-SY5Y.
Molecular wt :
Predicted band size: 41 kDa.
Subcellular location :
Cell membrane
Concentration :
1 mg/mL.
Recommended dilutions :
WB: 1:1,000
;IF-Cell: 1:200
;IHC-P: 1:200
;FC: 1:500-1:1,000
Pic img4 :
https://storage.huabio.cn/huabio/productImg/HA500506_4.jpg
Pic legend4 :
ICC staining of CNTFR in Hela cells (green). Formalin fixed cells were permeabilized with 0.1% Triton X-100 in TBS for 10 minutes at room temperature and blocked with 10% negative goat serum for 15 minutes at room temperature. Cells were probed with the primary antibody (HA500506, 1/200) for 1 hour at room temperature, washed with PBS. Alexa Fluor®488 conjugate-Goat anti-Rabbit IgG was used as the secondary antibody at 1/1,000 dilution. The nuclear counter stain is DAPI (blue).
Pic img5 :
https://storage.huabio.cn/huabio/productImg/HA500506_5.jpg
Pic legend5 :
Flow cytometric analysis of SH-SY5Y cells labeling CNTFR.
Cells were washed twice with cold PBS and resuspend. Then stained with the primary antibody (HA500506, 1ug/ml) (red) compared with Rabbit IgG Isotype Control (green). After incubation of the primary antibody at +4℃ for an hour, the cells were stained with a Alexa Fluor® 488 conjugate-Goat anti-Rabbit IgG Secondary antibody at 1/1,000 dilution for 30 minutes at +4℃. Unlabelled sample was used as a control (cells without incubation with primary antibody; black).
more info or order :
company information

HUABIO
Founded in 2007, HUABIO is dedicated to developing high-quality antibodies that advance innovation. We are passionate about the accuracy, efficiency, and consistency of our products. That is why we have invested in new production platforms, like recombinant rabbit monoclonals, alpaca nanobodies, and adopted aggressive QA standards to deliver cutting-edge antibodies with uncompromised quality.
We hope to see you at your next discovery!
We hope to see you at your next discovery!
related products
browse more products
questions and comments
