product summary
Loading...
company name :
HUABIO
product type :
antibody
product name :
IRS-2
catalog :
HA500415
quantity :
100μl
price :
330 USD
clonality :
polyclonal
host :
domestic rabbit
conjugate :
nonconjugated
reactivity :
human, mouse, rat
application :
western blot, immunohistochemistry - paraffin section
more info or order :
image
image 1 :

Western blot analysis of IRS-2 on different lysates with Rabbit anti-IRS-2 antibody (HA500415) at 1/1,000 dilution.
Lane 1: 293 cell lysate
Lane 2: SH-SY5Y cell lysate
Lane 3: A375 cell lysate
Lane 4: Hela cell lysate
Lane 5: PC-12 cell lysate
Lysates/proteins at 10 µg/Lane.
Predicted band size: 137 kDa
Observed band size: 150/200 kDa
Exposure time: 30 seconds;
4-20% SDS-PAGE gel.
Proteins were transferred to a PVDF membrane and blocked with 5% NFDM/TBST for 1 hour at room temperature. The primary antibody (HA500415) at 1/1,000 dilution was used in 5% NFDM/TBST at room temperature for 2 hours. Goat Anti-Rabbit IgG - HRP Secondary Antibody (HA1001) at 1:300,000 dilution was used for 1 hour at room temperature.
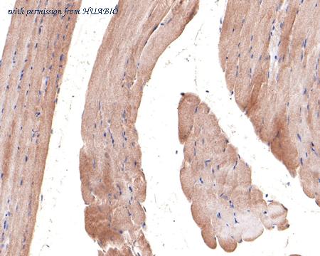
image 2 :

Immunohistochemical analysis of paraffin-embedded rat skeletal muscle tissue with Rabbit anti-IRS-2 antibody (HA500415) at 1/600 dilution.
The section was pre-treated using heat mediated antigen retrieval with Tris-EDTA buffer (pH 9.0) for 20 minutes. The tissues were blocked in 1% BSA for 20 minutes at room temperature, washed with ddH2O and PBS, and then probed with the primary antibody (HA500415) at 1/600 dilution for 1 hour at room temperature. The detection was performed using an HRP conjugated compact polymer system. DAB was used as the chromogen. Tissues were counterstained with hematoxylin and mounted with DPX.
image 3 :

Immunohistochemical analysis of paraffin-embedded human small intestine tissue with Rabbit anti-IRS-2 antibody (HA500415) at 1/600 dilution.
The section was pre-treated using heat mediated antigen retrieval with Tris-EDTA buffer (pH 9.0) for 20 minutes. The tissues were blocked in 1% BSA for 20 minutes at room temperature, washed with ddH2O and PBS, and then probed with the primary antibody (HA500415) at 1/600 dilution for 1 hour at room temperature. The detection was performed using an HRP conjugated compact polymer system. DAB was used as the chromogen. Tissues were counterstained with hematoxylin and mounted with DPX.
product information
SKU :
HA500415
Target name :
IRS-2
Species reactivity :
Human,Rat,Mouse
Applications :
WB,IHC-P
Conjugate :
Non-conjugated
Immunogen :
Recombinant protein within human aa 1-250.
Uniprot id :
Q9Y4H2>SwissProt: Q9Y4H2 Human;SwissProt: P81122 Mouse;Entrez Gene: 29376 Rat
Host :
Rabbit
Isotype :
IgG
Size :
100μl
List Price :
330 USD
Storage Buffer :
PBS (pH7.4), 0.1% BSA, 40% Glycerol. Preservative: 0.05% Sodium Azide.
Form :
Liquid
Storage Instruction :
Shipped at 4℃. Store at +4℃ short term (1-2 weeks). It is recommended to aliquot into single-use upon delivery. Store at -20℃ long term.
Purity :
Immunogen affinity purified.
Product type :
Rabbit polyclonal Antibody
Positive control :
293 cell lysate, SH-SY5Y cell lysate, A375 cell lysate, Hela cell lysate, PC-12 cell lysate, rat skeletal muscle tissue, human small intestine tissue.
Molecular wt :
Predicted band size: 137 kDa
Subcellular location :
Cytoplasm, cytosol.
Concentration :
2.07 mg/ml
Recommended dilutions :
WB: 1:500
;IHC-P: 1:600
more info or order :
company information

HUABIO
Founded in 2007, HUABIO is dedicated to developing high-quality antibodies that advance innovation. We are passionate about the accuracy, efficiency, and consistency of our products. That is why we have invested in new production platforms, like recombinant rabbit monoclonals, alpaca nanobodies, and adopted aggressive QA standards to deliver cutting-edge antibodies with uncompromised quality.
We hope to see you at your next discovery!
We hope to see you at your next discovery!
browse more products
questions and comments
