product summary
Loading...
company name :
HUABIO
product type :
antibody
product name :
PSME2
catalog :
HA500394
quantity :
100μl
price :
330 USD
clonality :
polyclonal
host :
domestic rabbit
conjugate :
nonconjugated
reactivity :
human, mouse, rat
application :
western blot, flow cytometry, immunohistochemistry - paraffin section
more info or order :
image
image 1 :

Western blot analysis of PSME2 on different lysates with Rabbit anti-PSME2 antibody (HA500394) at 1/1,000 dilution.
Lane 1: PC-12 cell lysate (20 µg/Lane)
Lane 2: Hela cell lysate (20 µg/Lane)
Lane 3: HepG2 cell lysate (20 µg/Lane)
Lane 4: PC-3M cell lysate (20 µg/Lane)
Lane 5: MCF-7 cell lysate (20 µg/Lane)
Lane 6: Mouse thymus tissue lysate (40 µg/Lane)
Lane 7: Rat thymus tissue lysate (40 µg/Lane)
Predicted band size: 27 kDa
Observed band size: 35 kDa
Exposure time: 2 minutes;
10% SDS-PAGE gel.
Proteins were transferred to a PVDF membrane and blocked with 5% NFDM/TBST for 1 hour at room temperature. The primary antibody (HA500394) at 1/1,000 dilution was used in 5% NFDM/TBST at room temperature for 2 hours. Goat Anti-Rabbit IgG - HRP Secondary Antibody (HA1001) at 1:300,000 dilution was used for 1 hour at room temperature.
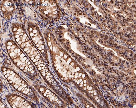
image 2 :

Immunohistochemical analysis of paraffin-embedded human rectal carcinoma tissue with Rabbit anti-PSME2 antibody (HA500394) at 1/800 dilution.
The section was pre-treated using heat mediated antigen retrieval with Tris-EDTA buffer (pH 9.0) for 20 minutes. The tissues were blocked in 1% BSA for 20 minutes at room temperature, washed with ddH2O and PBS, and then probed with the primary antibody (HA500394) at 1/800 dilution for 1 hour at room temperature. The detection was performed using an HRP conjugated compact polymer system. DAB was used as the chromogen. Tissues were counterstained with hematoxylin and mounted with DPX.
image 3 :

Immunocytochemistry analysis of Hela cells labeling PSME2 with Rabbit anti-PSME2 antibody (HA500394) at 1/100 dilution.
Cells were fixed in 4% paraformaldehyde for 10 minutes at 37 ℃, permeabilized with 0.05% Triton X-100 in PBS for 20 minutes, and then blocked with 2% negative goat serum for 30 minutes at room temperature. Cells were then incubated with Rabbit anti-PSME2 antibody (HA500394) at 1/100 dilution in 2% negative goat serum overnight at 4 ℃. Goat Anti-Rabbit IgG H&L (iFluor™ 488, HA1121) was used as the secondary antibody at 1/1,000 dilution. PBS instead of the primary antibody was used as the secondary antibody only control. Nuclear DNA was labelled in blue with DAPI.
product information
SKU :
HA500394
Target name :
PSME2
Species reactivity :
Human,Mouse,Rat
Applications :
WB,IHC-P,IF-Cell,FC
Conjugate :
Non-conjugated
Immunogen :
Recombinant protein within human aa 2-239.
Uniprot id :
Q9UL46>SwissProt: Q9UL46 Human;SwissProt: P97372 Mouse;SwissProt: Q63798 Rat
Host :
Rabbit
Isotype :
IgG
Size :
100μl
List Price :
330 USD
Storage Buffer :
PBS (pH7.4), 0.1% BSA, 40% Glycerol. Preservative: 0.05% Sodium Azide.
Form :
Liquid
Storage Instruction :
Shipped at 4℃. Store at +4℃ short term (1-2 weeks). It is recommended to aliquot into single-use upon delivery. Store at -20℃ long term.
Purity :
Immunogen affinity purified.
Product type :
Rabbit polyclonal Antibody
Positive control :
PC-12 cell lysate, Hela cell lysate, HepG2 cell lysate, PC-3M cell lysate, MCF-7 cell lysate, mouse thymus tissue lysate, rat thymus tissue lysate, human rectal carcinoma tissue, Hela, HepG2.
Molecular wt :
Predicted band size: 27 kDa
Subcellular location :
Cytosol, Extracellular region or secreted, Nucleus.
Concentration :
1.6 mg/ml
Recommended dilutions :
WB: 1:1,000;IHC-P: 1:800;IF-Cell: 1:100;FC: 1:500-1:1,000
Pic img4 :
https://storage.huabio.cn/huabio/productImg/HA500394_4.jpg
Pic legend4 :
Immunocytochemistry analysis of HepG2 cells labeling PSME2 with Rabbit anti-PSME2 antibody (HA500394) at 1/100 dilution.
Cells were fixed in 4% paraformaldehyde for 10 minutes at 37 ℃, permeabilized with 0.05% Triton X-100 in PBS for 20 minutes, and then blocked with 2% negative goat serum for 30 minutes at room temperature. Cells were then incubated with Rabbit anti-PSME2 antibody (HA500394) at 1/100 dilution in 2% negative goat serum overnight at 4 ℃. Goat Anti-Rabbit IgG H&L (iFluor™ 488, HA1121) was used as the secondary antibody at 1/1,000 dilution. PBS instead of the primary antibody was used as the secondary antibody only control. Nuclear DNA was labelled in blue with DAPI.
Pic img5 :
https://storage.huabio.cn/huabio/productImg/HA500394_5.jpg
Pic legend5 :
Flow cytometric analysis of HepG2 cells labeling PSME2.
Cells were fixed and permeabilized. Then stained with the primary antibody (HA500394, 1ug/ml) (red) compared with Rabbit IgG Isotype Control (green). After incubation of the primary antibody at +4℃ for an hour, the cells were stained with a iFluor™ 488 conjugate-Goat anti-Rabbit IgG Secondary antibody (HA1121) at 1/1,000 dilution for 30 minutes at +4℃. Unlabelled sample was used as a control (cells without incubation with primary antibody; black).
more info or order :
company information

HUABIO
Founded in 2007, HUABIO is dedicated to developing high-quality antibodies that advance innovation. We are passionate about the accuracy, efficiency, and consistency of our products. That is why we have invested in new production platforms, like recombinant rabbit monoclonals, alpaca nanobodies, and adopted aggressive QA standards to deliver cutting-edge antibodies with uncompromised quality.
We hope to see you at your next discovery!
We hope to see you at your next discovery!
browse more products
questions and comments
