product summary
Loading...
company name :
HUABIO
product type :
antibody
product name :
PPP2R1B
catalog :
HA500383
quantity :
100μl
price :
330 USD
clonality :
polyclonal
host :
domestic rabbit
conjugate :
nonconjugated
reactivity :
human, mouse, rat
application :
western blot, immunohistochemistry - paraffin section
more info or order :
image
image 1 :

Western blot analysis of PPP2R1B on different lysates with Rabbit anti-PPP2R1B antibody (HA500383) at 1/2,000 dilution.
Lane 1: Jurkat cell lysate (10 µg/Lane)
Lane 2: Hela cell lysate (10 µg/Lane)
Lane 3: RAW264.7 cell lysate (10 µg/Lane)
Lane 4: 293 cell lysate (10 µg/Lane)
Lane 5: Rat brain liver tissue lysate (20 µg/Lane)
Lane 6: Rat liver tissue lysate (20 µg/Lane)
Lane 7: Mouse brain tissue lysate (20 µg/Lane)
Predicted band size: 66 kDa
Observed band size: 66 kDa
Exposure time: 2 minutes;
8% SDS-PAGE gel.
Proteins were transferred to a PVDF membrane and blocked with 5% NFDM/TBST for 1 hour at room temperature. The primary antibody (HA500383) at 1/2,000 dilution was used in 5% NFDM/TBST at room temperature for 2 hours. Goat Anti-Rabbit IgG - HRP Secondary Antibody (HA1001) at 1:300,000 dilution was used for 1 hour at room temperature.
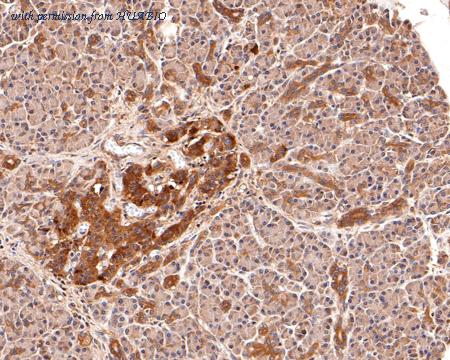
image 2 :

Immunohistochemical analysis of paraffin-embedded human pancreas tissue with Rabbit anti-PPP2R1B antibody (HA500383) at 1/600 dilution.
The section was pre-treated using heat mediated antigen retrieval with Tris-EDTA buffer (pH 9.0) for 20 minutes. The tissues were blocked in 1% BSA for 20 minutes at room temperature, washed with ddH2O and PBS, and then probed with the primary antibody (HA500383) at 1/600 dilution for 1 hour at room temperature. The detection was performed using an HRP conjugated compact polymer system. DAB was used as the chromogen. Tissues were counterstained with hematoxylin and mounted with DPX.
image 3 :

Immunocytochemistry analysis of SiHa cells labeling PPP2R1B with Rabbit anti-PPP2R1B antibody (HA500383) at 1/200 dilution.
Cells were fixed in 4% paraformaldehyde for 10 minutes at 37 ℃, permeabilized with 0.05% Triton X-100 in PBS for 20 minutes, and then blocked with 2% negative goat serum for 30 minutes at room temperature. Cells were then incubated with Rabbit anti-PPP2R1B antibody (HA500383) at 1/200 dilution in 2% negative goat serum overnight at 4 ℃. Goat Anti-Rabbit IgG H&L (iFluor™ 488, HA1121) was used as the secondary antibody at 1/1,000 dilution. PBS instead of the primary antibody was used as the secondary antibody only control. Nuclear DNA was labelled in blue with DAPI.
product information
SKU :
HA500383
Target name :
PPP2R1B
Species reactivity :
Human,Mouse,Rat
Applications :
WB,IHC-P,IF-Cell
Conjugate :
Non-conjugated
Immunogen :
Recombinant protein within human PPP2R1B aa 100-350.
Uniprot id :
P30154>SwissProt: P30154 Human;SwissProt: Q7TNP2 Mouse;SwissProt: Q4QQT4 Rat
Host :
Rabbit
Isotype :
IgG
Size :
100μl
List Price :
330 USD
Storage Buffer :
PBS (pH7.4), 0.1% BSA, 40% Glycerol. Preservative: 0.05% Sodium Azide.
Form :
Liquid
Storage Instruction :
Shipped at 4℃. Store at +4℃ short term (1-2 weeks). It is recommended to aliquot into single-use upon delivery. Store at -20℃ long term.
Purity :
Immunogen affinity purified.
Product type :
Rabbit polyclonal Antibody
Positive control :
Jurkat cell lysate, Hela cell lysate, RAW264.7 cell lysate, 293 cell lysate, rat brain liver tissue lysate, rat liver tissue lysate, mouse brain tissue lysate, human pancreas tissue, SiHa.
Molecular wt :
Predicted band size: 66 kDa
Subcellular location :
Secreted, Cytoplasm.
Concentration :
2.4 mg/ml
Recommended dilutions :
WB: 1:2,000
;IHC-P: 1:600
;IF-Cell: 1:200
more info or order :
company information

HUABIO
Founded in 2007, HUABIO is dedicated to developing high-quality antibodies that advance innovation. We are passionate about the accuracy, efficiency, and consistency of our products. That is why we have invested in new production platforms, like recombinant rabbit monoclonals, alpaca nanobodies, and adopted aggressive QA standards to deliver cutting-edge antibodies with uncompromised quality.
We hope to see you at your next discovery!
We hope to see you at your next discovery!
browse more products
questions and comments
