product summary
Loading...
company name :
HUABIO
product type :
antibody
product name :
TMED5
catalog :
HA500347
quantity :
100μl
price :
330 USD
clonality :
polyclonal
host :
domestic rabbit
conjugate :
nonconjugated
reactivity :
human, mouse, rat
application :
western blot, immunohistochemistry - paraffin section
more info or order :
image
image 1 :

Western blot analysis of TMED5 on different lysates with Rabbit anti-TMED5 antibody (HA500347) at 1/100,000 dilution.
Lane 1: HeLa cell lysate (10 µg/Lane)
Lane 2: RAW264.7 cell lysate (10 µg/Lane)
Lane 3: C6 cell lysate (10 µg/Lane)
Lane 4: Mouse liver tissue lysate (10 µg/Lane)
Predicted band size: 26 kDa
Observed band size: 26 kDa
Exposure time: 25 seconds; ECL: K1801;
4-20% SDS-PAGE gel.
Proteins were transferred to a PVDF membrane and blocked with 5% NFDM/TBST for 1 hour at room temperature. The primary antibody (HA500347) at 1/100,000 dilution was used in primary antibody dilution (K1803) at 4℃ overnight. Goat Anti-Rabbit IgG - HRP Secondary Antibody (HA1001) at 1/50,000 dilution was used for 1 hour at room temperature.
image 2 :

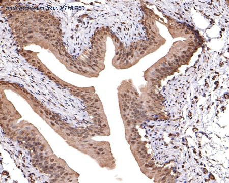
Immunohistochemical analysis of paraffin-embedded rat bladder tissue with Rabbit anti-TMED5 antibody (HA500347) at 1/600 dilution.
The section was pre-treated using heat mediated antigen retrieval with sodium citrate buffer (pH 6.0) (high pressure) for 2 minutes. The tissues were blocked in 1% BSA for 20 minutes at room temperature, washed with ddH2O and PBS, and then probed with the primary antibody (HA500347) at 1/600 dilution for 1 hour at room temperature. The detection was performed using an HRP conjugated compact polymer system. DAB was used as the chromogen. Tissues were counterstained with hematoxylin and mounted with DPX.
image 3 :

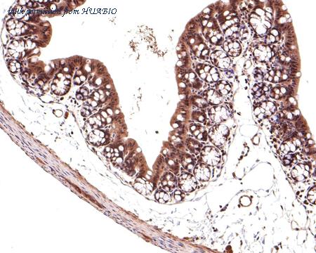
Immunohistochemical analysis of paraffin-embedded mouse large intestine tissue with Rabbit anti-TMED5 antibody (HA500347) at 1/5,000 dilution.
The section was pre-treated using heat mediated antigen retrieval with sodium citrate buffer (pH 6.0) (high pressure) for 2 minutes. The tissues were blocked in 1% BSA for 20 minutes at room temperature, washed with ddH2O and PBS, and then probed with the primary antibody (HA500347) at 1/5,000 dilution for 1 hour at room temperature. The detection was performed using an HRP conjugated compact polymer system. DAB was used as the chromogen. Tissues were counterstained with hematoxylin and mounted with DPX.
product information
SKU :
HA500347
Target name :
TMED5
Species reactivity :
Human,Mouse,Rat
Applications :
WB,IHC-P
Conjugate :
Non-conjugated
Immunogen :
Recombinant protein within Human TMED5 aa 1-200 / 229.
Uniprot id :
Q9Y3A6>SwissProt: Q9Y3A6 Human;SwissProt: Q9CXE7 Mouse;SwissProt: Q6AXN3 Rat
Host :
Rabbit
Isotype :
IgG
Size :
100μl
List Price :
330 USD
Storage Buffer :
PBS (pH7.4), 0.1% BSA, 40% Glycerol. Preservative: 0.05% Sodium Azide.
Form :
Liquid
Storage Instruction :
Shipped at 4℃. Store at +4℃ short term (1-2 weeks). It is recommended to aliquot into single-use upon delivery. Store at -20℃ long term.
Purity :
Immunogen affinity purified.
Product type :
Rabbit polyclonal Antibody
Positive control :
HeLa cell lysate, RAW264.7 cell lysate, C6 cell lysate, Mouse liver tissue lysate, rat bladder tissue, mouse large intestine tissue.
Molecular wt :
Predicted band size: 26 kDa
Subcellular location :
Cis-Golgi network membrane, endoplasmic reticulum membrane, endoplasmic reticulum-Golgi intermediate compartment membrane.
Concentration :
1 mg/mL.
Recommended dilutions :
WB: 1:100,000
;IHC-P: 1:600-1:5,000
more info or order :
company information

HUABIO
Founded in 2007, HUABIO is dedicated to developing high-quality antibodies that advance innovation. We are passionate about the accuracy, efficiency, and consistency of our products. That is why we have invested in new production platforms, like recombinant rabbit monoclonals, alpaca nanobodies, and adopted aggressive QA standards to deliver cutting-edge antibodies with uncompromised quality.
We hope to see you at your next discovery!
We hope to see you at your next discovery!
browse more products
questions and comments
