product summary
Loading...
company name :
HUABIO
product type :
antibody
product name :
IL-20R1
catalog :
HA500286
quantity :
100μl
price :
330 USD
clonality :
polyclonal
host :
domestic rabbit
conjugate :
nonconjugated
reactivity :
human
application :
western blot, immunohistochemistry - paraffin section
more info or order :
image
image 1 :

Western blot analysis of IL-20R1 on different lysates. Proteins were transferred to a PVDF membrane and blocked with 5% NFDM/TBST for 1 hour at room temperature. The primary antibody (HA500286, 1/500) was used in 5% NFDM/TBST at room temperature for 2 hours. Goat Anti-Rabbit IgG - HRP Secondary Antibody (HA1001) at 1:200,000 dilution was used for 1 hour at room temperature.
Positive control:
Lane 1: MCF-7 cell lysate
Lane 2: SH-SY5Y cell lysate
Predicted band size: 62 kDa
Observed band size: 67 kDa (Glycosylation)
image 2 :

ICC staining of IL-20R1 in SH-SY5Y cells (green). Methanol fixed cells were blocked with 10% negative goat serum for 15 minutes at room temperature. Cells were probed with the primary antibody (HA500286, 1/200) for 1 hour at room temperature, washed with PBS. Alexa Fluor®488 conjugate-Goat anti-Rabbit IgG was used as the secondary antibody at 1/1,000 dilution. The nuclear counter stain is DAPI (blue).
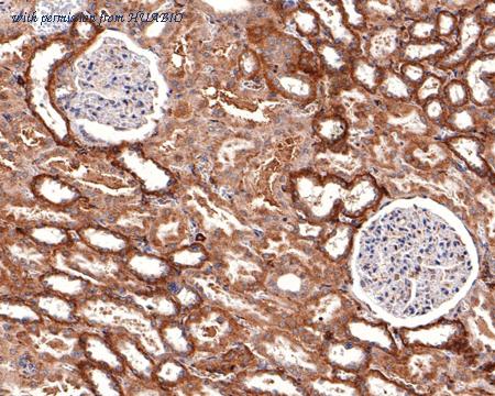
image 3 :

Immunohistochemical analysis of paraffin-embedded human kidney tissue using anti-IL-20R1 antibody. The section was pre-treated using heat mediated antigen retrieval with Tris-EDTA buffer (pH 9.0) for 20 minutes.The tissues were blocked in 1% BSA for 30 minutes at room temperature, washed with ddH2O and PBS, and then probed with the primary antibody (HA500286, 1/200) for 30 minutes at room temperature. The detection was performed using an HRP conjugated compact polymer system. DAB was used as the chromogen. Tissues were counterstained with hematoxylin and mounted with DPX.
product information
SKU :
HA500286
Target name :
IL-20R1
Species reactivity :
Human
Applications :
WB,IF-Cell,IHC-P
Conjugate :
Non-conjugated
Immunogen :
Synthetic peptide within human IL-20R1 aa 471-520.
Uniprot id :
Q9UHF4>SwissProt: Q9UHF4 Human
Host :
Rabbit
Isotype :
IgG
Size :
100μl
List Price :
330 USD
Storage Buffer :
PBS (pH7.4), 0.05% BSA, 40% Glycerol. Preservative: 0.05% Sodium Azide.
Form :
Liquid
Storage Instruction :
Shipped at 4℃. Store at +4℃ short term (1-2 weeks). It is recommended to aliquot into single-use upon delivery. Store at -20℃ long term.
Purity :
Immunogen affinity purified.
Product type :
Rabbit polyclonal Antibody
Positive control :
MCF-7 cell lysate, SH-SY5Y cell lysate, SH-SY5Y, human kidney tissue.
Molecular wt :
Predicted band size: 62 kDa
Subcellular location :
Membrane
Concentration :
1 mg/mL.
Recommended dilutions :
WB: 1:500-1:2,000;IF-Cell: 1:200;IHC-P: 1:200
more info or order :
company information

HUABIO
Founded in 2007, HUABIO is dedicated to developing high-quality antibodies that advance innovation. We are passionate about the accuracy, efficiency, and consistency of our products. That is why we have invested in new production platforms, like recombinant rabbit monoclonals, alpaca nanobodies, and adopted aggressive QA standards to deliver cutting-edge antibodies with uncompromised quality.
We hope to see you at your next discovery!
We hope to see you at your next discovery!
browse more products
questions and comments
