product summary
Loading...
company name :
HUABIO
product type :
antibody
product name :
FAM13C1
catalog :
HA500274
quantity :
100μl
price :
330 USD
clonality :
polyclonal
host :
domestic rabbit
conjugate :
nonconjugated
reactivity :
human, mouse, rat
application :
immunohistochemistry - paraffin section
more info or order :
image
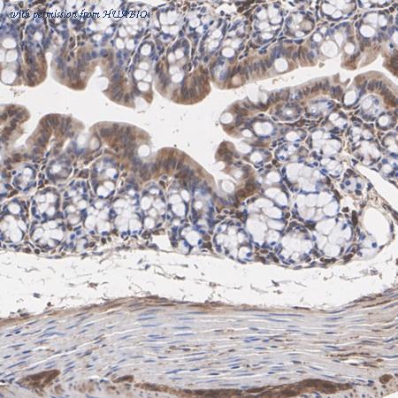
image 1 :

Immunohistochemical analysis of paraffin-embedded human colon tissue with Rabbit anti-FAM13C1 antibody (HA500274) at 1/1,000 dilution.
The section was pre-treated using heat mediated antigen retrieval with Tris-EDTA buffer (pH 9.0) for 20 minutes. The tissues were blocked in 1% BSA for 20 minutes at room temperature, washed with ddH2O and PBS, and then probed with the primary antibody (HA500274) at 1/1,000 dilution for 1 hour at room temperature. The detection was performed using an HRP conjugated compact polymer system. DAB was used as the chromogen. Tissues were counterstained with hematoxylin and mounted with DPX.
image 2 :

Immunohistochemical analysis of paraffin-embedded mouse colon tissue with Rabbit anti-FAM13C1 antibody (HA500274) at 1/1,000 dilution.
The section was pre-treated using heat mediated antigen retrieval with Tris-EDTA buffer (pH 9.0) for 20 minutes. The tissues were blocked in 1% BSA for 20 minutes at room temperature, washed with ddH2O and PBS, and then probed with the primary antibody (HA500274) at 1/1,000 dilution for 1 hour at room temperature. The detection was performed using an HRP conjugated compact polymer system. DAB was used as the chromogen. Tissues were counterstained with hematoxylin and mounted with DPX.
image 3 :

Immunohistochemical analysis of paraffin-embedded rat colon tissue with Rabbit anti-FAM13C1 antibody (HA500274) at 1/1,000 dilution.
The section was pre-treated using heat mediated antigen retrieval with Tris-EDTA buffer (pH 9.0) for 20 minutes. The tissues were blocked in 1% BSA for 20 minutes at room temperature, washed with ddH2O and PBS, and then probed with the primary antibody (HA500274) at 1/1,000 dilution for 1 hour at room temperature. The detection was performed using an HRP conjugated compact polymer system. DAB was used as the chromogen. Tissues were counterstained with hematoxylin and mounted with DPX.
product information
SKU :
HA500274
Target name :
FAM13C1
Species reactivity :
Human,Mouse,Rat
Applications :
IHC-P,IF-Cell
Conjugate :
Non-conjugated
Immunogen :
Synthetic peptide within human FAM13C1 aa 100-150 / 585.
Uniprot id :
Q8NE31>SwissProt: Q8NE31 Human;SwissProt: Q9DBR2 Mouse;Entrez Gene: 294565 Rat
Host :
Rabbit
Isotype :
IgG
Size :
100μl
List Price :
330 USD
Storage Buffer :
1*TBS (pH7.4), 0.2% BSA, 50% Glycerol. Preservative: 0.05% Sodium Azide.
Form :
Liquid
Storage Instruction :
Shipped at 4℃. Store at +4℃ short term (1-2 weeks). It is recommended to aliquot into single-use upon delivery. Store at -20℃ long term.
Purity :
Immunogen affinity purified.
Product type :
Rabbit polyclonal Antibody
Positive control :
Human colon tissue, mouse colon tissue, rat colon tissue, HT-29.
Molecular wt :
Predicted band size: 66 kDa
Subcellular location :
Nuclear and/or cytoplasmic expression in most tissues, some also show membranous expression.
Concentration :
1 mg/mL.
Recommended dilutions :
IHC-P: 1:1,000
;IF-Cell: 1:50-1:100
Pic img4 :
https://storage.huabio.cn/huabio/productImg/HA500274_4.jpg
Pic legend4 :
ICC staining of FAM13C1 in HT-29 cells (green). Formalin fixed cells were permeabilized with 0.1% Triton X-100 in TBS for 10 minutes at room temperature and blocked with 10% negative goat serum for 15 minutes at room temperature. Cells were probed with the primary antibody (HA500274, 1/50) for 1 hour at room temperature, washed with PBS. Alexa Fluor®488 conjugate-Goat anti-Rabbit IgG was used as the secondary antibody at 1/1,000 dilution. The nuclear counter stain is DAPI (blue).
more info or order :
company information

HUABIO
Founded in 2007, HUABIO is dedicated to developing high-quality antibodies that advance innovation. We are passionate about the accuracy, efficiency, and consistency of our products. That is why we have invested in new production platforms, like recombinant rabbit monoclonals, alpaca nanobodies, and adopted aggressive QA standards to deliver cutting-edge antibodies with uncompromised quality.
We hope to see you at your next discovery!
We hope to see you at your next discovery!
related products
browse more products
questions and comments
